购物车
  • TargetMol
    您的购物车当前为空

Anti-Calnexin Antibody (2Z111)

Synonyms: P90, IP90, CNX, calnexin
货号 TMAB-00271 一键复制产品信息
Rating icon 还可以

Anti-Calnexin Antibody (2Z111) 是一种 Rabbit 抗体,靶向 Calnexin。Anti-Calnexin Antibody (2Z111) 可用于 IF, IHC-Fr, IHC-P, WB。

Anti-Calnexin Antibody (2Z111)

一键复制产品信息
Rating icon 还可以
货号 TMAB-00271

别名 P90, IP90, CNX, calnexin

Anti-Calnexin Antibody (2Z111) 是一种 Rabbit 抗体,靶向 Calnexin。Anti-Calnexin Antibody (2Z111) 可用于 IF, IHC-Fr, IHC-P, WB。

Anti-Calnexin Antibody (2Z111)
规格价格库存数量
25 μL
¥ 785
5日内发货
50 μL
¥ 1,385
5日内发货
100 μL
¥ 2,490
5日内发货
库存状态实时更新,以官网显示为准,现货产品可直接加购物车下单
大包装 & 定制
加入购物车
TargetMol的所有产品仅用作科学研究或药证申报,不能被用于人体,我们不向个人提供产品和服务。请您遵守承诺用途,不得违反法律法规规定用于任何其他用途。
实验操作小课堂
常见问题解答
查看更多

