购物车
  • TargetMol
    您的购物车当前为空

Anti-Cathepsin D Antibody (4I539)

Synonyms: CD, cathepsin D, CatD
货号 TMAC-00617 一键复制产品信息
Rating icon 还可以

Anti-Cathepsin D Antibody (4I539) 是一种 Rabbit 抗体,靶向 Cathepsin D。Anti-Cathepsin D Antibody (4I539) 可用于 FCM,ICC,IHC,IP,WB。

Anti-Cathepsin D Antibody (4I539)

一键复制产品信息
Rating icon 还可以
货号 TMAC-00617

别名 CD, cathepsin D, CatD

Anti-Cathepsin D Antibody (4I539) 是一种 Rabbit 抗体,靶向 Cathepsin D。Anti-Cathepsin D Antibody (4I539) 可用于 FCM,ICC,IHC,IP,WB。

Anti-Cathepsin D Antibody (4I539)
规格价格库存数量
50 μL
¥ 1,495
5日内发货
100 μL
¥ 2,490
5日内发货
库存状态实时更新,以官网显示为准,现货产品可直接加购物车下单
大包装 & 定制
加入购物车

TargetMol的所有产品仅用作科学研究或药证申报,不能被用于人体,我们不向个人提供产品和服务。请您遵守承诺用途,不得违反法律法规规定用于任何其他用途。

实验操作小课堂
常见问题解答
查看更多

资源下载:产品操作手册

产品介绍


生物活性
产品描述
Anti-Cathepsin D Antibody (4I539) is a Rabbit antibody targeting Cathepsin D. Anti-Cathepsin D Antibody (4I539) can be used in FCM,ICC,IHC,IP,WB.
别名
CD, cathepsin D, CatD
Ig Type
IgG
克隆号
4I539
反应种属
Human,Mouse
验证活性
1. Western blot analysis of Cathepsin D on MCF-7 lysates using anti-Cathepsin D antibody at 1/1,000 dilution.
2. Immunohistochemical analysis of paraffin-embedded human lung tissue using anti-Cathepsin D antibody. Counter stained with hematoxylin.
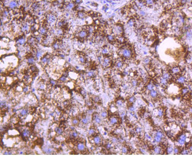
3. Immunohistochemical analysis of paraffin-embedded human liver tissue using anti-Cathepsin D antibody. Counter stained with hematoxylin.
4. Immunohistochemical analysis of paraffin-embedded human breast carcinoma tissue using anti-Cathepsin D antibody. Counter stained with hematoxylin.
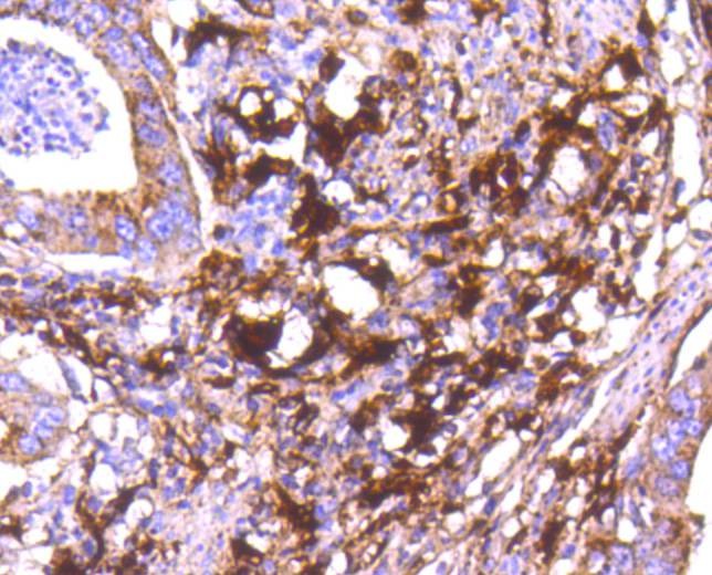
5. Immunohistochemical analysis of paraffin-embedded human gastric cancer tissue using anti-Cathepsin D antibody. Counter stained with hematoxylin.
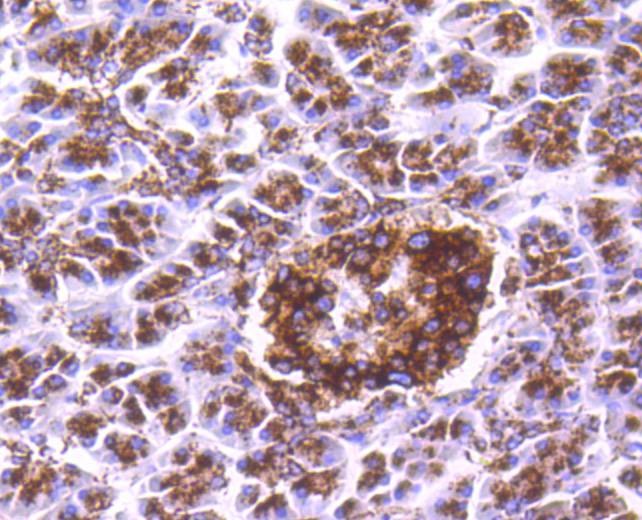
6. Immunohistochemical analysis of paraffin-embedded human pancreas tissue using anti-Cathepsin D antibody. Counter stained with hematoxylin.
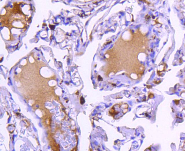
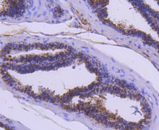
