购物车
  • 全部删除
  • TargetMol
    您的购物车当前为空

Anti-Catalase/CAT Polyclonal Antibody

Rating icon 还可以
产品编号 TMAB-00295
别名 Catalase, CAT

Anti-Catalase/CAT Polyclonal Antibody 是一种 Rabbit 抗体,靶向 Catalase/CAT。Anti-Catalase/CAT Polyclonal Antibody 可用于 ELISA,FCM,IF,IHC-Fr,IHC-P,WB。

Anti-Catalase/CAT Polyclonal Antibody

Anti-Catalase/CAT Polyclonal Antibody

一键复制产品信息
Rating icon 还可以
产品编号 TMAB-00295 别名 Catalase, CAT

Anti-Catalase/CAT Polyclonal Antibody 是一种 Rabbit 抗体,靶向 Catalase/CAT。Anti-Catalase/CAT Polyclonal Antibody 可用于 ELISA,FCM,IF,IHC-Fr,IHC-P,WB。

规格价格库存数量
50 μL
¥ 1,160
5日内发货
100 μL
¥ 1,970
5日内发货
大包装 & 定制
加入购物车
TargetMol 的所有产品仅用作科学研究或药证申报,不能被用于人体,我们不向个人提供产品和服务。请您遵守承诺用途,不得违反法律法规规定用于任何其他用途。
实验操作小课堂
常见问题解答
查看更多
联系我们获取更多批次信息
资源下载

