购物车
  • TargetMol
    您的购物车当前为空

Anti-CD163 Antibody (3C775)

Synonyms: sCD163, SCARI1, RM3/1, MM130, M130, HbSR, GHI/61, CD163 molecule, CD163
货号 TMAC-00665 一键复制产品信息
Rating icon 还可以

Anti-CD163 Antibody (3C775) 是一种 Rabbit 抗体,靶向 CD163。Anti-CD163 Antibody (3C775) 可用于 FCM,IHC,IP,WB。

Anti-CD163 Antibody (3C775)

一键复制产品信息
Rating icon 还可以
货号 TMAC-00665

别名 sCD163, SCARI1, RM3/1, MM130, M130, HbSR, GHI/61, CD163 molecule, CD163

Anti-CD163 Antibody (3C775) 是一种 Rabbit 抗体,靶向 CD163。Anti-CD163 Antibody (3C775) 可用于 FCM,IHC,IP,WB。

Anti-CD163 Antibody (3C775)
规格价格库存数量
50 μL
¥ 1,485
5日内发货
100 μL
¥ 2,480
5日内发货
库存状态实时更新,以官网显示为准,现货产品可直接加购物车下单
大包装 & 定制
加入购物车

TargetMol的所有产品仅用作科学研究或药证申报,不能被用于人体,我们不向个人提供产品和服务。请您遵守承诺用途,不得违反法律法规规定用于任何其他用途。

实验操作小课堂
常见问题解答
查看更多

资源下载:产品操作手册

产品介绍


生物活性
产品描述
Anti-CD163 Antibody (3C775) is a Rabbit antibody targeting CD163. Anti-CD163 Antibody (3C775) can be used in FCM,IHC,IP,WB.
别名
sCD163, SCARI1, RM3/1, MM130, M130, HbSR, GHI/61, CD163 molecule, CD163
Ig Type
IgG
克隆号
3C775
反应种属
Human
验证活性
1. Western blot analysis of CD163 on human thymus tissue lysate using anti-CD163 antibody at 1/1,000 dilution.
2. Immunohistochemical analysis of paraffin-embedded human liver tissue using anti-CD163 antibody. Counter stained with hematoxylin.
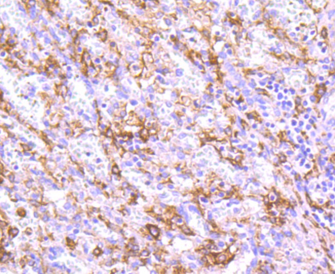
3. Immunohistochemical analysis of paraffin-embedded human spleen tissue using anti-CD163 antibody. Counter stained with hematoxylin.
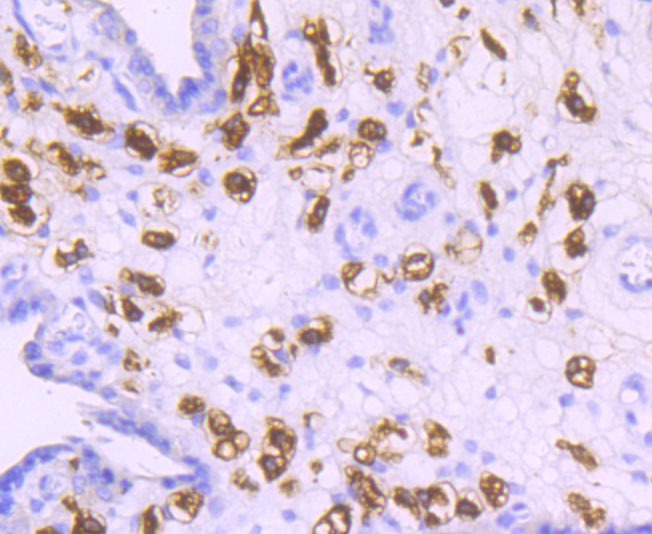
4. Immunohistochemical analysis of paraffin-embedded human placenta tissue using anti-CD163 antibody. Counter stained with hematoxylin.
5. Flow cytometric analysis of THP-1 cells with CD163 antibody at 1/100 dilution (red) compared with an unlabelled control (cells without incubation with primary antibody; black).
verifiedActivityverifiedActivityverifiedActivityverifiedActivityverifiedActivity
应用FCMIHCIPWB
推荐剂量
WB: 1:500-2000; IHC: 1:50-200; FCM: 1:50-100
抗体种类
Monoclonal
宿主来源Rabbit
构建方式Recombinant Antibody
纯化方式ProA affinity purified
性状Liquid
缓冲液1*TBS (pH7.4), 1%BSA, 40%Glycerol. Preservative: 0.05% Sodium Azide.
研究背景CD163, also designated M130, is a macrophage-associated antigen that is a member of the scavenger receptor cysteine-rich (SRCR) superfamily. It is highly expressed on macrogphages and to a lesser extent on monocytes. The acute phase-regulated and signal-inducing macrophage protein, CD163, is a receptor that scavenges hemoglobin by mediating endocytosis of haptoglobin-hemoglobin complexes. CD163 binds only haptoglobin and hemoglobin in complex, which indicates the exposure of a receptor-binding neoepitope. The receptor-ligand interaction is calcium-dependent and of high affinity. The existence of several CD163 isoforms, which differ in the structure of their cytoplasmic domains and putative phosphorylation sites, suggests that these isoforms also differ in their signaling mechanism. The gene which encodes CD163 maps to human chromosome 12p13.31.
偶联与修饰
偶联
Unconjugated
抗原信息
免疫原
Recombinant Protein
Uniprot ID
化学信息
分子量Theoretical: 150 kDa.
储存&溶解度
储存方式Store at -20°C or -80°C for 12 months. Avoid repeated freeze-thaw cycles.
运输方式Shipping with blue ice.

计算器

  • 稀释 计算器
  • 配液 计算器
Related Tags: buy Anti-CD163 Antibody (3C775) | purchase Anti-CD163 Antibody (3C775) | Anti-CD163 Antibody (3C775) cost | order Anti-CD163 Antibody (3C775) | Anti-CD163 Antibody (3C775) molecular weight