资源下载:产品操作手册

产品介绍


生物活性
产品描述
Anti-Calnexin Antibody (2Z111) is a Rabbit antibody targeting Calnexin. Anti-Calnexin Antibody (2Z111) can be used in IF, IHC-Fr, IHC-P, WB.
别名P90, IP90, CNX, calnexin
Ig Type
IgG
克隆号
2Z111
反应种属
Human
验证活性
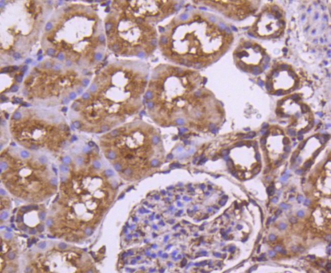
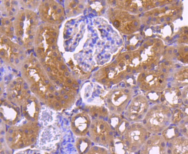
1. Paraformaldehyde-fixed, paraffin embedded (human kidney tissue); Antigen retrieval by boiling in sodium citrate buffer (pH6.0) for 15 min; Block endogenous peroxidase by 3% hydrogen peroxide for 20 min; Blocking buffer (normal goat serum) at 37°C for 30 min; Antibody incubation with (Calnexin) Monoclonal Antibody, Unconjugated (TMAB-00271) at 1:50 overnight at 4°C, followed by operating according to SP Kit (Rabbit) instructionsand DAB staining.
2. Hela cell; 4% Paraformaldehyde-fixed; Triton X-100 at room temperature for 20 min; Blocking buffer (normal goat serum) at 37°C for 20 min; Antibody incubation with (Calnexin) monoclonal Antibody, Unconjugated (TMAB-00271) 1:50, 90 minutes at 37°C; followed by a conjugated Goat Anti-Rabbit IgG antibody at 37°C for 90 minutes, DAPI (blue) was used to stain the cell nucleus.
3. PANC-1 cell; 4% Paraformaldehyde-fixed; Triton X-100 at room temperature for 20 min; Blocking buffer (normal goat serum) at 37°C for 20 min; Antibody incubation with (Calnexin) monoclonal Antibody, Unconjugated (TMAB-00271) 1:50, 90 minutes at 37°C; followed by a conjugated Goat Anti-Rabbit IgG antibody at 37°C for 90 minutes, DAPI (blue) was used to stain the cell nucleus.
4. HepG2 cell; 4% Paraformaldehyde-fixed; Triton X-100 at room temperature for 20 min; Blocking buffer (normal goat serum) at 37°C for 20 min; Antibody incubation with (Calnexin) monoclonal Antibody, Unconjugated (TMAB-00271) 1:50, 90 minutes at 37°C; followed by a conjugated Goat Anti-Rabbit IgG antibody at 37°C for 90 minutes, DAPI (blue) was used to stain the cell nucleus.
5. Blank control: Hela.
Primary Antibody (green line): Rabbit Anti-Calnexin antibody (TMAB-00271)
Dilution: 1:50;
Isotype Control Antibody (orange line): Rabbit IgG.
Secondary Antibody: Goat anti-rabbit IgG-AF488
Dilution: 1:1000. Protocol
The cells were fixed with 4% PFA (10 min at room temperature) and then permeabilized with 0.1% PBST for 20 min at room temperature. The cells were then incubated in 5% BSA to block non-specific protein-protein interactions for 30 min at room temperature. Cells stained with Primary Antibody for 30 min at room temperature. The secondary antibody used for 40 min at room temperature.
6. Paraformaldehyde-fixed, paraffin embedded (human liver carcinoma); Antigen retrieval by boiling in sodium citrate buffer (pH6.0) for 15 min; Block endogenous peroxidase by 3% hydrogen peroxide for 20 min; Blocking buffer (normal goat serum) at 37°C for 30 min; Antibody incubation with (Calnexin) Monoclonal Antibody, Unconjugated (TMAB-00271) at 1:50 overnight at 4°C, followed by operating according to SP Kit (Rabbit) instructionsand DAB staining.
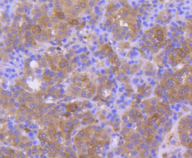
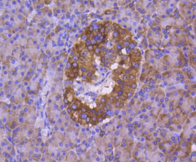
7. Paraformaldehyde-fixed, paraffin embedded (human pancreas tissue); Antigen retrieval by boiling in sodium citrate buffer (pH6.0) for 15 min; Block endogenous peroxidase by 3% hydrogen peroxide for 20 min; Blocking buffer (normal goat serum) at 37°C for 30 min; Antibody incubation with (Calnexin) Monoclonal Antibody, Unconjugated (TMAB-00271) at 1:50 overnight at 4°C, followed by operating according to SP Kit (Rabbit) instructionsand DAB staining.
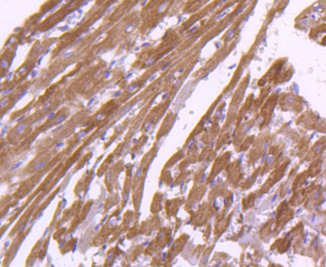
8. Paraformaldehyde-fixed, paraffin embedded (rat heart tissue); Antigen retrieval by boiling in sodium citrate buffer (pH6.0) for 15 min; Block endogenous peroxidase by 3% hydrogen peroxide for 20 min; Blocking buffer (normal goat serum) at 37°C for 30 min; Antibody incubation with (Calnexin) Monoclonal Antibody, Unconjugated (TMAB-00271) at 1:50 overnight at 4°C, followed by operating according to SP Kit (Rabbit) instructionsand DAB staining.
9. Paraformaldehyde-fixed, paraffin embedded (rat kidney); Antigen retrieval by boiling in sodium citrate buffer (pH6.0) for 15 min; Block endogenous peroxidase by 3% hydrogen peroxide for 20 min; Blocking buffer (normal goat serum) at 37°C for 30 min; Antibody incubation with (Calnexin) Monoclonal Antibody, Unconjugated (TMAB-00271) at 1:50 overnight at 4°C, followed by operating according to SP Kit (Rabbit) instructionsand DAB staining.
10. Paraformaldehyde-fixed, paraffin embedded (rat pancreas); Antigen retrieval by boiling in sodium citrate buffer (pH6.0) for 15 min; Block endogenous peroxidase by 3% hydrogen peroxide for 20 min; Blocking buffer (normal goat serum) at 37°C for 30 min; Antibody incubation with (Calnexin) Monoclonal Antibody, Unconjugated (TMAB-00271) at 1:50 overnight at 4°C, followed by operating according to SP Kit (Rabbit) instructionsand DAB staining.
verifiedActivityverifiedActivityverifiedActivityverifiedActivityverifiedActivityverifiedActivityverifiedActivityverifiedActivityverifiedActivityverifiedActivity
应用IFIHC-FrIHC-PWB
推荐剂量
IF=1:100-500; IHC-Fr=1:100-500; IHC-P=1:100-500; WB=1:500-2000
抗体种类
Monoclonal
宿主来源Rabbit
亚细胞定位Endoplasmic reticulum membrane. Melanosome. Identified by mass spectrometry in melanosome fractions from stage I to stage IV.
构建方式Recombinant Antibody
纯化方式Protein A purified
性状Liquid
缓冲液0.01M TBS (pH7.4) with 1% BSA, 0.02% Proclin300 and 50% Glycerol.
浓度1 mg/mL
研究背景This gene encodes a member of the calnexin family of molecular chaperones. The encoded protein is a calcium-binding, endoplasmic reticulum (ER)-associated protein that interacts transiently with newly synthesized N-linked glycoproteins, facilitating protein folding and assembly. It may also play a central role in the quality control of protein folding by retaining incorrectly folded protein subunits within the ER for degradation. Alternatively spliced transcript variants encoding the same protein have been described. [provided by RefSeq]
抗原信息
免疫原
KLH conjugated synthetic peptide: human Calnexin
抗原种属
Human
基因名称
CANX
基因ID
蛋白名称
Calnexin
Uniprot ID
研究领域
Visual system,ER
功能
Calcium-binding protein that interacts with newly synthesized glycoproteins in the endoplasmic reticulum. It may act in assisting protein assembly and/or in the retention within the ER of unassembled protein subunits. It seems to play a major role in the quality control apparatus of the ER by the retention of incorrectly folded proteins.
化学信息
分子量Theoretical: 65 kDa. Actual: 80 kDa.
储存&溶解度
储存方式Store at -20°C or -80°C for 12 months. Avoid repeated freeze-thaw cycles.
运输方式Shipping with blue ice.

计算器

  • 稀释 计算器
  • 配液 计算器
Related Tags: buy Anti-Calnexin Antibody (2Z111) | purchase Anti-Calnexin Antibody (2Z111) | Anti-Calnexin Antibody (2Z111) cost | order Anti-Calnexin Antibody (2Z111) | Anti-Calnexin Antibody (2Z111) molecular weight