购物车
  • TargetMol
    您的购物车当前为空

Anti-ATP5A1 Antibody (7X811)

货号 TMAC-00339 一键复制产品信息
Rating icon 还可以

Anti-ATP5A1 Antibody (7X811) 是一种 Rabbit 抗体,靶向 ATP5A1。Anti-ATP5A1 Antibody (7X811) 可用于 FCM,ICC/IF,IHC,WB。

Anti-ATP5A1 Antibody (7X811)

一键复制产品信息
Rating icon 还可以
货号 TMAC-00339

Anti-ATP5A1 Antibody (7X811) 是一种 Rabbit 抗体,靶向 ATP5A1。Anti-ATP5A1 Antibody (7X811) 可用于 FCM,ICC/IF,IHC,WB。

Anti-ATP5A1 Antibody (7X811)
规格价格库存数量
50 μL
¥ 1,495
5日内发货
100 μL
¥ 2,485
5日内发货
库存状态实时更新,以官网显示为准,现货产品可直接加购物车下单
大包装 & 定制
加入购物车

TargetMol的所有产品仅用作科学研究或药证申报,不能被用于人体,我们不向个人提供产品和服务。请您遵守承诺用途,不得违反法律法规规定用于任何其他用途。

实验操作小课堂
常见问题解答
查看更多

选择批次:
纯度: /
颜色: 无色透明
性状: Liquid
资源下载: COA产品操作手册

产品介绍


生物活性
产品描述
Anti-ATP5A1 Antibody (7X811) is a Rabbit antibody targeting ATP5A1. Anti-ATP5A1 Antibody (7X811) can be used in FCM,ICC/IF,IHC,WB.
Ig Type
IgG
克隆号
7X811
反应种属
Human,Mouse,Rat
验证活性
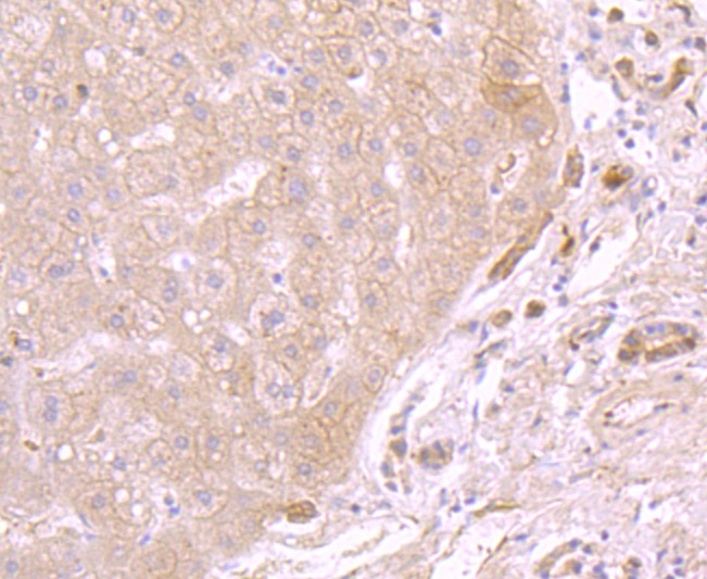
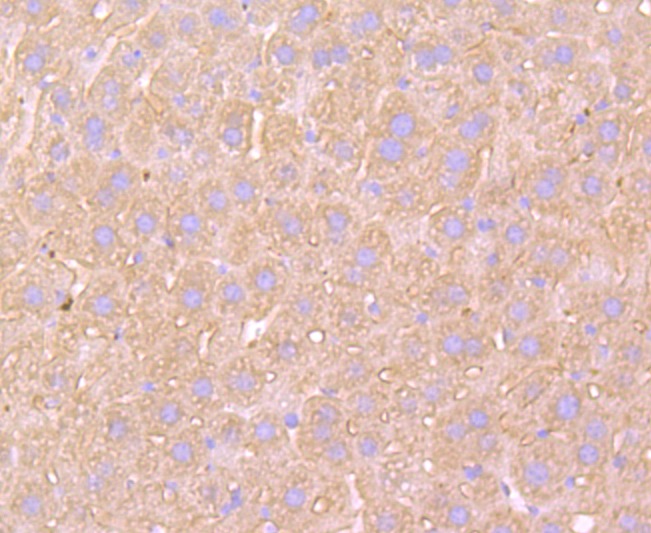
1. Immunohistochemical analysis of paraffin-embedded human liver tissue using anti-ATP5A1 antibody. Counter stained with hematoxylin.
2. Immunohistochemical analysis of paraffin-embedded mouse liver tissue using anti-ATP5A1 antibody. Counter stained with hematoxylin.
3. Immunohistochemical analysis of paraffin-embedded mouse heart muscle tissue using anti-ATP5A1 antibody. Counter stained with hematoxylin.
4. ICC staining ATP5A1 in MCF-7 cells (red). The nuclear counter stain is DAPI (blue). Cells were fixed in paraformaldehyde, permeabilised with 0.25% Triton X100/PBS.
5. ICC staining ATP5A1 in HepG2 cells (red). The nuclear counter stain is DAPI (blue). Cells were fixed in paraformaldehyde, permeabilised with 0.25% Triton X100/PBS.
6. ICC staining ATP5A1 in Hela cells (red). The nuclear counter stain is DAPI (blue). Cells were fixed in paraformaldehyde, permeabilised with 0.25% Triton X100/PBS.
