购物车
  • TargetMol
    您的购物车当前为空

Anti-Calsequestrin 1 Antibody (2G592)

Synonyms: VMCQA, PDIB1, CASQ, calsequestrin 1 (fast-twitch, skeletal muscle)
货号 TMAC-00534 一键复制产品信息
Rating icon 还可以

Anti-Calsequestrin 1 Antibody (2G592) 是一种 Rabbit 抗体,靶向 Calsequestrin 1。Anti-Calsequestrin 1 Antibody (2G592) 可用于 FCM,IHC,WB。

Anti-Calsequestrin 1 Antibody (2G592)

一键复制产品信息
Rating icon 还可以
货号 TMAC-00534

别名 VMCQA, PDIB1, CASQ, calsequestrin 1 (fast-twitch, skeletal muscle)

Anti-Calsequestrin 1 Antibody (2G592) 是一种 Rabbit 抗体,靶向 Calsequestrin 1。Anti-Calsequestrin 1 Antibody (2G592) 可用于 FCM,IHC,WB。

Anti-Calsequestrin 1 Antibody (2G592)
规格价格库存数量
50 μL
¥ 1,495
5日内发货
100 μL
¥ 2,490
5日内发货
库存状态实时更新,以官网显示为准,现货产品可直接加购物车下单
大包装 & 定制
加入购物车

TargetMol的所有产品仅用作科学研究或药证申报,不能被用于人体,我们不向个人提供产品和服务。请您遵守承诺用途,不得违反法律法规规定用于任何其他用途。

实验操作小课堂
常见问题解答
查看更多

资源下载:产品操作手册

产品介绍


生物活性
产品描述
Anti-Calsequestrin 1 Antibody (2G592) is a Rabbit antibody targeting Calsequestrin 1. Anti-Calsequestrin 1 Antibody (2G592) can be used in FCM,IHC,WB.
别名
VMCQA, PDIB1, CASQ, calsequestrin 1 (fast-twitch, skeletal muscle)
Ig Type
IgG
克隆号
2G592
反应种属
Human,Mouse,Rat
验证活性
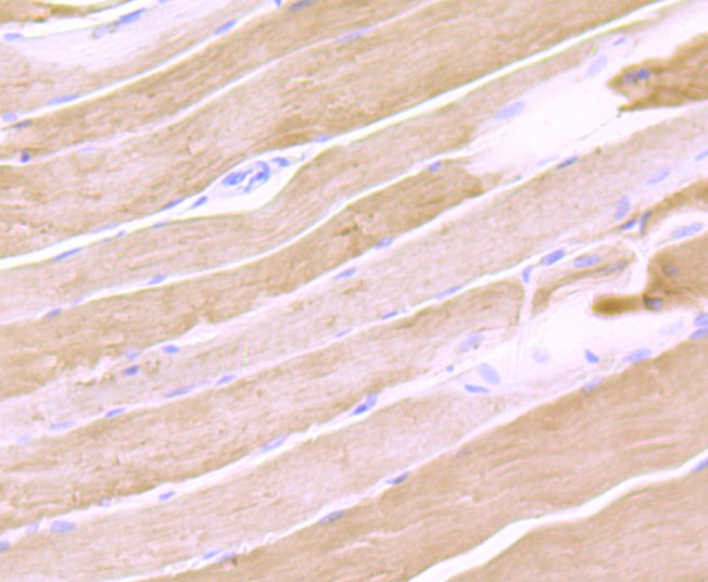
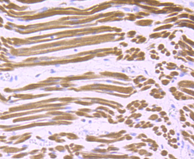
1. Immunohistochemical analysis of paraffin-embedded rat skeletal muscle tissue using anti-Calsequestrin 1 antibody. Counter stained with hematoxylin.
2. Immunohistochemical analysis of paraffin-embedded human fetal skeletal muscle tissue using anti-Calsequestrin 1 antibody. Counter stained with hematoxylin.
3. Immunohistochemical analysis of paraffin-embedded mouse skeletal muscle tissue using anti-Calsequestrin 1 antibody. Counter stained with hematoxylin.
4. Flow cytometric analysis of C2C12 cells with Calsequestrin 1 antibody at 1/100 dilution (red) compared with an unlabelled control (cells without incubation with primary antibody; black). Alexa Fluor 488-conjugated goat anti rabbit IgG was used as the secondary antibody.
verifiedActivityverifiedActivityverifiedActivityverifiedActivity
应用FCMIHCWB
推荐剂量
WB: 1:500; IHC: 1:50-200; FCM: 1:50-100
抗体种类
Monoclonal
宿主来源Rabbit
构建方式Recombinant Antibody
纯化方式ProA affinity purified
性状Liquid
缓冲液1*TBS (pH7.4), 1%BSA, 40%Glycerol. Preservative: 0.05% Sodium Azide.
研究背景Calsequestrin (CS, also known as CSQ) is the major calcium-binding protein of cardiac and skeletal muscle whose function is to sequester calcium in the lumen of the sarcoplasmic reticulum (SR). In mammals, there are two forms of this protein, calsequestrin 1 and calsequestrin 2, which encode fast-twitch skeletal muscle and cardiac calsequestrin, respectively. Calsequestrin 1, also known as Calmitin, is located in the terminal cisternae luminal spaces of the SR of fast skeletal muscle cells. Calsequestrin 2 is present in terminal cisternae luminal spaces of the SR of both cardiac and slow skeletal muscle cells. In addition, calsequestrin regulates the ryanodine receptor signaling (RyR) through Triadin and Junctin.
偶联与修饰
偶联
Unconjugated
抗原信息
免疫原
Recombinant Protein
Uniprot ID
化学信息
分子量Theoretical: 45 kDa.
储存&溶解度
储存方式Store at -20°C or -80°C for 12 months. Avoid repeated freeze-thaw cycles.
运输方式Shipping with blue ice.

计算器

  • 稀释 计算器
  • 配液 计算器
Related Tags: buy Anti-Calsequestrin 1 Antibody (2G592) | purchase Anti-Calsequestrin 1 Antibody (2G592) | Anti-Calsequestrin 1 Antibody (2G592) cost | order Anti-Calsequestrin 1 Antibody (2G592) | Anti-Calsequestrin 1 Antibody (2G592) molecular weight