产品介绍

生物活性
产品描述
Anti-Catalase/CAT Polyclonal Antibody is a Rabbit antibody targeting Catalase/CAT. Anti-Catalase/CAT Polyclonal Antibody can be used in ELISA,FCM,IF,IHC-Fr,IHC-P,WB.
别名Catalase, CAT
Ig Type
IgG
交叉反应
Human,Rat (predicted:Mouse,Horse)
验证活性
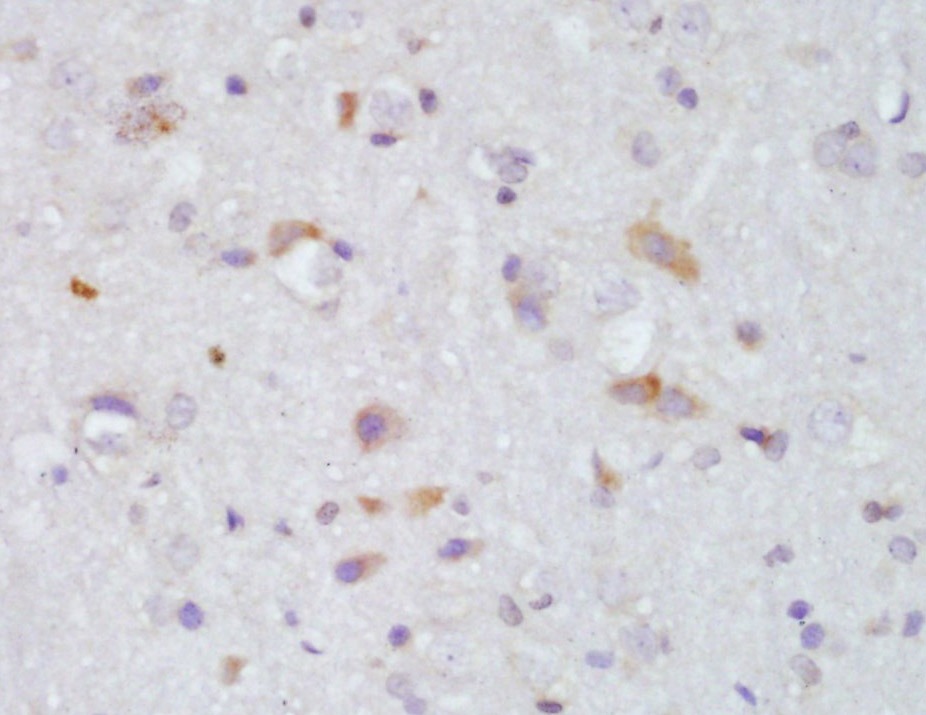
1. Tissue/cell: rat brain tissue; 4% Paraformaldehyde-fixed and paraffin-embedded;
Antigen retrieval: citrate buffer (0.01M, pH6.0), Boiling bathing for 15 min; Block endogenous peroxidase by 3% Hydrogen peroxide for 30 min; Blocking buffer (normal goat serum) at 37°C for 20 min;
Incubation: Anti-Catalase Polyclonal Antibody, Unconjugated (TMAB-00295) 1:200, overnight at 4°C, followed by conjugation to the secondary antibody and DAb staining.
2. Blank control: HL60. Primary Antibody (green line): Rabbit Anti-Catalase antibody (TMAB-00295)
Dilution: 1 μg/10^6 cells;
Isotype Control Antibody (orange line): Rabbit IgG.
Secondary Antibody: Goat anti-rabbit IgG-PE
Dilution: 1 μg/test.
Protocol
The cells were fixed with 4% PFA (10 min at room temperature) and then permeabilized with PBST for 20 min at room temperature. The cells were then incubated in 5% BSA to block non-specific protein-protein interactions for 30 min at at room temperature. Cells stained with Primary Antibody for 30 min at room temperature. The secondary antibody used for 40 min at room temperature.
3. Sample:
Lane 1: Rat Kidney tissue lysates
Lane 2: Rat Placenta tissue lysates
Lane 3: Rat Heart tissue lysates
Lane 4: Human HeLa cell lysates
Lane 5: Human HepG2 cell lysates
Primary: Anti-CAT at 1/1000 dilution
Secondary: IRDye800CW Goat Anti-Rabbit IgG at 1/20000 dilution
Predicted band size: 60 kDa
Observed band size: 60 kDa
verifiedActivityverifiedActivityverifiedActivity
应用ELISAFCMIFIHC-FrIHC-PWB
推荐剂量
WB: 1:500-2000; IHC-P: 1:100-500; IHC-Fr: 1:100-500; IF: 1:100-500; FCM: 1ug/Test; ELISA: 1:5000-10000
抗体种类
Polyclonal
宿主来源Rabbit
亚细胞定位Peroxisome.
构建方式Polyclonal Antibody
纯化方式Protein A purified
性状Liquid
缓冲液0.01M TBS (pH7.4) with 1% BSA, 0.02% Proclin300 and 50% Glycerol.
浓度1 mg/mL
研究背景Catalase is the classical marker for peroxisomes and is the most abundant protein within peroxisomes. It is found in almost all aerobically respiring organisms and serves to protect cells from the toxic effects of hydrogen peroxide.
抗原信息
免疫原
KLH conjugated synthetic peptide: mouse Catalase
抗原种属
Mouse
基因名称
CAT
基因ID
蛋白名称
Catalase
Uniprot ID
研究领域
Cellular metabolic process,Cardiac metabolism,Antioxidants,Heat Shock Proteins,Peroxisome
功能
Occurs in almost all aerobically respiring organisms and serves to protect cells from the toxic effects of hydrogen peroxide. Promotes growth of cells including T-cells, B-cells, myeloid leukemia cells, melanoma cells, mastocytoma cells and normal and transformed fibroblast cells.
化学信息
分子量Theoretical: 60 kDa.
存储&运输
储存方式Store at -20°C or -80°C for 12 months. Avoid repeated freeze-thaw cycles.
运输方式Shipping with blue ice.

计算器

  • 稀释 计算器

评论列表

4个月前
5.0
Rating icon 很棒

评论内容

Related Tags: buy Anti-Catalase/CAT Polyclonal Antibody | purchase Anti-Catalase/CAT Polyclonal Antibody | Anti-Catalase/CAT Polyclonal Antibody cost | order Anti-Catalase/CAT Polyclonal Antibody | Anti-Catalase/CAT Polyclonal Antibody molecular weight