7. Flow cytometric analysis of Hela cells with ATP5A1 antibody at 1/50 dilution (red) compared with an unlabelled control (cells without incubation with primary antibody; black). Alexa Fluor 488-conjugated goat anti rabbit IgG was used as the secondary antibody.
8. All lanes use the Antibody at 1:2K dilution for 1 hour at room temperature.
9. Western blot analysis of ATP5A1 expression in HepG2 cell lysate.
verifiedActivityverifiedActivityverifiedActivityverifiedActivityverifiedActivityverifiedActivityverifiedActivityverifiedActivityverifiedActivity
应用FCMICC/IFIHCWB
推荐剂量
WB: 1:1000-2000; IHC: 1:100-200; ICC/IF: 1:50-200; FCM: 1:20-100
抗体种类
Monoclonal
宿主来源Rabbit
构建方式Recombinant Antibody
纯化方式Affinity-chromatography
性状Liquid
缓冲液Rabbit IgG in 10mM phosphate buffered saline , pH 7.4, 150mM sodium chloride, 0.05% BSA, 0.02% sodium azide and 50% glycerol.
研究背景Mitochondrial ATP synthases (ATPases) transduce the energy contained in membrane electrochemical proton gradients into the energy required for synthesis of high-energy phosphate bonds. ATPases contain two linked complexes: F1, the hydrophilic catalytic core; and F0, the membrane-embedded protein channel. F1 consists of three α chains and three β chains, which are weakly homologous, as well as one γ chain, one δ chain and one e chain. F0 consists of three subunits: a, b and c. The α chain of F1 is a regulatory subunit that contains 509 amino acids. Mitochondrial ATPase α chain (ATP5A) localizes to the mitochondria and catalyzes ATP synthesis.
偶联与修饰
偶联
Unconjugated
抗原信息
免疫原
A synthesized peptide: human ATP5A
抗原种属
human
Uniprot ID
化学信息
分子量Theoretical: 50 kDa.
储存&溶解度
储存方式Store at 2°C-8°C for 1 month. Store at -20°C or -80°C for 12 months. Avoid repeated freeze-thaw cycles.
运输方式Shipping with blue ice.

计算器

  • 稀释 计算器
  • 配液 计算器
Related Tags: buy Anti-ATP5A1 Antibody (7X811) | purchase Anti-ATP5A1 Antibody (7X811) | Anti-ATP5A1 Antibody (7X811) cost | order Anti-ATP5A1 Antibody (7X811) | Anti-ATP5A1 Antibody (7X811) molecular weight