购物车
  • TargetMol
    您的购物车当前为空

Anti-CD146/MCAM Antibody (6W862)

Synonyms: S-endo 1 endothelial-associated antigen, Melanoma-associated antigen MUC18, Melanoma-associated antigen A32, Melanoma cell adhesion molecule, Cell surface glycoprotein P1H12, Cell surface glycoprotein MUC18
货号 TMAC-00660 一键复制产品信息
Rating icon 还可以

Anti-CD146/MCAM Antibody (6W862) 是一种 Rabbit 抗体,靶向 CD146/MCAM。Anti-CD146/MCAM Antibody (6W862) 可用于 FCM,ICC,IF,IHC,WB。

Anti-CD146/MCAM Antibody (6W862)

一键复制产品信息
Rating icon 还可以
货号 TMAC-00660

别名 S-endo 1 endothelial-associated antigen, Melanoma-associated antigen MUC18, Melanoma-associated antigen A32, Melanoma cell adhesion molecule, Cell surface glycoprotein P1H12, Cell surface glycoprotein MUC18

Anti-CD146/MCAM Antibody (6W862) 是一种 Rabbit 抗体,靶向 CD146/MCAM。Anti-CD146/MCAM Antibody (6W862) 可用于 FCM,ICC,IF,IHC,WB。

Anti-CD146/MCAM Antibody (6W862)
规格价格库存数量
50 μL
¥ 1,485
5日内发货
100 μL
¥ 2,495
5日内发货
库存状态实时更新,以官网显示为准,现货产品可直接加购物车下单
大包装 & 定制
加入购物车

TargetMol的所有产品仅用作科学研究或药证申报,不能被用于人体,我们不向个人提供产品和服务。请您遵守承诺用途,不得违反法律法规规定用于任何其他用途。

实验操作小课堂
常见问题解答
查看更多

资源下载:产品操作手册

产品介绍


生物活性
产品描述
Anti-CD146/MCAM Antibody (6W862) is a Rabbit antibody targeting CD146/MCAM. Anti-CD146/MCAM Antibody (6W862) can be used in FCM,ICC,IF,IHC,WB.
别名
S-endo 1 endothelial-associated antigen, Melanoma-associated antigen MUC18, Melanoma-associated antigen A32, Melanoma cell adhesion molecule, Cell surface glycoprotein P1H12, Cell surface glycoprotein MUC18
Ig Type
IgG
克隆号
6W862
反应种属
Human,Mouse,Rat
验证活性
1. Western blot analysis of CD146 on SiHa cell using anti-CD146 antibody at 1/500 dilution.
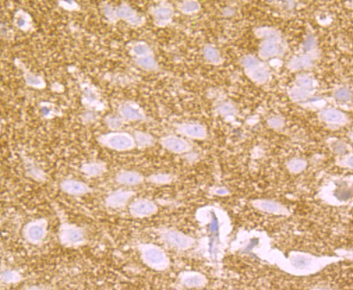
2. Immunohistochemical analysis of paraffin-embedded rat brain tissue using anti-CD146 antibody. Counter stained with hematoxylin.
3. Immunohistochemical analysis of paraffin-embedded human tonsil tissue using anti-CD146 antibody. Counter stained with hematoxylin.
4. Immunohistochemical analysis of paraffin-embedded mouse brain tissue using anti-CD146 antibody. Counter stained with hematoxylin.
5. ICC staining CD146 in Hela cells (green). The nuclear counter stain is DAPI (blue). Cells were fixed in paraformaldehyde, permeabilised with 0.25% Triton X100/PBS.
6. ICC staining CD146 in HUVEC cells (green). The nuclear counter stain is DAPI (blue). Cells were fixed in paraformaldehyde, permeabilised with 0.25% Triton X100/PBS.
7. Flow cytometric analysis of HUVEC cells with CD146 antibody at 1/100 dilution (red) compared with an unlabelled control (cells without incubation with primary antibody; black). Alexa Fluor 488-conjugated goat anti-rabbit IgG was used as the secondary antibody.
verifiedActivityverifiedActivityverifiedActivityverifiedActivityverifiedActivityverifiedActivityverifiedActivity
应用FCMICCIFIHCWB
推荐剂量
WB: 1:500-1000; IHC: 1:50-200; ICC: 1:100-500; FCM: 1:50-100
抗体种类
Monoclonal
宿主来源Rabbit
构建方式Recombinant Antibody
纯化方式ProA affinity purified
性状Liquid
缓冲液1*TBS (pH7.4), 1%BSA, 40%Glycerol. Preservative: 0.05% Sodium Azide.
研究背景The tumorigenic and metastatic phenotype of melanoma cells correlates well with an increased expression of cell-cell and cell-matrix adhesion receptors. The human Mel-CAM gene encodes a transmembrane glycoprotein, also designated MCAM, MUC18 or CD146, that belongs to the immunoglobulin superfamily and functions as a Ca2+-independent cell adhesion molecule. The deduced human sequence of 603 amino acids consists of a signal peptide, five immunoglobulin-like domains, a transmembrane region and a short cytoplasmic tail. Mel-CAM expression is restricted to advanced primary and metastatic melanomas and to cell lines of the neuroectodermal lineage, but not normal melanocytes. Mel-CAM is found on 80% of advanced primary human mela-nomas and correlates well with development of metastatic disease. Mel-CAM activation initiates an outside-in signaling pathway that involves the protein tyrosine kinases Fyn, FAK and paxillin. Mel-CAM influences the dynamics of Actin cytoskeleton rearrangement and is essential for the maintenance of thymic architecture and function.
偶联与修饰
偶联
Unconjugated
抗原信息
免疫原
Recombinant Protein
Uniprot ID
化学信息
分子量Theoretical: 72 kDa.
储存&溶解度
储存方式Store at -20°C or -80°C for 12 months. Avoid repeated freeze-thaw cycles.
运输方式Shipping with blue ice.

计算器

  • 稀释 计算器
  • 配液 计算器
Related Tags: buy Anti-CD146/MCAM Antibody (6W862) | purchase Anti-CD146/MCAM Antibody (6W862) | Anti-CD146/MCAM Antibody (6W862) cost | order Anti-CD146/MCAM Antibody (6W862) | Anti-CD146/MCAM Antibody (6W862) molecular weight