购物车
  • TargetMol
    您的购物车当前为空

Anti-Caspase-10 Antibody (3V777)

Synonyms: MCH4, ICE-Like Apoptotic Protease 4, FLICE2, FAS-Associated Death Domain Protein Interleukin-1B-Converting Enzyme 2, Caspase-10, CASP-10, CASP10, Apoptotic Protease Mch-4
货号 TMAC-00577Cas号 一键复制产品信息纯度:
Rating icon 还可以

Anti-Caspase-10 Antibody (3V777) 是一种 Rabbit 抗体,靶向 Caspase-10。Anti-Caspase-10 Antibody (3V777) 可用于 FCM,IHC,IP,WB。

Anti-Caspase-10 Antibody (3V777)

一键复制产品信息
Rating icon 还可以
货号 TMAC-00577

别名 MCH4, ICE-Like Apoptotic Protease 4, FLICE2, FAS-Associated Death Domain Protein Interleukin-1B-Converting Enzyme 2, Caspase-10, CASP-10, CASP10, Apoptotic Protease Mch-4

Anti-Caspase-10 Antibody (3V777) 是一种 Rabbit 抗体,靶向 Caspase-10。Anti-Caspase-10 Antibody (3V777) 可用于 FCM,IHC,IP,WB。

Anti-Caspase-10 Antibody (3V777)
规格价格库存数量
50 μL
¥ 1,495
5日内发货
100 μL
¥ 2,495
5日内发货
库存状态实时更新,以官网显示为准,现货产品可直接加购物车下单
大包装 & 定制
加入购物车

TargetMol的所有产品仅用作科学研究或药证申报,不能被用于人体,我们不向个人提供产品和服务。请您遵守承诺用途,不得违反法律法规规定用于任何其他用途。

实验操作小课堂
常见问题解答
查看更多

资源下载:产品操作手册

产品介绍


生物活性
产品描述
Anti-Caspase-10 Antibody (3V777) is a Rabbit antibody targeting Caspase-10. Anti-Caspase-10 Antibody (3V777) can be used in FCM,IHC,IP,WB.
别名
MCH4, ICE-Like Apoptotic Protease 4, FLICE2, FAS-Associated Death Domain Protein Interleukin-1B-Converting Enzyme 2, Caspase-10, CASP-10, CASP10, Apoptotic Protease Mch-4
Ig Type
IgG
克隆号
3V777
反应种属
Human
验证活性
1. Western blot analysis of Caspase-10 on K562 cells lysates using anti-Caspase-10 antibody at 1/1,000 dilution.
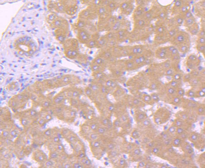
2. Immunohistochemical analysis of paraffin-embedded human liver cancer tissue using anti-Caspase-10 antibody. Counter stained with hematoxylin.
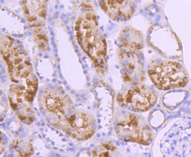
3. Immunohistochemical analysis of paraffin-embedded human kidney tissue using anti-Caspase-10 antibody. Counter stained with hematoxylin.
4. Flow cytometric analysis of K562 cells with Caspase-10 antibody at 1/50 dilution (red) compared with an unlabelled control (cells without incubation with primary antibody; black). Alexa Fluor 488-conjugated goat anti rabbit IgG was used as the secondary antibody.
verifiedActivityverifiedActivityverifiedActivityverifiedActivity
应用FCMIHCIPWB
推荐剂量
WB: 1:1000-2000; IHC: 1:50-200; FCM: 1:50-100
抗体种类
Monoclonal
宿主来源Rabbit
构建方式Recombinant Antibody
纯化方式ProA affinity purified
性状Liquid
缓冲液1*TBS (pH7.4), 1%BSA, 40%Glycerol. Preservative: 0.05% Sodium Azide.
研究背景Caspase-10, also designated Mch4, is recruited to the native TRAIL and CD9 death-inducing signaling complexes (DISCs) by the FADD/Mort1 adaptor protein complex. Caspase-10 requires the assembly of the FADD and DISC complexes for its recruitment and cleavage-induced activation during CD95-induced apoptosis of activated T cells. The N-terminus of caspase-10 contains FADD-like death effector domains further indicating that it associates with FADD to induce apoptosis. Caspase-10 is not required for apoptosis induction and when overexpressed, cannot reverse defects in apoptosis induction caused by caspase-8 deficiency. Granzyme B cleaves procaspase-10 at an IXXD-A processing sequence to produce mature caspase-10. Mutations in the caspase-10 gene in the prodomain, p17 large protease subunit and p12 small protease subunit have been linked to a number of non-Hodgkin lymphomas in humans.
偶联与修饰
偶联
Unconjugated
抗原信息
免疫原
Recombinant Protein
Uniprot ID
化学信息
分子量Theoretical: 59 kDa.
储存&溶解度
储存方式Store at -20°C or -80°C for 12 months. Avoid repeated freeze-thaw cycles.
运输方式Shipping with blue ice.

计算器

  • 稀释 计算器
  • 配液 计算器
Related Tags: buy Anti-Caspase-10 Antibody (3V777) | purchase Anti-Caspase-10 Antibody (3V777) | Anti-Caspase-10 Antibody (3V777) cost | order Anti-Caspase-10 Antibody (3V777) | Anti-Caspase-10 Antibody (3V777) molecular weight