购物车
  • TargetMol
    您的购物车当前为空

Anti-CAV2 Antibody (8Z468)

Synonyms: OTTHUMP00000195982, OTTHUMP00000025032, MGC12294, Caveolin-2, Caveolin 2 isoform a and b, Caveolin 2, Caveolae protein 20 kD, CAV2_HUMAN, CAV 2, CAV
货号 TMAC-00619 一键复制产品信息
Rating icon 还可以

Anti-CAV2 Antibody (8Z468) 是一种 Mouse 抗体,靶向 CAV2。Anti-CAV2 Antibody (8Z468) 可用于 FCM,IHC,WB。

Anti-CAV2 Antibody (8Z468)

一键复制产品信息
Rating icon 还可以
货号 TMAC-00619

别名 OTTHUMP00000195982, OTTHUMP00000025032, MGC12294, Caveolin-2, Caveolin 2 isoform a and b, Caveolin 2, Caveolae protein 20 kD, CAV2_HUMAN, CAV 2, CAV

Anti-CAV2 Antibody (8Z468) 是一种 Mouse 抗体,靶向 CAV2。Anti-CAV2 Antibody (8Z468) 可用于 FCM,IHC,WB。

Anti-CAV2 Antibody (8Z468)
规格价格库存数量
50 μL
¥ 1,990
5日内发货
100 μL
¥ 2,995
5日内发货
库存状态实时更新,以官网显示为准,现货产品可直接加购物车下单
大包装 & 定制
加入购物车

TargetMol的所有产品仅用作科学研究或药证申报,不能被用于人体,我们不向个人提供产品和服务。请您遵守承诺用途,不得违反法律法规规定用于任何其他用途。

实验操作小课堂
常见问题解答
查看更多

资源下载:产品操作手册

产品介绍


生物活性
产品描述
Anti-CAV2 Antibody (8Z468) is a Mouse antibody targeting CAV2. Anti-CAV2 Antibody (8Z468) can be used in FCM,IHC,WB.
别名
OTTHUMP00000195982, OTTHUMP00000025032, MGC12294, Caveolin-2, Caveolin 2 isoform a and b, Caveolin 2, Caveolae protein 20 kD, CAV2_HUMAN, CAV 2, CAV
克隆号
8Z468
反应种属
Human
验证活性
1. Western blot analysis of caveolin-2 on human caveolin-2 recombinant protein using anti- caveolin-2 antibody at 1/1,000 dilution.
2. Western blot analysis of caveolin-2 on HEK293 (1) and caveolin-2-hIgGFc transfected HEK293 (2) cell lysate using anti- caveolin-2
3. Western blot analysis of caveolin-2 on different cell lysate using anti- caveolin-2 antibody at 1/1,000 dilution. Positive control: Line1: A549, Line2: 3T3-L1, Line3: A431.
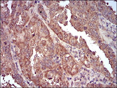
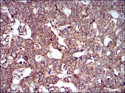
4. Immunohistochemical analysis of paraffin-embedded human endometrial cancer tissue using anti- caveolin-2 antibody. Counter stained with hematoxylin.
5. Immunohistochemical analysis of paraffin-embedded human esophageal cancer tissue using anti- caveolin-2 antibody. Counter stained with hematoxylin.
6. Flow cytometric analysis of A549 cells with caveolin-2 antibody at 1/100 dilution (green) compared with an unlabelled control (cells without incubation with primary antibody; red).
verifiedActivityverifiedActivityverifiedActivityverifiedActivityverifiedActivityverifiedActivity
应用FCMIHCWB
推荐剂量
WB: 1:500-2000; IHC: 1:50-200; FCM: 1:50-100
抗体种类
Monoclonal
宿主来源Mouse
构建方式Hybridoma Monoclonal Antibody
纯化方式ProA affinity purified
性状Liquid
缓冲液1*TBS (pH7.4), 1%BSA, 40%Glycerol. Preservative: 0.05% Sodium Azide.
研究背景Caveolae (also known as plasmalemmal vesicles) are 50-100 nM flask-shaped membranes that represent a subcompartment of the plasma membrane. On the basis of morphological studies, caveolae have been implicated to function in the transcytosis of various macromolecules (including LDL) across capillary endothelial cells, uptake of small molecules via potocytosis and the compartmentalization of certain signaling molecules including G protein-coupled receptors. Three proteins, caveolin-1, caveolin-2 and caveolin-3, have been identified as principal components of caveolae (6-8). Two forms of caveolin-1, designated alpha and beta, share a distinct but overlapping cellular distribution and differ by an amino terminal 31 amino acid sequence which is absent from the beta isoform. Caveolin-1 shares 31% identity with caveolin-2 and 65% identity with caveolin-3 at the amino acid level. Functionally, the three proteins differ in their interactions with heterotrimeric G protein isoforms (6-8)
偶联与修饰
偶联
Unconjugated
抗原信息
免疫原
Recombinant Protein
Uniprot ID
化学信息
分子量Theoretical: 18 kDa.
储存&溶解度
储存方式Store at -20°C or -80°C for 12 months. Avoid repeated freeze-thaw cycles.
运输方式Shipping with blue ice.

计算器

  • 稀释 计算器
  • 配液 计算器
Related Tags: buy Anti-CAV2 Antibody (8Z468) | purchase Anti-CAV2 Antibody (8Z468) | Anti-CAV2 Antibody (8Z468) cost | order Anti-CAV2 Antibody (8Z468) | Anti-CAV2 Antibody (8Z468) molecular weight