购物车
  • TargetMol
    您的购物车当前为空

Anti-Caspase-8 Polyclonal Antibody

Synonyms: MORT1-associated ced-3 homolog (MACH), MCH5, ICE-like apoptotic protease 5, FADD-like ICE (FLICE), FADD-homologous ICE/ced-3-like protease, Caspase-8, CASP-8, CASP8, CAP4, Apoptotic protease Mch-5, Apoptotic cysteine protease
货号 TMAB-00290 一键复制产品信息
Rating icon 还可以

Anti-Caspase-8 Polyclonal Antibody 是一种 Rabbit 抗体,靶向 Caspase-8。Anti-Caspase-8 Polyclonal Antibody 可用于 FCM, IF, IHC-Fr, IHC-P, WB。

Anti-Caspase-8 Polyclonal Antibody

一键复制产品信息
Rating icon 还可以
货号 TMAB-00290

别名 MORT1-associated ced-3 homolog (MACH), MCH5, ICE-like apoptotic protease 5, FADD-like ICE (FLICE), FADD-homologous ICE/ced-3-like protease, Caspase-8, CASP-8, CASP8, CAP4, Apoptotic protease Mch-5, Apoptotic cysteine protease

Anti-Caspase-8 Polyclonal Antibody 是一种 Rabbit 抗体,靶向 Caspase-8。Anti-Caspase-8 Polyclonal Antibody 可用于 FCM, IF, IHC-Fr, IHC-P, WB。

Anti-Caspase-8 Polyclonal Antibody
规格价格库存数量
50 μL
¥ 1,170
5日内发货
100 μL
¥ 1,970
5日内发货
200 μL
¥ 2,790
5日内发货
库存状态实时更新,以官网显示为准,现货产品可直接加购物车下单
大包装 & 定制
加入购物车
TargetMol的所有产品仅用作科学研究或药证申报,不能被用于人体,我们不向个人提供产品和服务。请您遵守承诺用途,不得违反法律法规规定用于任何其他用途。
实验操作小课堂
常见问题解答
查看更多

