购物车
  • TargetMol
    您的购物车当前为空

Anti-Calnexin Polyclonal Antibody

Synonyms: P90, IP90, CNX, calnexin
货号 TMAB-00270 一键复制产品信息
Rating icon 还可以

Anti-Calnexin Polyclonal Antibody 是一种 Rabbit 抗体,靶向 Calnexin。Anti-Calnexin Polyclonal Antibody 可用于 FCM,WB。

Anti-Calnexin Polyclonal Antibody

一键复制产品信息
Rating icon 还可以
货号 TMAB-00270

别名 P90, IP90, CNX, calnexin

Anti-Calnexin Polyclonal Antibody 是一种 Rabbit 抗体,靶向 Calnexin。Anti-Calnexin Polyclonal Antibody 可用于 FCM,WB。

Anti-Calnexin Polyclonal Antibody
规格价格库存数量
50 μL
¥ 1,165
5日内发货
100 μL
¥ 1,965
5日内发货
200 μL
¥ 2,780
5日内发货
库存状态实时更新,以官网显示为准,现货产品可直接加购物车下单
大包装 & 定制
加入购物车
TargetMol的所有产品仅用作科学研究或药证申报,不能被用于人体,我们不向个人提供产品和服务。请您遵守承诺用途,不得违反法律法规规定用于任何其他用途。
实验操作小课堂
常见问题解答
查看更多

资源下载:产品操作手册

产品介绍


生物活性
产品描述
Anti-Calnexin Polyclonal Antibody is a Rabbit antibody targeting Calnexin. Anti-Calnexin Polyclonal Antibody can be used in FCM,WB.
别名P90, IP90, CNX, calnexin
Ig Type
IgG
反应种属
Human,Mouse,Rat (predicted:Chicken,Cow,Horse,Rabbit)
验证活性
1. Blank control: H9C2 Cells (blue). Primary Antibody: Rabbit Anti-CANX/FITC Conjugated antibody (TMAB-00270/FITC), Dilution: 1 μg in 100 μL 1X PBS containing 0.5% BSA; Isotype Control Antibody: Rabbit IgG/FITC (orange),used under the same conditions.
Protocol
The cells were washed twice with phosphate-buffered saline (PBS). The cells were incubated in 1 X PBS containing 0.5% BSA + 10% goat serum (15 min) to block non-specific protein-protein interactions followed by the antibody (TMAB-00270/FITC, 1 μg/1x10^6 cells) for 30 min on ice.
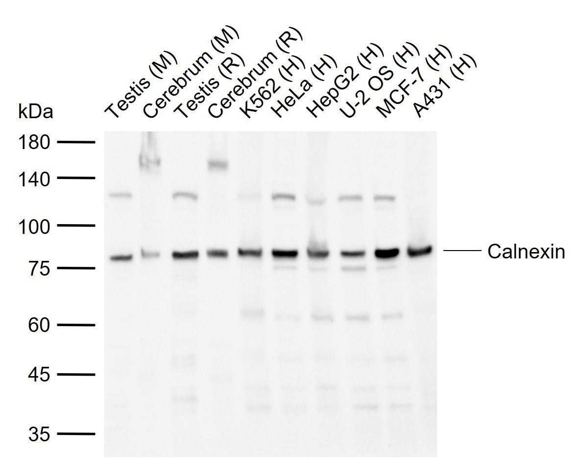
2. Sample:
Lane 1: Mouse Testis tissue lysates
Lane 2: Mouse Cerebrum tissue lysates
Lane 3: Rat Testis tissue lysates
Lane 4: Rat Cerebrum tissue lysates
Lane 5: Human K562 cell lysates
Lane 6: Human HeLa cell lysates
Lane 7: Human HepG2 cell lysates
Lane 8: Human U-2 OS cell lysates
Lane 9: Human MCF-7 cell lysates
Lane 10: Human A431 cell lysates
Primary: Anti-Calnexin (TMAB-00270) at 1/1000 dilution
Secondary: IRDye800CW Goat Anti-Rabbit IgG at 1/20000 dilution
Predicted band size: 65 kDa
Observed band size: 78 kDa
verifiedActivityverifiedActivity
应用FCMWB
推荐剂量
WB: 1:500-2000; FCM: 1μg /test
抗体种类
Polyclonal
宿主来源Rabbit
亚细胞定位Endoplasmic reticulum membrane. Melanosome. Identified by mass spectrometry in melanosome fractions from stage I to stage IV.
构建方式Polyclonal Antibody
纯化方式Protein A purified
性状Liquid
缓冲液0.01M TBS (pH7.4) with 1% BSA, 0.02% Proclin300 and 50% Glycerol.
浓度1 mg/mL
研究背景This gene encodes a member of the calnexin family of molecular chaperones. The encoded protein is a calcium-binding, endoplasmic reticulum (ER)-associated protein that interacts transiently with newly synthesized N-linked glycoproteins, facilitating protein folding and assembly. It may also play a central role in the quality control of protein folding by retaining incorrectly folded protein subunits within the ER for degradation. Alternatively spliced transcript variants encoding the same protein have been described. [provided by RefSeq]
抗原信息
免疫原
KLH conjugated synthetic peptide: human CANX
抗原种属
Human
基因名称
CANX
基因ID
蛋白名称
Calnexin
Uniprot ID
研究领域
Visual system,ER
功能
Calcium-binding protein that interacts with newly synthesized glycoproteins in the endoplasmic reticulum. It may act in assisting protein assembly and/or in the retention within the ER of unassembled protein subunits. It seems to play a major role in the quality control apparatus of the ER by the retention of incorrectly folded proteins.
化学信息
分子量Theoretical: 65 kDa. Actual: 78 kDa.
储存&溶解度
储存方式Store at -20°C or -80°C for 12 months. Avoid repeated freeze-thaw cycles.
运输方式Shipping with blue ice.

计算器

  • 稀释 计算器
  • 配液 计算器
Related Tags: buy Anti-Calnexin Polyclonal Antibody | purchase Anti-Calnexin Polyclonal Antibody | Anti-Calnexin Polyclonal Antibody cost | order Anti-Calnexin Polyclonal Antibody | Anti-Calnexin Polyclonal Antibody molecular weight