购物车
  • TargetMol
    您的购物车当前为空

Anti-BCL2 Antibody (5A806)

Synonyms: PPP1R50, Bcl-2, B-cell CLL/lymphoma 2
货号 TMAB-00195 一键复制产品信息
Rating icon 还可以

Anti-BCL2 Antibody (5A806) 是一种 Mouse 抗体,靶向 BCL2。Anti-BCL2 Antibody (5A806) 可用于 ICC/IF, IF, IHC-Fr, IHC-P, WB。

Anti-BCL2 Antibody (5A806)

一键复制产品信息
Rating icon 还可以
货号 TMAB-00195

别名 PPP1R50, Bcl-2, B-cell CLL/lymphoma 2

Anti-BCL2 Antibody (5A806) 是一种 Mouse 抗体,靶向 BCL2。Anti-BCL2 Antibody (5A806) 可用于 ICC/IF, IF, IHC-Fr, IHC-P, WB。

Anti-BCL2 Antibody (5A806)
规格价格库存数量
50 μL
¥ 1,170
5日内发货
100 μL
¥ 1,965
5日内发货
200 μL
¥ 2,795
5日内发货
库存状态实时更新,以官网显示为准,现货产品可直接加购物车下单
大包装 & 定制
加入购物车

TargetMol的所有产品仅用作科学研究或药证申报,不能被用于人体,我们不向个人提供产品和服务。请您遵守承诺用途,不得违反法律法规规定用于任何其他用途。

实验操作小课堂
常见问题解答
查看更多

资源下载:产品操作手册

产品介绍


生物活性
产品描述
Anti-BCL2 Antibody (5A806) is a Mouse antibody targeting BCL2. Anti-BCL2 Antibody (5A806) can be used in ICC/IF, IF, IHC-Fr, IHC-P, WB.
别名
PPP1R50, Bcl-2, B-cell CLL/lymphoma 2
Ig Type
IgG1
克隆号
5A806
反应种属
Human,Rat (predicted:Mouse,Dog,Pig,Cow,Horse,Rabbit,Sheep,GuineaPig)
验证活性
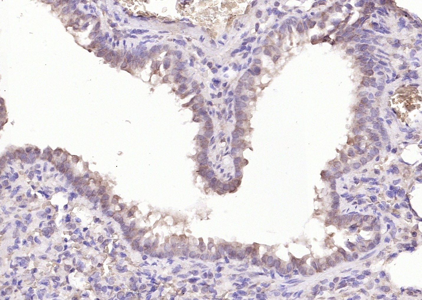
1. Paraformaldehyde-fixed, paraffin embedded (rat lung); Antigen retrieval by boiling in sodium citrate buffer (pH6.0) for 15 min; Block endogenous peroxidase by 3% hydrogen peroxide for 20 min; Blocking buffer (normal goat serum) at 37°C for 30 min; Antibody incubation with (bcl-2) Polyclonal Antibody, Unconjugated (TMAB-00195) at 1:200 overnight at 4°C, followed by operating according to SP Kit (Mouse) instructionsand DAB staining.
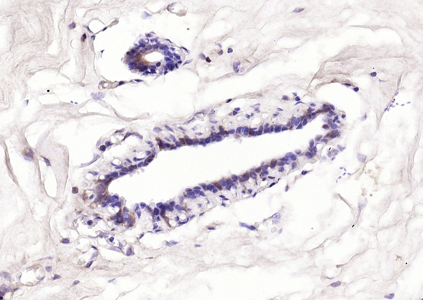
2. Paraformaldehyde-fixed, paraffin embedded (human breast carcinoma); Antigen retrieval by boiling in sodium citrate buffer (pH6.0) for 15 min; Block endogenous peroxidase by 3% hydrogen peroxide for 20 min; Blocking buffer (normal goat serum) at 37°C for 30 min; Antibody incubation with (bcl-2) Polyclonal Antibody, Unconjugated (TMAB-00195) at 1:200 overnight at 4°C, followed by operating according to SP Kit (Mouse) instructionsand DAB staining.
