购物车
  • TargetMol
    您的购物车当前为空

Anti-4EBP1 Antibody (5U577)

Synonyms: PHAS-I, eukaryotic translation initiation factor 4E binding protein 1, BP-1, 4E-BP1, 4EBP1
货号 TMAC-01276 一键复制产品信息
Rating icon 还可以

Anti-4EBP1 Antibody (5U577) 是一种 Rabbit 抗体,靶向 4EBP1。Anti-4EBP1 Antibody (5U577) 可用于 FCM,ICC/IF,IHC,IP,WB。

Anti-4EBP1 Antibody (5U577)

一键复制产品信息
Rating icon 还可以
货号 TMAC-01276

别名 PHAS-I, eukaryotic translation initiation factor 4E binding protein 1, BP-1, 4E-BP1, 4EBP1

Anti-4EBP1 Antibody (5U577) 是一种 Rabbit 抗体,靶向 4EBP1。Anti-4EBP1 Antibody (5U577) 可用于 FCM,ICC/IF,IHC,IP,WB。

Anti-4EBP1 Antibody (5U577)
规格价格库存数量
50 μL
¥ 1,480
5日内发货
100 μL
¥ 2,495
5日内发货
库存状态实时更新,以官网显示为准,现货产品可直接加购物车下单
大包装 & 定制
加入购物车
TargetMol的所有产品仅用作科学研究或药证申报,不能被用于人体,我们不向个人提供产品和服务。请您遵守承诺用途,不得违反法律法规规定用于任何其他用途。
实验操作小课堂
常见问题解答
查看更多

