购物车
  • TargetMol
    您的购物车当前为空

Anti-CD74 Antibody (9A482)

Synonyms: Ii, Ia-γ, Ia-GAMMA, HLADG, DHLAG, CLIP, CD74 molecule, major histocompatibility complex, class II invariant chain
货号 TMAC-00734 一键复制产品信息
Rating icon 还可以

Anti-CD74 Antibody (9A482) 是一种 Rabbit 抗体,靶向 CD74。Anti-CD74 Antibody (9A482) 可用于 FCM,ICC/IF,IHC,WB。

Anti-CD74 Antibody (9A482)

一键复制产品信息
Rating icon 还可以
货号 TMAC-00734

别名 Ii, Ia-γ, Ia-GAMMA, HLADG, DHLAG, CLIP, CD74 molecule, major histocompatibility complex, class II invariant chain

Anti-CD74 Antibody (9A482) 是一种 Rabbit 抗体,靶向 CD74。Anti-CD74 Antibody (9A482) 可用于 FCM,ICC/IF,IHC,WB。

Anti-CD74 Antibody (9A482)
规格价格库存数量
50 μL
¥ 1,480
5日内发货
100 μL
¥ 2,495
5日内发货
库存状态实时更新,以官网显示为准,现货产品可直接加购物车下单
大包装 & 定制
加入购物车

TargetMol的所有产品仅用作科学研究或药证申报,不能被用于人体,我们不向个人提供产品和服务。请您遵守承诺用途,不得违反法律法规规定用于任何其他用途。

实验操作小课堂
常见问题解答
查看更多

资源下载:产品操作手册

产品介绍


生物活性
产品描述
Anti-CD74 Antibody (9A482) is a Rabbit antibody targeting CD74. Anti-CD74 Antibody (9A482) can be used in FCM,ICC/IF,IHC,WB.
别名
Ii, Ia-γ, Ia-GAMMA, HLADG, DHLAG, CLIP, CD74 molecule, major histocompatibility complex, class II invariant chain
Ig Type
IgG
克隆号
9A482
反应种属
Human
验证活性
1. Western blot analysis of CD74 on Raji cells lysates using anti-CD74 antibody at 1/1,000 dilution.
2. Immunohistochemical analysis of paraffin-embedded human spleen tissue using anti-CD74 antibody. Counter stained with hematoxylin.
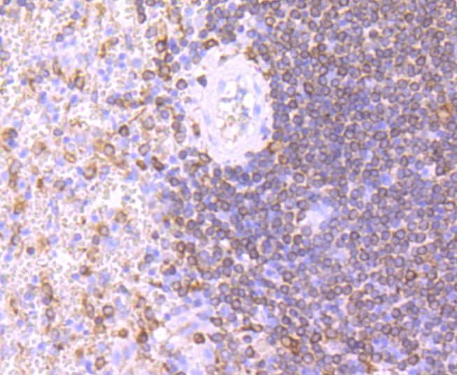
3. Immunohistochemical analysis of paraffin-embedded human tonsil tissue using anti-CD74 antibody. Counter stained with hematoxylin.
4. ICC staining CD74 in Hela cells (red). The nuclear counter stain is DAPI (blue). Cells were fixed in paraformaldehyde, permeabilised with 0.25% Triton X100/PBS.
5. ICC staining CD74 in HepG2 cells (red). The nuclear counter stain is DAPI (blue). Cells were fixed in paraformaldehyde, permeabilised with 0.25% Triton X100/PBS.
6. ICC staining CD74 in 293T cells (red). The nuclear counter stain is DAPI (blue). Cells were fixed in paraformaldehyde, permeabilised with 0.25% Triton X100/PBS.
7. Flow cytometric analysis of Jurkat cells with CD74 antibody at 1/50 dilution (red) compared with an unlabelled control (cells without incubation with primary antibody; black). Alexa Fluor 488-conjugated goat anti rabbit IgG was used as the secondary antibody.
verifiedActivityverifiedActivityverifiedActivityverifiedActivityverifiedActivityverifiedActivityverifiedActivity
应用FCMICC/IFIHCWB
推荐剂量
WB: 1:1000-5000; IHC: 1:50-200; ICC/IF: 1:50-200; FCM: 1:50-100
抗体种类
Monoclonal
宿主来源Rabbit
构建方式Recombinant Antibody
纯化方式Affinity-chromatography
性状Liquid
缓冲液Rabbit IgG in phosphate buffered saline , pH 7.4, 150mM NaCl, 0.02% sodium azide and 50% glycerol.
研究背景The human histocompatibility leukocyte antigen (HLA) class II-associated invariant chain is composed of at least four polypeptides. One of these polypeptide chains is expressed as a membrane-bound subunit and has been designated CD74. The loading of peptide onto the class II MHC protein (MHC II) appears to be regulated by CD74, which associates with MHC II during its migration to the endosomal compartment, where class II binds pep-tide. CD74 is expressed by cells of both T lymphocyte and B lymphocyte lineages. In fact, CD74 is broadly expressed in normal B lymphocytes, regardless of their histocompatibility leukocyte antigen (HLA) phenotype, while a subset of peripheral T lymphocytes that are MHC II negative do not express CD74.
偶联与修饰
偶联
Unconjugated
抗原信息
免疫原
A synthesized peptide: human CD74
抗原种属
human
Uniprot ID
化学信息
分子量Theoretical: 34 kDa.
储存&溶解度
储存方式Store at 2°C-8°C for 1 month. Store at -20°C or -80°C for 12 months. Avoid repeated freeze-thaw cycles.
运输方式Shipping with blue ice.

计算器

  • 稀释 计算器
  • 配液 计算器
Related Tags: buy Anti-CD74 Antibody (9A482) | purchase Anti-CD74 Antibody (9A482) | Anti-CD74 Antibody (9A482) cost | order Anti-CD74 Antibody (9A482) | Anti-CD74 Antibody (9A482) molecular weight