3. Paraformaldehyde-fixed, paraffin embedded (human breast carcinoma); Antigen retrieval by boiling in sodium citrate buffer (pH6.0) for 15 min; Block endogenous peroxidase by 3% hydrogen peroxide for 20 min; Blocking buffer (normal goat serum) at 37°C for 30 min; Antibody incubation with (bcl-2) Polyclonal Antibody, Unconjugated (TMAB-00195) at 1:200 overnight at 4°C, followed by operating according to SP Kit (Mouse) instructionsand DAB staining.
4. Sample:
LOVO (Human) Cell Lysate at 30 μg
Primary: Anti-Bcl-2 (TMAB-00195) at 1/1000 dilution
Secondary: IRDye800CW Goat Anti-Mouse IgG at 1/20000 dilution
Predicted band size: 26 kDa
Observed band size: 26 kDa
5. Tissue/cell: Hela cell; 4% Paraformaldehyde-fixed; Triton X-100 at room temperature for 20 min; Blocking buffer (normal goat serum) at 37°C for 20 min; Antibody incubation with (Bcl-2) monoclonal Antibody, Unconjugated 1:100, 90 minutes at 37°C; followed by a CY3 conjugated Goat Anti-Mouse IgG antibody at 37°C for 90 minutes, DAPI (blue) was used to stain the cell nucleus.
6. Paraformaldehyde-fixed, paraffin embedded (human pancreatic cancer); Antigen retrieval by boiling in sodium citrate buffer (pH6.0) for 15 min; Block endogenous peroxidase by 3% hydrogen peroxide for 20 min; Blocking buffer (normal goat serum) at 37°C for 30 min; Antibody incubation with (bcl-2) Polyclonal Antibody, Unconjugated (TMAB-00195) at 1:200 overnight at 4°C, followed by operating according to SP Kit (Mouse) instructionsand DAB staining.
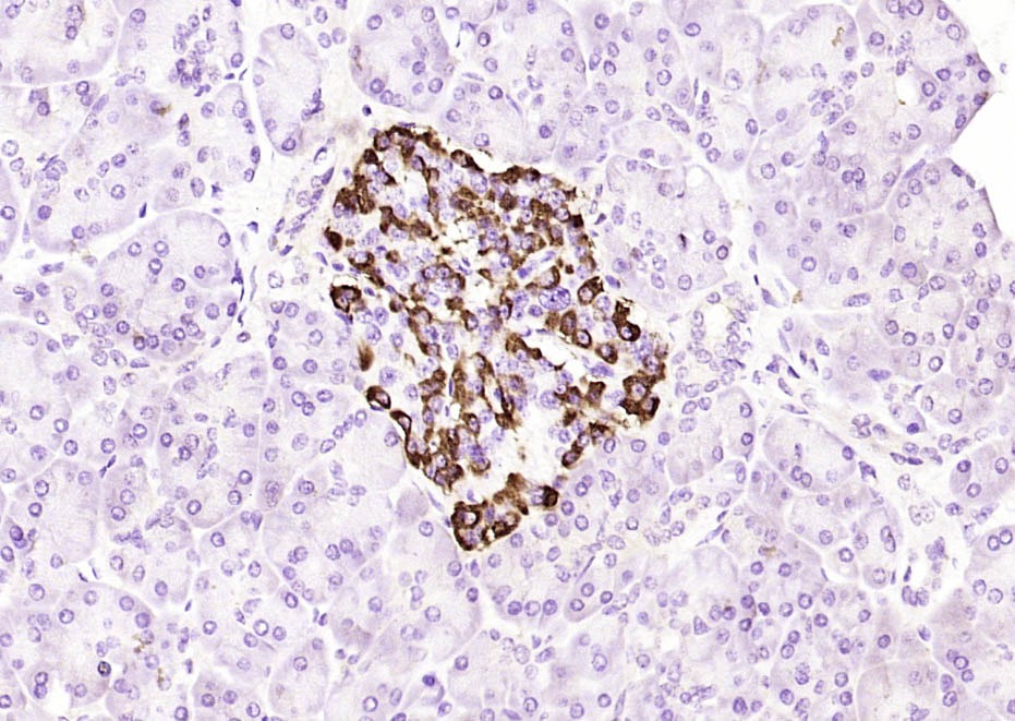
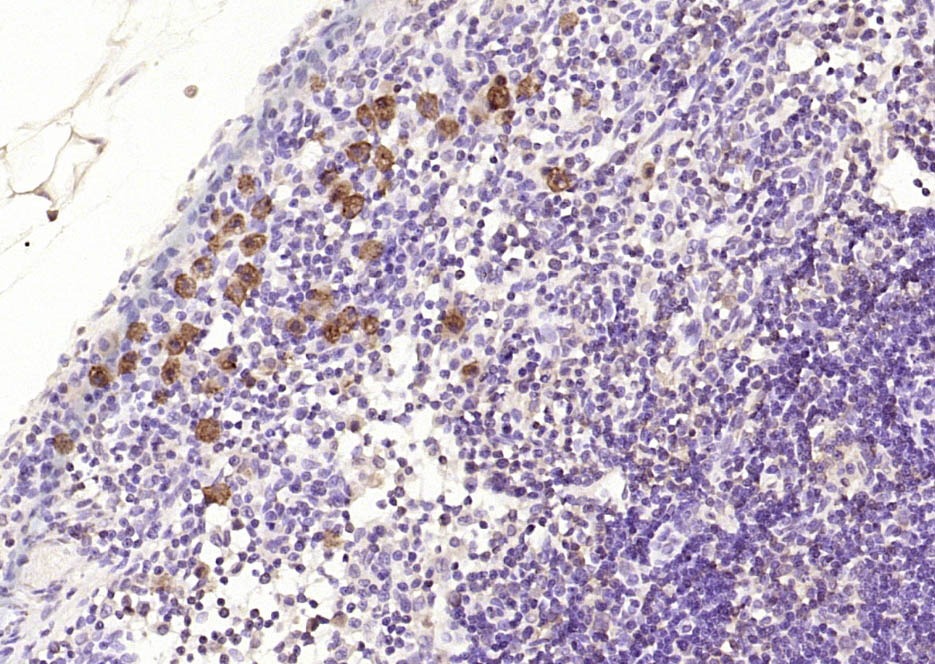
