• TargetMol
    您的购物车当前为空

Anti-BNIP3 Antibody (3L227)

一键复制产品信息
Rating icon 还可以
货号 TMAC-00461

别名 Nip3, Bnip3, BCL2/adenovirus E1B 19 kDa protein-interacting protein 3

Anti-BNIP3 Antibody (3L227) 是一种 Rabbit 抗体,靶向 BNIP3。Anti-BNIP3 Antibody (3L227) 可用于 ICC/IF,IHC,WB。

Anti-BNIP3 Antibody (3L227)

Anti-BNIP3 Antibody (3L227)

一键复制产品信息
Rating icon 还可以
货号 TMAC-00461 别名 Nip3, Bnip3, BCL2/adenovirus E1B 19 kDa protein-interacting protein 3

Anti-BNIP3 Antibody (3L227) 是一种 Rabbit 抗体,靶向 BNIP3。Anti-BNIP3 Antibody (3L227) 可用于 ICC/IF,IHC,WB。

规格价格库存数量
50 μL
¥ 1,490
5日内发货
100 μL
¥ 2,485
5日内发货
库存状态实时更新,以官网显示为准,现货产品可直接加购物车下单
大包装 & 定制
加入购物车
TargetMol的所有产品仅用作科学研究或药证申报,不能被用于人体,我们不向个人提供产品和服务。请您遵守承诺用途,不得违反法律法规规定用于任何其他用途。
实验操作小课堂
常见问题解答
查看更多
资源下载:

产品介绍


生物活性
产品描述
Anti-BNIP3 Antibody (3L227) is a Rabbit antibody targeting BNIP3. Anti-BNIP3 Antibody (3L227) can be used in ICC/IF,IHC,WB.
别名Nip3, Bnip3, BCL2/adenovirus E1B 19 kDa protein-interacting protein 3
Ig Type
IgG
克隆号
3L227
反应种属
Human,Mouse,Rat
验证活性
1. Western blot analysis of BNIP3 on different cells lysates using anti- BNIP3 antibody at 1/500 dilution. Positive control: Line 1: Human skeletal, muscle Line 2: Mouse kidney.
2. Immunohistochemical analysis of paraffin-embedded human breast carcinoma tissue using anti-BNIP3 antibody. Counter stained with hematoxylin.
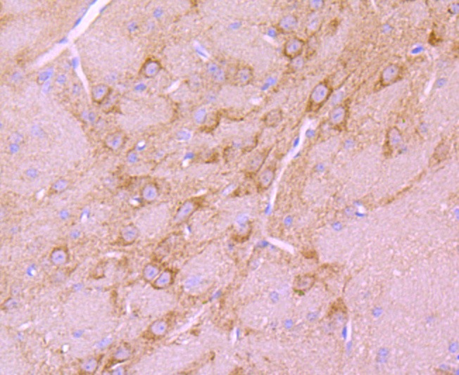
3. Immunohistochemical analysis of paraffin-embedded mouse brain tissue using anti-BNIP3 antibody. Counter stained with hematoxylin.
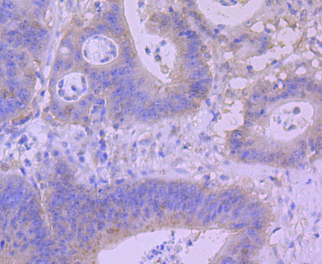
4. Immunohistochemical analysis of paraffin-embedded human colon cancer tissue using anti-BNIP3 antibody. Counter stained with hematoxylin.
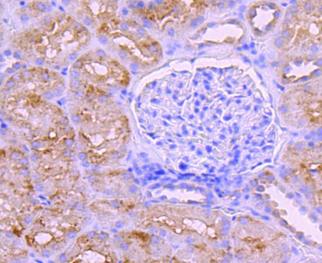
5. Immunohistochemical analysis of paraffin-embedded human kidney tissue using anti-BNIP3 antibody. Counter stained with hematoxylin.
6. ICC staining BNIP3 in Hela cells (green). The nuclear counter stain is DAPI (blue). Cells were fixed in paraformaldehyde, permeabilised with 0.25% Triton X100/PBS.
7. ICC staining BNIP3 in SH-SY5Y cells (green). The nuclear counter stain is DAPI (blue). Cells were fixed in paraformaldehyde, permeabilised with 0.25% Triton X100/PBS.
8. ICC staining BNIP3 in NIH-3T3 cells (green). The nuclear counter stain is DAPI (blue). Cells were fixed in paraformaldehyde, permeabilised with 0.25% Triton X100/PBS.
verifiedActivityverifiedActivityverifiedActivityverifiedActivityverifiedActivityverifiedActivityverifiedActivityverifiedActivity
应用ICC/IFIHCWB
推荐剂量
WB: 1:500-1000; IHC: 1:50-200; ICC/IF: 1:50-200
抗体种类
Monoclonal
宿主来源Rabbit
构建方式Recombinant Antibody
纯化方式ProA affinity purified
性状Liquid
缓冲液1*TBS (pH7.4), 1%BSA, 40%Glycerol. Preservative: 0.05% Sodium Azide.
研究背景The adenovirus E1B protein is a viral homolog of the Bcl-2 family of proteins that are involved in regulating cell death. A family of interacting proteins, which are designated Nip or Bnip and include BNIP-1, BNIP-2, BNIP-3 and Nix, associate with both the E1B protein and Bcl-2 proteins to mediate apoptotic signaling. BNIP-1 contains a hydrophobic transmembrane domain, which enables its localization to the nuclear envelope, endoplasmic recticulum and mitochondria. BNIP-2, (previously designated Nip2 and Nip21 in human and mouse respectively), shares homology with the non-catalytic domain of Cdc42 GTPase-activating protein (Cdc42GAP). Through binding to Cdc42GAP, BNIP-2 enhances the GTPase activity of Cdc42GAP, facilitating the hydrolysis of GTP bound to Cdc42 and thereby, mediating the signaling pathways involving receptor kinases, small GTPases and apoptotic proteins. Nix, which is also designated Nip3L or Bnip3L, is highly related to BNIP-3, and both proteins localize to the mitochondria where they associate with Bcl-2 proteins. BNIP-3 preferentially binds to Bcl-xL and induces apoptosis by suppressing the apoptosis activity of Bcl-xL.
偶联与修饰
偶联
Unconjugated
抗原信息
免疫原
Recombinant Protein
Uniprot ID
化学信息
分子量Theoretical: 21/30 kDa.
储存&溶解度
储存方式Store at -20°C or -80°C for 12 months. Avoid repeated freeze-thaw cycles.
运输方式Shipping with blue ice.
存储store at low temperature | -20°C for 1 year

计算器

  • 稀释 计算器

关键词

Related Tags: buy Anti-BNIP3 Antibody (3L227) | purchase Anti-BNIP3 Antibody (3L227) | Anti-BNIP3 Antibody (3L227) cost | order Anti-BNIP3 Antibody (3L227) | Anti-BNIP3 Antibody (3L227) molecular weight