资源下载:产品操作手册

产品介绍


生物活性
产品描述
Anti-4EBP1 Antibody (5U577) is a Rabbit antibody targeting 4EBP1. Anti-4EBP1 Antibody (5U577) can be used in FCM,ICC/IF,IHC,IP,WB.
别名PHAS-I, eukaryotic translation initiation factor 4E binding protein 1, BP-1, 4E-BP1, 4EBP1
Ig Type
IgG
克隆号
5U577
反应种属
Human,Mouse,Rat
验证活性
1. Western blot analysis of eIF4EBP1 on different lysates using anti-eIF4EBP1 antibody at 1/1,000 dilution. Positive control: Lane 1: K562, Lane 2: HepG2, Lane 3: 293.
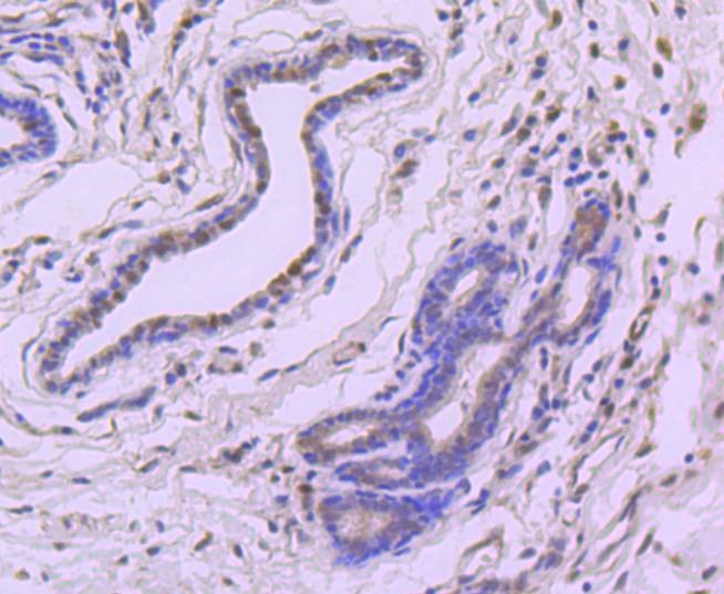
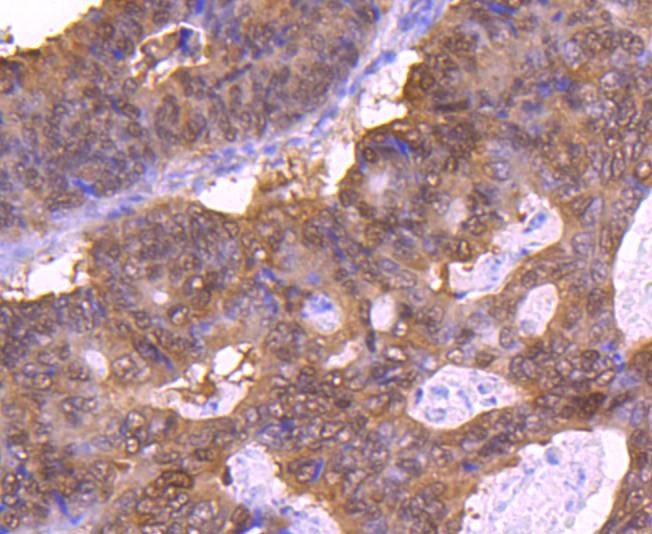
2. Immunohistochemical analysis of paraffin-embedded human colon cancer tissue using anti-eIF4EBP1 antibody. Counter stained with hematoxylin.
3. Immunohistochemical analysis of paraffin-embedded human breast carcinoma tissue using anti-eIF4EBP1 antibody. Counter stained with hematoxylin.
4. ICC staining eIF4EBP1 in Hela cells (green). The nuclear counter stain is DAPI (blue). Cells were fixed in paraformaldehyde, permeabilised with 0.25% Triton X100/PBS.
5. ICC staining eIF4EBP1 in MCF-7 cells (green). The nuclear counter stain is DAPI (blue). Cells were fixed in paraformaldehyde, permeabilised with 0.25% Triton X100/PBS.
6. Flow cytometric analysis of NIH/3T3 cells with eIF4EBP1 antibody at 1/50 dilution (red) compared with an unlabelled control (cells without incubation with primary antibody; black). Alexa Fluor 488-conjugated goat anti rabbit IgG was used as the secondary antibody.
verifiedActivityverifiedActivityverifiedActivityverifiedActivityverifiedActivityverifiedActivity
应用FCMICC/IFIHCIPWB
推荐剂量
WB: 1:1000-2000; IHC: 1:50-200; ICC/IF: 1:50-200; FCM: 1:50-100
抗体种类
Monoclonal
宿主来源Rabbit
构建方式Recombinant Antibody
纯化方式ProA affinity purified
性状Liquid
缓冲液1*TBS (pH7.4), 1%BSA, 40%Glycerol. Preservative: 0.05% Sodium Azide.
研究背景The translation of proteins from eukaryotic mRNA is initiated by the multisubunit complex eIF-4F, which associates with the mRNA 5' cap structure. eIF-4E, a component of eIF-4F, is responsible for binding to the 5' cap structure and for the assembly of the eIF-4F complex. The regulatory protein 4E-BP1, also referred to as PHAS-I, inhibits eIF-4E function. Phosphorylation of 4E-BP1 by S6 kinase p70, MAP kinases or PKCs causes the disassociation of 4E-BP1 from eIF-4E, promoting translation. A protein that is functionally related to 4E-BP1, designated 4E-BP2, also associates with eIF-4E.
偶联与修饰
偶联
Unconjugated
抗原信息
免疫原
Recombinant Protein
Uniprot ID
化学信息
分子量Theoretical: 17 kDa.
储存&溶解度
储存方式Store at -20°C or -80°C for 12 months. Avoid repeated freeze-thaw cycles.
运输方式Shipping with blue ice.

计算器

  • 稀释 计算器
  • 配液 计算器

关键词

Related Tags: buy Anti-4EBP1 Antibody (5U577) | purchase Anti-4EBP1 Antibody (5U577) | Anti-4EBP1 Antibody (5U577) cost | order Anti-4EBP1 Antibody (5U577) | Anti-4EBP1 Antibody (5U577) molecular weight