购物车
  • 全部删除
  • TargetMol
    您的购物车当前为空

Anti-ACTA2 Antibody (1S368)

Rating icon 还可以
产品编号 TMAC-00161
别名 Cell growth-inhibiting gene 46 protein, aortic smooth muscle, Alpha-actin-2, ACTVS, ACTSA, Actin, aortic smooth muscle, ACTA2

Anti-ACTA2 Antibody (1S368) 是一种 Rabbit 抗体,靶向 ACTA2。Anti-ACTA2 Antibody (1S368) 可用于 FCM,IHC,IP,WB。

Anti-ACTA2 Antibody (1S368)

Anti-ACTA2 Antibody (1S368)

一键复制产品信息
Rating icon 还可以
产品编号 TMAC-00161 别名 Cell growth-inhibiting gene 46 protein, aortic smooth muscle, Alpha-actin-2, ACTVS, ACTSA, Actin, aortic smooth muscle, ACTA2

Anti-ACTA2 Antibody (1S368) 是一种 Rabbit 抗体,靶向 ACTA2。Anti-ACTA2 Antibody (1S368) 可用于 FCM,IHC,IP,WB。

规格价格库存数量
50 μL
¥ 1,495
5日内发货
100 μL
¥ 2,490
5日内发货
大包装 & 定制
加入购物车
TargetMol 的所有产品仅用作科学研究或药证申报,不能被用于人体,我们不向个人提供产品和服务。请您遵守承诺用途,不得违反法律法规规定用于任何其他用途。
实验操作小课堂
常见问题解答
查看更多
联系我们获取更多批次信息
资源下载

产品介绍

生物活性
产品描述
Anti-ACTA2 Antibody (1S368) is a Rabbit antibody targeting ACTA2. Anti-ACTA2 Antibody (1S368) can be used in FCM,IHC,IP,WB.
别名Cell growth-inhibiting gene 46 protein, aortic smooth muscle, Alpha-actin-2, ACTVS, ACTSA, Actin, aortic smooth muscle, ACTA2
Ig Type
IgG
克隆号
1S368
交叉反应
Human,Mouse,Rat,zebrafish
验证活性
1. Western blot analysis of alpha smooth muscle Actin on different lysates using anti-alpha smooth muscle Actin antibody at 1/1,000 dilution. Positive control: Lane 1: A549, Lane 2: Hela, Lane 3: NIH/3T3, Lane 4: Mouse heart.
2. Immunohistochemical analysis of paraffin-embedded human tonsil tissue using anti-alpha smooth muscle Actin antibody. Counter stained with hematoxylin.
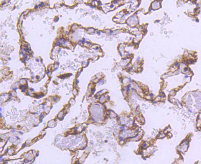
3. Immunohistochemical analysis of paraffin-embedded human lung tissue using anti-alpha smooth muscle Actin antibody. Counter stained with hematoxylin.
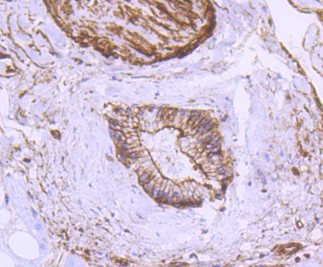
4. Immunohistochemical analysis of paraffin-embedded human liver tissue using anti-alpha smooth muscle Actin antibody. Counter stained with hematoxylin.
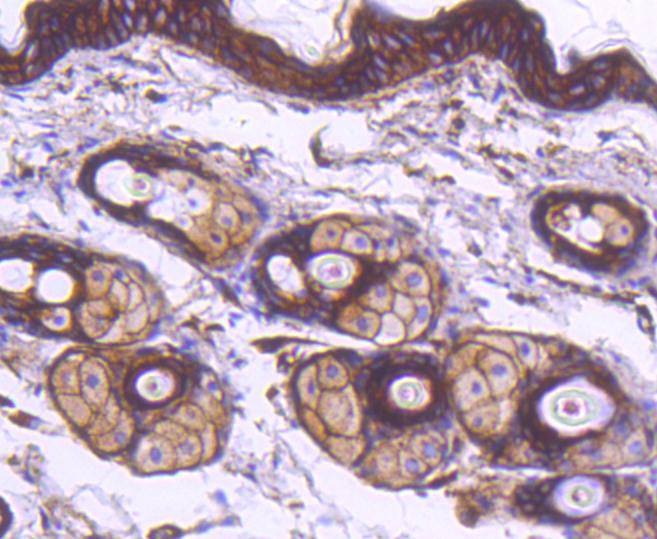
5. Immunohistochemical analysis of paraffin-embedded mouse skin tissue using anti-alpha smooth muscle Actin antibody. Counter stained with hematoxylin.
6. Immunohistochemical analysis of paraffin-embedded mouse small intestine tissue using anti-alpha smooth muscle Actin antibody. Counter stained with hematoxylin.
7. Flow cytometric analysis of Hela cells with alpha smooth muscle Actin antibody at 1/50 dilution (blue) compared with an unlabelled control (cells without incubation with primary antibody; red). Alexa Fluor 488-conjugated goat anti rabbit IgG was used as the secondary antibody.
verifiedActivityverifiedActivityverifiedActivityverifiedActivityverifiedActivityverifiedActivityverifiedActivity
应用FCMIHCIPWB
推荐剂量
WB: 1:1000-5000; IHC: 1:50-200; FCM: 1:50-100
抗体种类
Monoclonal
宿主来源Rabbit
构建方式Recombinant Antibody
纯化方式ProA affinity purified
性状Liquid
缓冲液1*TBS (pH7.4), 1%BSA, 40%Glycerol. Preservative: 0.05% Sodium Azide.
研究背景All eukaryotic cells express Actin, which often constitutes as much as 50% of total cellular protein. Actin filaments can form both stable and labile structures and are crucial components of microvilli and the contractile apparatus of muscle cells. While lower eukaryotes, such as yeast, have only one Actin gene, higher eukaryotes have several isoforms encoded by a family of genes. At least six types of Actin are present in mammalian tissues and fall into three classes. α-Actin expression is limited to various types of muscle, whereas ?Cβ and γ-Actin are the principle constituents of filaments in other tissues. Members of the small GTPase family regulate the organization of the Actin cytoskeleton. Rho controls the assembly of Actin stress fibers and focal adhesion. Rac regulates Actin filament accumulation at the plasma membrane. Cdc42 stimulates formation of filopodia.
偶联与修饰
偶联
Unconjugated
抗原信息
免疫原
Recombinant Protein
Uniprot ID
化学信息
分子量Theoretical: 42 kDa.
存储&运输
储存方式Store at -20°C or -80°C for 12 months. Avoid repeated freeze-thaw cycles.
运输方式Shipping with blue ice.

计算器

  • 稀释 计算器

关键词

评论列表

4个月前
5.0
Rating icon 很棒

评论内容

Related Tags: buy Anti-ACTA2 Antibody (1S368) | purchase Anti-ACTA2 Antibody (1S368) | Anti-ACTA2 Antibody (1S368) cost | order Anti-ACTA2 Antibody (1S368) | Anti-ACTA2 Antibody (1S368) molecular weight