购物车
  • TargetMol
    您的购物车当前为空

Anti-BAK1 Antibody (2V22)

Synonyms: CDN1, Bcl-2-like protein 7, Bcl2-L-7, BCL2L7, Bcl-2 homologous antagonist/killer, BAK 1, BAK, Apoptosis regulator BAK
货号 TMAC-00372 一键复制产品信息
Rating icon 还可以

Anti-BAK1 Antibody (2V22) 是一种 Rabbit 抗体,靶向 BAK1。Anti-BAK1 Antibody (2V22) 可用于 FCM,ICC/IF,IHC,IP,WB。

Anti-BAK1 Antibody (2V22)

一键复制产品信息
Rating icon 还可以
货号 TMAC-00372

别名 CDN1, Bcl-2-like protein 7, Bcl2-L-7, BCL2L7, Bcl-2 homologous antagonist/killer, BAK 1, BAK, Apoptosis regulator BAK

Anti-BAK1 Antibody (2V22) 是一种 Rabbit 抗体,靶向 BAK1。Anti-BAK1 Antibody (2V22) 可用于 FCM,ICC/IF,IHC,IP,WB。

Anti-BAK1 Antibody (2V22)
规格价格库存数量
50 μL
¥ 1,485
5日内发货
100 μL
¥ 2,490
5日内发货
库存状态实时更新,以官网显示为准,现货产品可直接加购物车下单
大包装 & 定制
加入购物车

TargetMol的所有产品仅用作科学研究或药证申报,不能被用于人体,我们不向个人提供产品和服务。请您遵守承诺用途,不得违反法律法规规定用于任何其他用途。

实验操作小课堂
常见问题解答
查看更多

资源下载:产品操作手册

产品介绍


生物活性
产品描述
Anti-BAK1 Antibody (2V22) is a Rabbit antibody targeting BAK1. Anti-BAK1 Antibody (2V22) can be used in FCM,ICC/IF,IHC,IP,WB.
别名
CDN1, Bcl-2-like protein 7, Bcl2-L-7, BCL2L7, Bcl-2 homologous antagonist/killer, BAK 1, BAK, Apoptosis regulator BAK
Ig Type
IgG
克隆号
2V22
反应种属
Human
验证活性
1. Western blot analysis of Bak on different lysates using anti-Bak antibody at 1/1,000 dilution. Positive control: Lane 1: Hela, Lane 2: Human skeletal muscle, Lane 3: Ags.
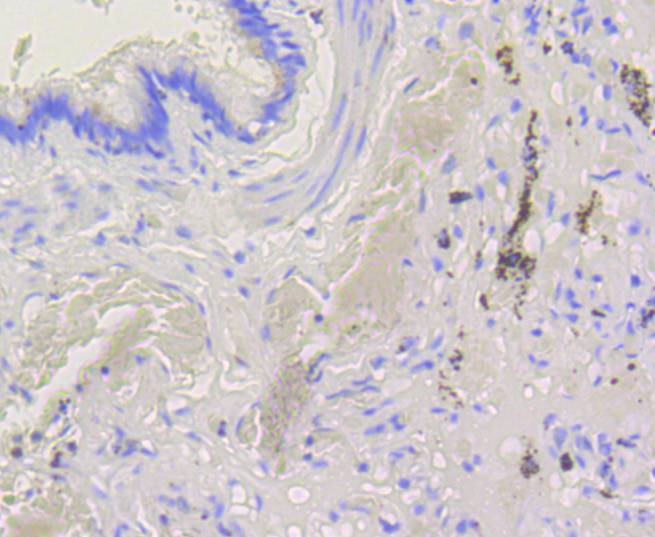
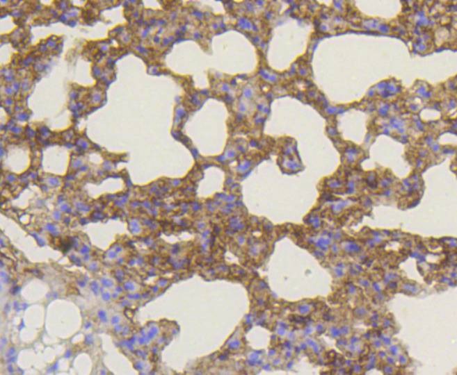
2. Immunohistochemical analysis of paraffin-embedded human lung tissue using anti-Bak antibody. Counter stained with hematoxylin.
3. Immunohistochemical analysis of paraffin-embedded mouse lung tissue using anti-Bak antibody. Counter stained with hematoxylin.
4. ICC staining Bak in CRC cells (green). The nuclear counter stain is DAPI (blue). Cells were fixed in paraformaldehyde, permeabilised with 0.25% Triton X100/PBS.
5. Flow cytometric analysis of NIH/3T3 cells with Bak antibody at 1/50 dilution (blue) compared with an unlabelled control (cells without incubation with primary antibody; red). Alexa Fluor 488-conjugated goat anti rabbit IgG was used as the secondary antibody.
verifiedActivityverifiedActivityverifiedActivityverifiedActivityverifiedActivity
应用FCMICC/IFIHCIPWB
推荐剂量
WB: 1:1000-2000; IHC: 1:50-200; ICC/IF: 1:50-200; FCM: 1:50-100
抗体种类
Monoclonal
宿主来源Rabbit
构建方式Recombinant Antibody
纯化方式ProA affinity purified
性状Liquid
缓冲液1*TBS (pH7.4), 1%BSA, 40%Glycerol. Preservative: 0.05% Sodium Azide.
研究背景The Bcl-2 family of proteins is characterized by its ability to modulate cell death (apoptosis) under a broad range of physiologic conditions. Bcl-2 and several related proteins function to inhibit apoptosis, while other members of the Bcl-2 family, such as Bax, accelerate death under various conditions. One member of the Bcl-2 family, designated Bak, functions primarily to enhance apoptotic cell death following appropriate activating signals and counteracts the protection from apoptosis provided by Bcl-2. Expression of Bak is widespread in a broad range of cells, including various long-lived, terminally differentiated cell types, suggesting that its cell-death-inducing activity is broadly distributed and that the regulation of inhibitors of apoptosis may represent an important determinant of tissue-specific modulation of apoptosis.
偶联与修饰
偶联
Unconjugated
抗原信息
免疫原
Recombinant Protein
Uniprot ID
化学信息
分子量Theoretical: 23 kDa.
储存&溶解度
储存方式Store at -20°C or -80°C for 12 months. Avoid repeated freeze-thaw cycles.
运输方式Shipping with blue ice.

计算器

  • 稀释 计算器
  • 配液 计算器
Related Tags: buy Anti-BAK1 Antibody (2V22) | purchase Anti-BAK1 Antibody (2V22) | Anti-BAK1 Antibody (2V22) cost | order Anti-BAK1 Antibody (2V22) | Anti-BAK1 Antibody (2V22) molecular weight