购物车
  • TargetMol
    您的购物车当前为空

Anti-ADIPOR1 Antibody (2S638)

Synonyms: TESBP1A, Progestin and adipoQ receptor family member I, Progestin and adipoQ receptor family member 1, PAQR1, ADIPOR1, Adiponectin receptor protein 1
货号 TMAC-00093 一键复制产品信息
Rating icon 还可以

Anti-ADIPOR1 Antibody (2S638) 是一种 Rabbit 抗体,靶向 ADIPOR1。Anti-ADIPOR1 Antibody (2S638) 可用于 FCM,ICC/IF,IHC,WB。

Anti-ADIPOR1 Antibody (2S638)

一键复制产品信息
Rating icon 还可以
货号 TMAC-00093

别名 TESBP1A, Progestin and adipoQ receptor family member I, Progestin and adipoQ receptor family member 1, PAQR1, ADIPOR1, Adiponectin receptor protein 1

Anti-ADIPOR1 Antibody (2S638) 是一种 Rabbit 抗体,靶向 ADIPOR1。Anti-ADIPOR1 Antibody (2S638) 可用于 FCM,ICC/IF,IHC,WB。

Anti-ADIPOR1 Antibody (2S638)
规格价格库存数量
50 μL
¥ 1,495
5日内发货
100 μL
¥ 2,485
5日内发货
库存状态实时更新,以官网显示为准,现货产品可直接加购物车下单
大包装 & 定制
加入购物车

TargetMol的所有产品仅用作科学研究或药证申报,不能被用于人体,我们不向个人提供产品和服务。请您遵守承诺用途,不得违反法律法规规定用于任何其他用途。

实验操作小课堂
常见问题解答
查看更多

资源下载:产品操作手册

产品介绍


生物活性
产品描述
Anti-ADIPOR1 Antibody (2S638) is a Rabbit antibody targeting ADIPOR1. Anti-ADIPOR1 Antibody (2S638) can be used in FCM,ICC/IF,IHC,WB.
别名
TESBP1A, Progestin and adipoQ receptor family member I, Progestin and adipoQ receptor family member 1, PAQR1, ADIPOR1, Adiponectin receptor protein 1
Ig Type
IgG
克隆号
2S638
反应种属
Human,Mouse,Rat,zebrafish
验证活性
1. Western blot analysis of ADIPOR1 on human skeletal muscle lysates using anti-ADIPOR1 antibody at 1/1,000 dilution.
2. Immunohistochemical analysis of paraffin-embedded human kidney tissue using anti-ADIPOR1 antibody. Counter stained with hematoxylin.
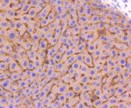
3. Immunohistochemical analysis of paraffin-embedded mouse liver tissue using anti-ADIPOR1 antibody. Counter stained with hematoxylin.
4. ICC staining ADIPOR1 in Hela cells (green). The nuclear counter stain is DAPI (blue). Cells were fixed in paraformaldehyde, permeabilised with 0.25% Triton X100/PBS.
5. ICC staining ADIPOR1 in HepG2 cells (green). The nuclear counter stain is DAPI (blue). Cells were fixed in paraformaldehyde, permeabilised with 0.25% Triton X100/PBS.
6. ICC staining ADIPOR1 in LO2 cells (green). The nuclear counter stain is DAPI (blue). Cells were fixed in paraformaldehyde, permeabilised with 0.25% Triton X100/PBS.
7. Flow cytometric analysis of HepG2 cells with ADIPOR1 antibody at 1/50 dilution (red) compared with an unlabelled control (cells without incubation with primary antibody; black). Alexa Fluor 488-conjugated goat anti rabbit IgG was used as the secondary antibody.
verifiedActivityverifiedActivityverifiedActivityverifiedActivityverifiedActivityverifiedActivityverifiedActivity
应用FCMICC/IFIHCWB
推荐剂量
WB: 1:1000-5000; IHC: 1:50-200; ICC/IF: 1:50-200; FCM: 1:50-100
抗体种类
Monoclonal
宿主来源Rabbit
构建方式Recombinant Antibody
纯化方式ProA affinity purified
性状Liquid
缓冲液1*TBS (pH7.4), 1%BSA, 40%Glycerol. Preservative: 0.05% Sodium Azide.
研究背景Adiponectin is a circulating hormone secreted by adipocytes that improves the metabolism of glucose and lipids, and is expressed at low levels in those with obesity and diabetes. Adiponectin receptors AdipoR1 and AdipoR2, also designated progestin and adipoQ receptor family members I and II, respectively, regulate fatty acid oxidation and the uptake of glucose by adiponectin. Each receptor activates a unique set of signaling molecules including AMPK, p38 MAPK and PPARα. AdipoR1 has a high-affinity for globular adiponectin and low-affinity for full-length adiponectin, while AdipoR2 has an intermediate affinity for both forms. AdipoR1 and AdipoR2 are mainly expressed in liver and muscle. Adiponectin, AdipoR1 and AdipoR2 are all associated with body composition, Insulin sensitivity, and metabolic parameters. Physical training increases circulating adiponectin and mRNA expression of AdipoR1 and AdipoR2 in muscle, which may mediate the improvement of Insulin resistance and the metabolic syndrome in response to exercise.
偶联与修饰
偶联
Unconjugated
抗原信息
免疫原
Recombinant Protein
Uniprot ID
化学信息
分子量Theoretical: 43 kDa.
储存&溶解度
储存方式Store at -20°C or -80°C for 12 months. Avoid repeated freeze-thaw cycles.
运输方式Shipping with blue ice.

计算器

  • 稀释 计算器
  • 配液 计算器

关键词

Related Tags: buy Anti-ADIPOR1 Antibody (2S638) | purchase Anti-ADIPOR1 Antibody (2S638) | Anti-ADIPOR1 Antibody (2S638) cost | order Anti-ADIPOR1 Antibody (2S638) | Anti-ADIPOR1 Antibody (2S638) molecular weight