购物车
  • TargetMol
    您的购物车当前为空

Anti-CD21 Antibody (2Z920)

Synonyms: SLEB9, EBV receptor, CVID7, CR2, CD21, C3DRSLEB9, C3DR
货号 TMAC-00680 一键复制产品信息
Rating icon 还可以

Anti-CD21 Antibody (2Z920) 是一种 Rabbit 抗体,靶向 CD21。Anti-CD21 Antibody (2Z920) 可用于 FCM,ICC,IHC,IP,WB。

Anti-CD21 Antibody (2Z920)

一键复制产品信息
Rating icon 还可以
货号 TMAC-00680

别名 SLEB9, EBV receptor, CVID7, CR2, CD21, C3DRSLEB9, C3DR

Anti-CD21 Antibody (2Z920) 是一种 Rabbit 抗体,靶向 CD21。Anti-CD21 Antibody (2Z920) 可用于 FCM,ICC,IHC,IP,WB。

Anti-CD21 Antibody (2Z920)
规格价格库存数量
50 μL
¥ 1,490
5日内发货
100 μL
¥ 2,485
5日内发货
库存状态实时更新,以官网显示为准,现货产品可直接加购物车下单
大包装 & 定制
加入购物车

TargetMol的所有产品仅用作科学研究或药证申报,不能被用于人体,我们不向个人提供产品和服务。请您遵守承诺用途,不得违反法律法规规定用于任何其他用途。

实验操作小课堂
常见问题解答
查看更多

资源下载:产品操作手册

产品介绍


生物活性
产品描述
Anti-CD21 Antibody (2Z920) is a Rabbit antibody targeting CD21. Anti-CD21 Antibody (2Z920) can be used in FCM,ICC,IHC,IP,WB.
别名
SLEB9, EBV receptor, CVID7, CR2, CD21, C3DRSLEB9, C3DR
Ig Type
IgG
克隆号
2Z920
反应种属
Human,Mouse
验证活性
1. Western blot analysis of CD21 on different lysates using anti-CD21 antibody at 1/1,000 dilution. Positive control: Lane 1: Daudi, Lane 2: Raji.
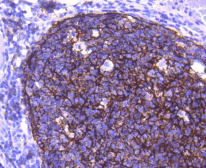
2. Immunohistochemical analysis of paraffin-embedded human tonsil tissue using anti-CD21 antibody. Counter stained with hematoxylin.
3. Immunohistochemical analysis of paraffin-embedded human spleen tissue using anti-CD21 antibody. Counter stained with hematoxylin.
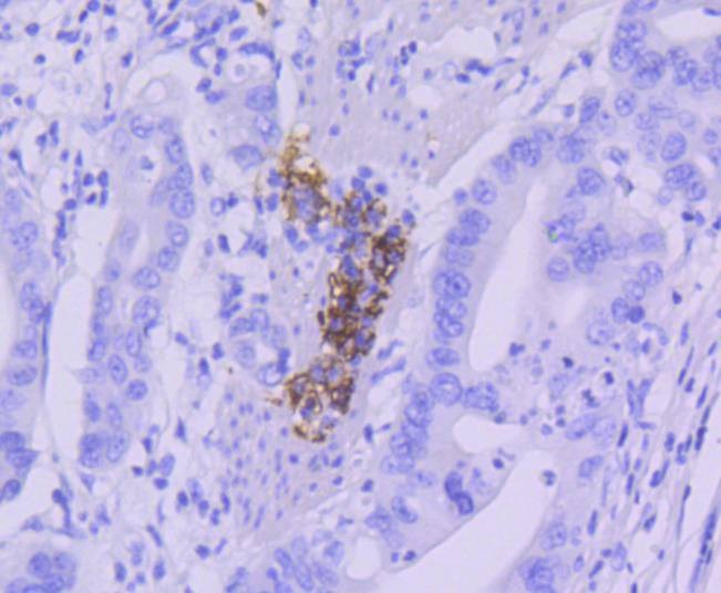
4. Immunohistochemical analysis of paraffin-embedded human gastric cancer tissue using anti-CD21 antibody. Counter stained with hematoxylin.
5. ICC staining CD21 in HepG2 cells (green). The nuclear counter stain is DAPI (blue). Cells were fixed in paraformaldehyde, permeabilised with 0.25% Triton X100/PBS.
6. ICC staining CD21 in A549 cells (green). The nuclear counter stain is DAPI (blue). Cells were fixed in paraformaldehyde, permeabilised with 0.25% Triton X100/PBS.
verifiedActivityverifiedActivityverifiedActivityverifiedActivityverifiedActivityverifiedActivity
应用FCMICCIHCIPWB
推荐剂量
WB: 1:1000-2000; IHC: 1:50-200; ICC: 1:50-200; FCM: 1:50-100
抗体种类
Monoclonal
宿主来源Rabbit
构建方式Recombinant Antibody
纯化方式ProA affinity purified
性状Liquid
缓冲液1*TBS (pH7.4), 1%BSA, 40%Glycerol. Preservative: 0.05% Sodium Azide.
研究背景CD21 is a type I integral membrane glycoprotein that serves as a receptor for the C3d complement fragment and for the Epstein-Barr virus. It plays a role in B cell activation and proliferation and undergoes phosphorylation after B cell activation with phorbol esters. CD21 is expressed on mature B cells, follicular dendritic cells, pharyngeal and cervical epithelial cells and a subset of thymocytes. The adaptive immune response is tightly regulated to limit responding cells in an antigen-specific manner. On B cells, co-receptors CD21/CD19 modulate the strength of B cell Ag receptor (BCR) signals, thereby influencing cell fate. Complement receptor (CR) type 2 (CR2/ CD21) is normally expressed during the immature and mature stages of B cell development. In association with CD19, CR21 plays an important role in enhancing mature B cell responses to foreign antigens.
偶联与修饰
偶联
Unconjugated
抗原信息
免疫原
Recombinant Protein
Uniprot ID
化学信息
分子量Theoretical: 130-155 kDa.
储存&溶解度
储存方式Store at -20°C or -80°C for 12 months. Avoid repeated freeze-thaw cycles.
运输方式Shipping with blue ice.

计算器

  • 稀释 计算器
  • 配液 计算器
Related Tags: buy Anti-CD21 Antibody (2Z920) | purchase Anti-CD21 Antibody (2Z920) | Anti-CD21 Antibody (2Z920) cost | order Anti-CD21 Antibody (2Z920) | Anti-CD21 Antibody (2Z920) molecular weight