资源下载:产品操作手册

产品介绍


生物活性
产品描述
Anti-Caspase-8 Polyclonal Antibody is a Rabbit antibody targeting Caspase-8. Anti-Caspase-8 Polyclonal Antibody can be used in FCM, IF, IHC-Fr, IHC-P, WB.
别名MORT1-associated ced-3 homolog (MACH), MCH5, ICE-like apoptotic protease 5, FADD-like ICE (FLICE), FADD-homologous ICE/ced-3-like protease, Caspase-8, CASP-8, CASP8, CAP4, Apoptotic protease Mch-5, Apoptotic cysteine protease
Ig Type
IgG
反应种属
Human,Rat (predicted:Mouse,Dog,Pig,Cow,Horse)
验证活性
1. Blank control (blue line): U251 (blue).
Primary Antibody (green line): Rabbit Anti-caspase-8 antibody (TMAB-00290)
Dilution: 1 μg/10^6 cells;
Isotype Control Antibody (orange line): Rabbit IgG.
Secondary Antibody (white blue line): Goat anti-rabbit IgG-PE
Dilution: 1 μg/test.
Protocol
The cells were fixed with 70% ethanol overnight at 4°C and then permeabilized with 0.1% PBS-Tween for 20 min at room temperature. Cells stained with Primary Antibody for 30 min at room temperature. The cells were then incubated in 1 X PBS/2% BSA/10% goat serum to block non-specific protein-protein interactions followed by the antibody for 15 min at room temperature. The secondary antibody used for 40 min at room temperature.
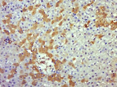
2. Paraformaldehyde-fixed, paraffin embedded (rat liver); Antigen retrieval by boiling in sodium citrate buffer (pH6.0) for 15 min; Block endogenous peroxidase by 3% hydrogen peroxide for 20 min; Blocking buffer (normal goat serum) at 37°C for 30 min; Antibody incubation with (Caspase 8) Polyclonal Antibody, Unconjugated (TMAB-00290) at 1:500 overnight at 4°C, followed by operating according to SP Kit (Rabbit) instructionsand DAB staining.
3. Sample:
Jurkat (Human) Cell Lysate at 30 μg
K562 (Human) Cell Lysate at 30 μg
U87Mg (Human) Cell Lysate at 30 μg
Primary: Anti-caspase-8 subunit p18 (TMAB-00290) at 1/1000 dilution
Secondary: IRDye800CW Goat Anti-Rabbit IgG at 1/20000 dilution
Predicted band size: 55/18 kDa
Observed band size: 57 kDa
verifiedActivityverifiedActivityverifiedActivity
应用FCMIFIHC-FrIHC-PWB
推荐剂量
FCM=1 μg/Test; IF=1:100-500; IHC-Fr=1:100-500; IHC-P=1:100-500; WB=1:500-2000
抗体种类
Polyclonal
宿主来源Rabbit
亚细胞定位Cytoplasm.
组织特异性Isoform 1, isoform 5 and isoform 7 are expressed in a wide variety of tissues. Highest expression in peripheral blood leukocytes, spleen, thymus and liver. Barely detectable in brain, testis and skeletal muscle.
构建方式Polyclonal Antibody
纯化方式Protein A purified
性状Liquid
缓冲液0.01M TBS (pH7.4) with 1% BSA, 0.02% Proclin300 and 50% Glycerol.
浓度1 mg/mL
研究背景Caspases are cysteine proteases, expressed as inactive precursors, that mediate apoptosis by proteolysis of specific substrates. Caspases have the ability to cleave after aspartic acid residues. There are two classes of caspases involved in apoptosis; initiators (activation by receptor cluster) and effectors (activation by mitochondrial permeability transition). Proapoptotic signals autocatalytically activate initiator caspases, such as Caspase 8 and Caspase 9. Activated initiator caspases then process effector caspases, such as Caspase 3 and Caspase 7, which in turn cause cell collapse.
抗原信息
免疫原
KLH conjugated synthetic peptide: rat Caspase-8 subunit p10
抗原种属
Rat
基因名称
CASP8
基因ID
蛋白名称
Caspase-8
Uniprot ID
研究领域
Caspases,Metabolism,Necroptosis,Caspases,Caspases,Other proteases,Apoptosis
功能
Most upstream protease of the activation cascade of caspases responsible for the TNFRSF6/FAS mediated and TNFRSF1A induced cell death. Binding to the adapter molecule FADD recruits it to either receptor. The resulting aggregate called death-inducing signaling complex (DISC) performs CASP8 proteolytic activation. The active dimeric enzyme is then liberated from the DISC and free to activate downstream apoptotic proteases. Proteolytic fragments of the N-terminal propeptide (termed CAP3, CAP5 and CAP6) are likely retained in the DISC. Cleaves and activates CASP3, CASP4, CASP6, CASP7, CASP9 and CASP10. May participate in the GZMB apoptotic pathways. Cleaves ADPRT. Hydrolyzes the small-molecule substrate, Ac-Asp-Glu-Val-Asp-|-AMC. Likely target for the cowpox virus CRMA death inhibitory protein. Isoform 5, isoform 6, isoform 7 and isoform 8 lack the catalytic site and may interfere with the pro-apoptotic activity of the complex.
化学信息
分子量Theoretical: 12/55 kDa. Actual: 57 kDa.
储存&溶解度
储存方式Store at -20°C or -80°C for 12 months. Avoid repeated freeze-thaw cycles.
运输方式Shipping with blue ice.

计算器

  • 稀释 计算器
  • 配液 计算器
Related Tags: buy Anti-Caspase-8 Polyclonal Antibody | purchase Anti-Caspase-8 Polyclonal Antibody | Anti-Caspase-8 Polyclonal Antibody cost | order Anti-Caspase-8 Polyclonal Antibody | Anti-Caspase-8 Polyclonal Antibody molecular weight