购物车
  • TargetMol
    您的购物车当前为空

Anti-BMI-1 Antibody (8M743)

Synonyms: undefined
货号 TMAC-00454Cas号 一键复制产品信息纯度:
Rating icon 还可以

Anti-BMI-1 Antibody (8M743) 是一种 Mouse 抗体,靶向 BMI-1。Anti-BMI-1 Antibody (8M743) 可用于 FCM,ICC,IHC,WB。

Anti-BMI-1 Antibody (8M743)

一键复制产品信息
Rating icon 还可以
货号 TMAC-00454

Anti-BMI-1 Antibody (8M743) 是一种 Mouse 抗体,靶向 BMI-1。Anti-BMI-1 Antibody (8M743) 可用于 FCM,ICC,IHC,WB。

Anti-BMI-1 Antibody (8M743)
规格价格库存数量
50 μL
¥ 1,990
5日内发货
100 μL
¥ 2,990
5日内发货
库存状态实时更新,以官网显示为准,现货产品可直接加购物车下单
大包装 & 定制
加入购物车

TargetMol的所有产品仅用作科学研究或药证申报,不能被用于人体,我们不向个人提供产品和服务。请您遵守承诺用途,不得违反法律法规规定用于任何其他用途。

实验操作小课堂
常见问题解答
查看更多

资源下载:产品操作手册

产品介绍


生物活性
产品描述
Anti-BMI-1 Antibody (8M743) is a Mouse antibody targeting BMI-1. Anti-BMI-1 Antibody (8M743) can be used in FCM,ICC,IHC,WB.
克隆号
8M743
反应种属
Human,Mouse,Rat
验证活性
1. Western blot analysis of Bmi1 on different lysates using anti-Bmi1 antibody at 1/1,000 dilution. Positive control: Lane 1: 293T, Lane 2: Jurkat, Lane 3: Hela,, Lane 4: MCF-7, Lane 5: HepG2, Lane 6: NIH/3T3, Lane 7: PC12, Lane 8: Mouse kidney, Lane 9: Human kidney, Lane 10: K562, Lane 11: Human brain.
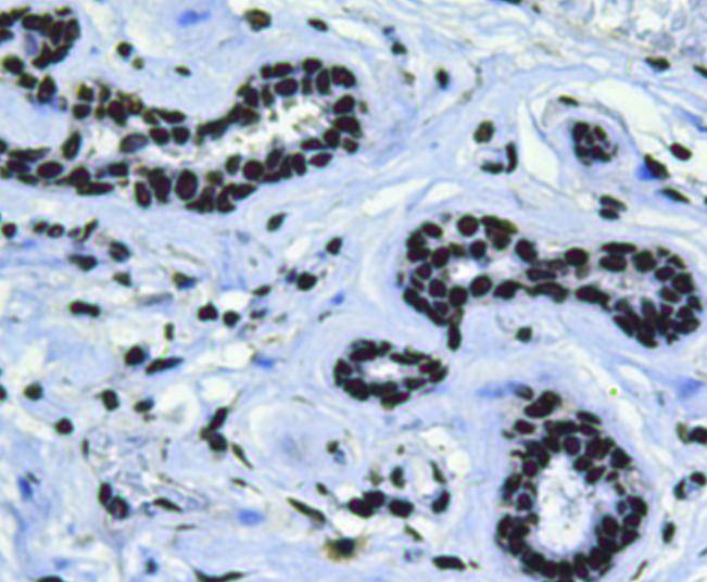
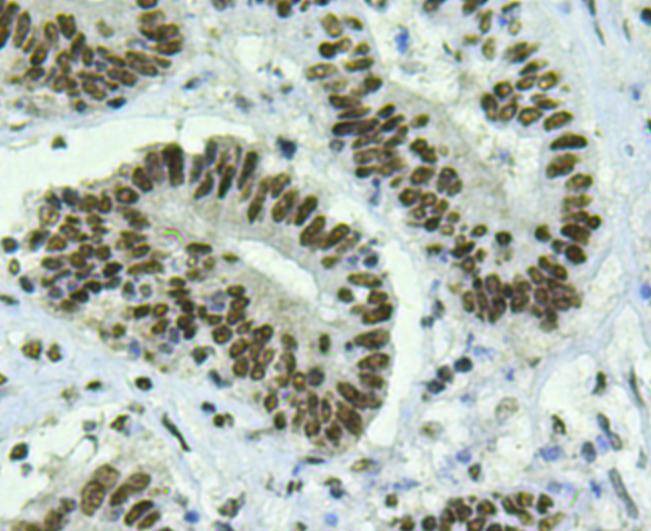
2. Immunohistochemical analysis of paraffin-embedded human tonsil tissue using anti-Bmi1 antibody. Counter stained with hematoxylin.
3. Immunohistochemical analysis of paraffin-embedded human colon cancer tissue using anti-Bmi1 antibody. Counter stained with hematoxylin.
4. Immunohistochemical analysis of paraffin-embedded human breast cancer tissue using anti-BMI1 antibody. Counter stained with hematoxylin.
5. ICC staining Bmi1 in A549 cells (red). Cells were fixed in paraformaldehyde, permeabilised with 0.25% Triton X100/PBS.
6. ICC staining Bmi1 in Lovo cells (red). Cells were fixed in paraformaldehyde, permeabilised with 0.25% Triton X100/PBS.
7. ICC staining Bmi1 in Hela cells (red). Cells were fixed in paraformaldehyde, permeabilised with 0.25% Triton X100/PBS.
8. Flow cytometric analysis of Hela cells with BMI1 antibody at 1/100 dilution (blue) compared with an unlabelled control (cells without incubation with primary antibody; red). Goat anti mouse IgG (FITC) was used as the secondary antibody.
verifiedActivityverifiedActivityverifiedActivityverifiedActivityverifiedActivityverifiedActivityverifiedActivityverifiedActivity
应用FCMICCIHCWB
推荐剂量
WB: 1:1000; IHC: 1:200; ICC: 1:200; FCM: 1:100-200
抗体种类
Monoclonal
宿主来源Mouse
构建方式Hybridoma Monoclonal Antibody
纯化方式ProA affinity purified
性状Liquid
缓冲液1*TBS (pH7.4), 1%BSA, 40%Glycerol. Preservative: 0.05% Sodium Azide.
研究背景The Bmi-1 was identified initially as an oncogene that cooperates with c-myc in the generation of B-cell lymphoma. It contributes to the maintenance of cell identity, stem cell self-renewal, cell cycle regulation, and oncogenesis by maintaining the silenced state of genes that promote cell lineage specification, cell death, and cell-cycle arrest.
偶联与修饰
偶联
Unconjugated
抗原信息
免疫原
Recombinant Protein: human Bmi1 full sequence
抗原种属
human
Uniprot ID
化学信息
分子量Theoretical: 37 kDa.
储存&溶解度
储存方式Store at -20°C or -80°C for 12 months. Avoid repeated freeze-thaw cycles.
运输方式Shipping with blue ice.

计算器

  • 稀释 计算器
  • 配液 计算器
Related Tags: buy Anti-BMI-1 Antibody (8M743) | purchase Anti-BMI-1 Antibody (8M743) | Anti-BMI-1 Antibody (8M743) cost | order Anti-BMI-1 Antibody (8M743) | Anti-BMI-1 Antibody (8M743) molecular weight