7. Immunohistochemical analysis of paraffin-embedded mouse prostate tissue using anti-Cathepsin D antibody. Counter stained with hematoxylin.
8. ICC staining Cathepsin D in PANC-1 cells (green). The nuclear counter stain is DAPI (blue). Cells were fixed in paraformaldehyde, permeabilised with 0.25% Triton X100/PBS.
9. ICC staining Cathepsin D in AGS cells (green). The nuclear counter stain is DAPI (blue). Cells were fixed in paraformaldehyde, permeabilised with 0.25% Triton X100/PBS.
verifiedActivityverifiedActivityverifiedActivityverifiedActivityverifiedActivityverifiedActivityverifiedActivityverifiedActivityverifiedActivity
应用FCMICCIHCIPWB
推荐剂量
WB: 1:1000-2000; IHC: 1:100-500; ICC: 1:100-500; FCM: 1:10-100
抗体种类
Monoclonal
宿主来源Rabbit
构建方式Recombinant Antibody
纯化方式ProA affinity purified
性状Liquid
缓冲液1*TBS (pH7.4), 1%BSA, 40%Glycerol. Preservative: 0.05% Sodium Azide.
研究背景The cathepsin family of proteolytic enzymes contains several diverse classes of proteases. The cysteine protease class comprises cathepsins B, L, H, K, S, and O. The aspartyl protease class is composed of cathepsins D and E. Cathepsin G is in the serine protease class. Most cathepsins are lysosomal and each is involved in cellular metabolism, participating in various events such as peptide biosynthesis and protein degradation. Cathepsins may also cleave some protein precursors, thereby releasing regulatory peptides. The promoter region of the cathepsin D gene contains five Sp1 binding sites and four AP-2 binding sites.
偶联与修饰
偶联
Unconjugated
抗原信息
免疫原
Recombinant Protein
Uniprot ID
化学信息
分子量Theoretical: 28/43/46 kDa.
储存&溶解度
储存方式Store at -20°C or -80°C for 12 months. Avoid repeated freeze-thaw cycles.
运输方式Shipping with blue ice.

计算器

  • 稀释 计算器
  • 配液 计算器
Related Tags: buy Anti-Cathepsin D Antibody (4I539) | purchase Anti-Cathepsin D Antibody (4I539) | Anti-Cathepsin D Antibody (4I539) cost | order Anti-Cathepsin D Antibody (4I539) | Anti-Cathepsin D Antibody (4I539) molecular weight