购物车
  • TargetMol
    您的购物车当前为空

Anti-ATP1A1 Antibody (7L590)

Synonyms: Sodium/potassium-transporting ATPase subunit alpha-1, Sodium pump subunit alpha-1, Na(+)/K(+) ATPase alpha-1 subunit, EC 3.6.3.9, ATP1A1
货号 TMAC-03821 一键复制产品信息
Rating icon 还可以

Anti-ATP1A1 Antibody (7L590) 是一种 Rabbit 抗体,靶向 ATP1A1。Anti-ATP1A1 Antibody (7L590) 可用于 FCM,ICC/IF,IHC,WB。

Anti-ATP1A1 Antibody (7L590)

一键复制产品信息
Rating icon 还可以
货号 TMAC-03821

别名 Sodium/potassium-transporting ATPase subunit alpha-1, Sodium pump subunit alpha-1, Na(+)/K(+) ATPase alpha-1 subunit, EC 3.6.3.9, ATP1A1

Anti-ATP1A1 Antibody (7L590) 是一种 Rabbit 抗体,靶向 ATP1A1。Anti-ATP1A1 Antibody (7L590) 可用于 FCM,ICC/IF,IHC,WB。

Anti-ATP1A1 Antibody (7L590)
规格价格库存数量
50 μL
¥ 1,490
5日内发货
100 μL
¥ 2,480
5日内发货
库存状态实时更新,以官网显示为准,现货产品可直接加购物车下单
大包装 & 定制
加入购物车

TargetMol的所有产品仅用作科学研究或药证申报,不能被用于人体,我们不向个人提供产品和服务。请您遵守承诺用途,不得违反法律法规规定用于任何其他用途。

实验操作小课堂
常见问题解答
查看更多

资源下载:产品操作手册

产品介绍


生物活性
产品描述
Anti-ATP1A1 Antibody (7L590) is a Rabbit antibody targeting ATP1A1. Anti-ATP1A1 Antibody (7L590) can be used in FCM,ICC/IF,IHC,WB.
别名
Sodium/potassium-transporting ATPase subunit alpha-1, Sodium pump subunit alpha-1, Na(+)/K(+) ATPase alpha-1 subunit, EC 3.6.3.9, ATP1A1
Ig Type
IgG
克隆号
7L590
反应种属
Human,Mouse,Rat
验证活性
1. Western blot analysis of Sodium Potassium ATPase on A549 cell lysates using anti-Sodium Potassium ATPase antibody at 1/1,000 dilution.
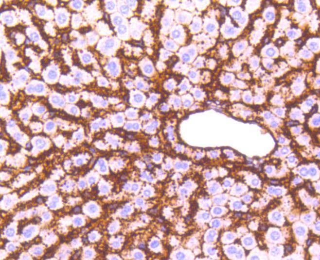
2. Immunohistochemical analysis of paraffin-embedded human liver tissue using anti-Sodium Potassium ATPase antibody. Counter stained with hematoxylin.
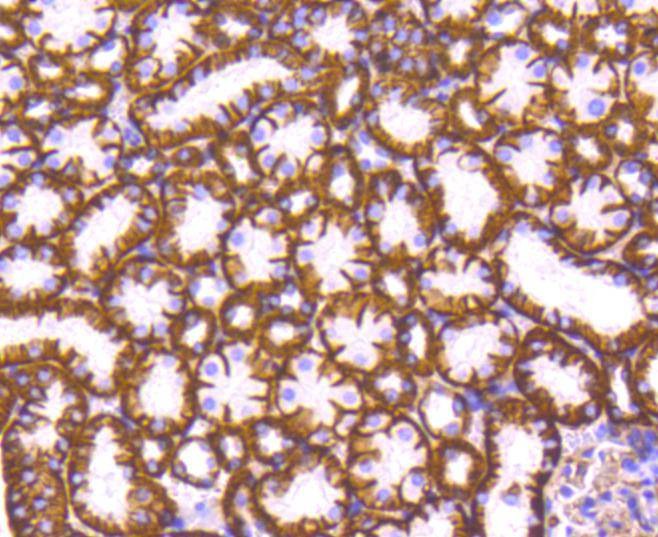
3. Immunohistochemical analysis of paraffin-embedded human kidney tissue using anti-Sodium Potassium ATPase antibody. Counter stained with hematoxylin.
4. Immunohistochemical analysis of paraffin-embedded mouse liver tissue using anti-Sodium Potassium ATPase antibody. Counter stained with hematoxylin.
5. Immunohistochemical analysis of paraffin-embedded mouse kidney tissue using anti-Sodium Potassium ATPase antibody. Counter stained with hematoxylin.
6. ICC staining Sodium Potassium ATPase in Hela cells (green). The nuclear counter stain is DAPI (blue). Cells were fixed in paraformaldehyde, permeabilised with 0.25% Triton X100/PBS.
7. ICC staining Sodium Potassium ATPase in MCF-7 cells (green). The nuclear counter stain is DAPI (blue). Cells were fixed in paraformaldehyde, permeabilised with 0.25% Triton X100/PBS.
8. Flow cytometric analysis of Hela cells with Sodium Potassium ATPase antibody at 1/50 dilution (red) compared with an unlabelled control (cells without incubation with primary antibody; black). Alexa Fluor 488-conjugated goat anti rabbit IgG was used as the secondary antibody.
verifiedActivityverifiedActivityverifiedActivityverifiedActivityverifiedActivityverifiedActivityverifiedActivityverifiedActivity
应用FCMICC/IFIHCWB
推荐剂量
WB: 1:1000-5000; IHC: 1:50-200; ICC/IF: 1:50-200; FCM: 1:50-100
抗体种类
Monoclonal
宿主来源Rabbit
构建方式Recombinant Antibody
纯化方式ProA affinity purified
性状Liquid
缓冲液1*TBS (pH7.4), 1%BSA, 40%Glycerol. Preservative: 0.05% Sodium Azide.
研究背景The ubiquitously expressed sodium/potassium-ATPase (Na+/K+-ATPase) exists as an oligomeric plasma membrane complex that couples the hydrolysis of one molecule of ATP to the importation of three Na+ ions and two K+ ions against their respective electrochemical gradients. As a member of the P-type family of ion motives, Na+/K+-ATPase plays a critical role in maintaining cellular volume, resting membrane potential and Na+-coupled solute transport. Multiple isoforms of three subunits, α, β and γ, comprise the Na+/K+-ATPase oligomer. The α subunit contains the binding sites for ATP and the cations; the glycosylated β subunit ensures correct folding and membrane insertion of the α subunits. The small γ subunit co-localizes with the α subunit in nephron segments, where it increases the affinity of Na+/K+-ATPase for ATP. The β subunit, but not the γ subunit, is essential for normal activity of Na+/K+-ATPase.
偶联与修饰
偶联
Unconjugated
抗原信息
免疫原
A synthesized peptide: within Human ATP1A1 aa 39-83 / 1023
抗原种属
human
Uniprot ID
化学信息
分子量Theoretical: 100 kDa.
储存&溶解度
储存方式Store at -20°C or -80°C for 12 months. Avoid repeated freeze-thaw cycles.
运输方式Shipping with blue ice.

计算器

  • 稀释 计算器
  • 配液 计算器
Related Tags: buy Anti-ATP1A1 Antibody (7L590) | purchase Anti-ATP1A1 Antibody (7L590) | Anti-ATP1A1 Antibody (7L590) cost | order Anti-ATP1A1 Antibody (7L590) | Anti-ATP1A1 Antibody (7L590) molecular weight