7. Paraformaldehyde-fixed, paraffin embedded (rat lymphoid); Antigen retrieval by boiling in sodium citrate buffer (pH6.0) for 15 min; Block endogenous peroxidase by 3% hydrogen peroxide for 20 min; Blocking buffer (normal goat serum) at 37°C for 30 min; Antibody incubation with (bcl-2) Polyclonal Antibody, Unconjugated (TMAB-00195) at 1:200 overnight at 4°C, followed by operating according to SP Kit (Mouse) instructionsand DAB staining.
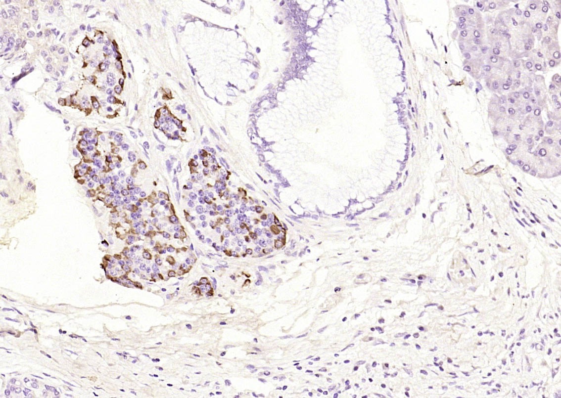
8. Paraformaldehyde-fixed, paraffin embedded (human pancreatic cancer); Antigen retrieval by boiling in sodium citrate buffer (pH6.0) for 15 min; Block endogenous peroxidase by 3% hydrogen peroxide for 20 min; Blocking buffer (normal goat serum) at 37°C for 30 min; Antibody incubation with (bcl-2) Polyclonal Antibody, Unconjugated (TMAB-00195) at 1:2000 overnight at 4°C, followed by operating according to SP Kit (Mouse) instructionsand DAB staining.
9. Sample:
LOVO Cell (Human) Lysate at 40 μg
MCF-7 Cell (Human) Lysate at 40 μg
Primary: Anti-Bcl-2 (TMAB-00195) at 1/2 000 dilution
Secondary: IRDye800CW Goat Anti-Mouse IgG at 1/20000 dilution
Predicted band size: 26 kDa
Observed band size: 28 kDa
verifiedActivityverifiedActivityverifiedActivityverifiedActivityverifiedActivityverifiedActivityverifiedActivityverifiedActivityverifiedActivity
应用ICC/IFIFIHC-FrIHC-PWB
推荐剂量
ICC/IF=1:100-500; IF=1:100-500; IHC-Fr=1:100-500; IHC-P=1:100-500; WB=1:500-2000
抗体种类
Monoclonal
宿主来源Mouse
亚细胞定位Mitochondrion outer membrane; Single-pass membrane protein. Nucleus membrane; Single-pass membrane protein. Endoplasmic reticulum membrane; Single-pass membrane protein.
组织特异性Expressed in a variety of tissues.
构建方式Hybridoma Monoclonal Antibody
纯化方式Protein G purified
性状Liquid
缓冲液0.01M TBS (pH7.4) with 1% BSA, 0.02% Proclin300 and 50% Glycerol.
浓度1 mg/mL
