购物车
  • TargetMol
    您的购物车当前为空

Anti-CCR2 Antibody (1X499)

Synonyms: MCP-1-R, CMKBR2, CCR-2, CCR2, C-C CKR-2
货号 TMAC-00641 一键复制产品信息
Rating icon 还可以

Anti-CCR2 Antibody (1X499) 是一种 Rabbit 抗体,靶向 CCR2。Anti-CCR2 Antibody (1X499) 可用于 FCM,IHC,IP,WB。

Anti-CCR2 Antibody (1X499)

一键复制产品信息
Rating icon 还可以
货号 TMAC-00641

别名 MCP-1-R, CMKBR2, CCR-2, CCR2, C-C CKR-2

Anti-CCR2 Antibody (1X499) 是一种 Rabbit 抗体,靶向 CCR2。Anti-CCR2 Antibody (1X499) 可用于 FCM,IHC,IP,WB。

Anti-CCR2 Antibody (1X499)
规格价格库存数量
50 μL
¥ 1,495
5日内发货
100 μL
¥ 2,495
5日内发货
库存状态实时更新,以官网显示为准,现货产品可直接加购物车下单
大包装 & 定制
加入购物车

TargetMol的所有产品仅用作科学研究或药证申报,不能被用于人体,我们不向个人提供产品和服务。请您遵守承诺用途,不得违反法律法规规定用于任何其他用途。

实验操作小课堂
常见问题解答
查看更多

选择批次:
颜色: 无色透明
性状: Liquid
资源下载: COA产品操作手册

产品介绍


生物活性
产品描述
Anti-CCR2 Antibody (1X499) is a Rabbit antibody targeting CCR2. Anti-CCR2 Antibody (1X499) can be used in FCM,IHC,IP,WB.
别名
MCP-1-R, CMKBR2, CCR-2, CCR2, C-C CKR-2
Ig Type
IgG
克隆号
1X499
反应种属
Human,Mouse
验证活性
1. Flow cytometric analysis of K562 cells with CCR2 antibody at 1/50 dilution (red) compared with an unlabelled control (cells without incubation with primary antibody; black). Alexa Fluor 488-conjugated goat anti rabbit IgG was used as the secondary antibody.
2. All lanes use the Antibody at 1:1K dilution for 1 hour at room temperature.
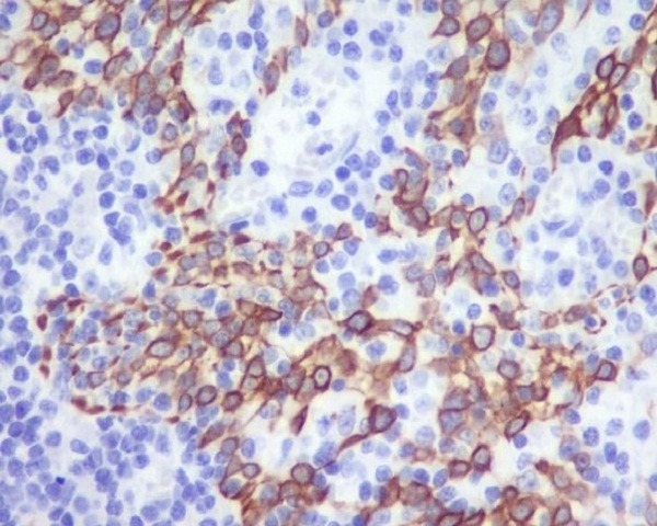
3. Immunohistochemical analysis of paraffin-embedded human tonsil, using CCR2/CKR2 Antibody.
4. Immunofluorescent analysis using the Antibody at 1:50 dilution.
5. Immunofluorescent analysis using the Antibody at 1:50 dilution.
verifiedActivityverifiedActivityverifiedActivityverifiedActivityverifiedActivity
应用FCMIHCIPWB
推荐剂量
WB: 1:1000-5000; IHC: 1:50-200; IP: 1:50; FCM: 1:100
抗体种类
Monoclonal
宿主来源Rabbit
构建方式Recombinant Antibody
纯化方式Affinity-chromatography
性状Liquid
缓冲液Rabbit IgG in phosphate buffered saline , pH 7.4, 150mM NaCl, 0.02% sodium azide and 50% glycerol.
研究背景Receptor for the MCP-1, MCP-3 and MCP-4 chemokines. Transduces a signal by increasing the intracellular calcium ions level. Alternative coreceptor with CD4 for HIV-1 infection.
偶联与修饰
偶联
Unconjugated
抗原信息
免疫原
A synthesized peptide: human CCR2/CKR2
抗原种属
human
Uniprot ID
化学信息
分子量Theoretical: 42 kDa.
储存&溶解度
储存方式Store at 2°C-8°C for 1 month. Store at -20°C or -80°C for 12 months. Avoid repeated freeze-thaw cycles.
运输方式Shipping with blue ice.

计算器

  • 稀释 计算器
  • 配液 计算器
Related Tags: buy Anti-CCR2 Antibody (1X499) | purchase Anti-CCR2 Antibody (1X499) | Anti-CCR2 Antibody (1X499) cost | order Anti-CCR2 Antibody (1X499) | Anti-CCR2 Antibody (1X499) molecular weight