研究背景The Bcl-2 gene was isolated at the chromosomal breakpoint of t(14;18)-bearing follicular B cell lymphomas(1,2).Bcl-2 blocks cell death following a variety of stimuli and confers a death-sparing effect to certain hematopoietic cell lines following growth factor withdrawal (3,5).Bcl-2 appears to function in several subcellular locations yet lacks any known motifs that would confer insight into its mechanism of action (6,7).A more recently identified protein,designated Bax p21(i.e., Bcl-associated X protein ),has extensive amino acid homology with Bcl-2 and both homodimerizes and forms heterodimers with Bcl-2(8). Overexpression of Bax accelerates apoptotic death induced by cytokine deprivation in an IL-3 dependent cell line and Bax also counters the death repressor activty of Bcl-2(8).
抗原信息
免疫原
KLH conjugated synthetic peptide: human Bcl-2
抗原种属
Human
基因名称
BCL2
基因ID
蛋白名称
Apoptosis regulator Bcl-2
Uniprot ID
研究领域
Cellular metabolic process,Response to hypoxia,Bcl 2 family,Metabolism,Bcl 2 family,Cell survival & death,Oncoproteins,Bcl2 Family,Apoptosis marker and proteins ELISA kits,Apoptosis,Hypoxia,Mitochondrial markers,Cancer,Mitochondrial
功能
Suppresses apoptosis in a variety of cell systems including factor-dependent lymphohematopoietic and neural cells. Regulates cell death by controlling the mitochondrial membrane permeability. Appears to function in a feedback loop system with caspases. Inhibits caspase activity either by preventing the release of cytochrome c from the mitochondria and/or by binding to the apoptosis-activating factor (APAF-1).
化学信息
分子量Theoretical: 26 kDa. Actual: 26 kDa.
储存&溶解度
储存方式Store at -20°C or -80°C for 12 months. Avoid repeated freeze-thaw cycles.
运输方式Shipping with blue ice.

计算器

  • 稀释 计算器
  • 配液 计算器
Related Tags: buy Anti-BCL2 Antibody (5A806) | purchase Anti-BCL2 Antibody (5A806) | Anti-BCL2 Antibody (5A806) cost | order Anti-BCL2 Antibody (5A806) | Anti-BCL2 Antibody (5A806) molecular weight