购物车
  • 全部删除
  • TargetMol
    您的购物车当前为空

Anti-14-3-3 epsilon Antibody (5E440)

Rating icon 还可以
产品编号 TMAC-00003
别名 tyrosine 3-monooxygenase/tryptophan 5-monooxygenase activation protein, ε, tyrosine 3-monooxygenase/tryptophan 5-monooxygenase activation protein, epsilon, MDS, MDCR, KCIP-1, HEL2, 14-3-3E, 14-3-3 ε

Anti-14-3-3 epsilon Antibody (5E440) 是一种 Rabbit 抗体,靶向 14-3-3 epsilon。Anti-14-3-3 epsilon Antibody (5E440) 可用于 FCM,ICC/IF,IHC,WB。

Anti-14-3-3 epsilon Antibody (5E440)

Anti-14-3-3 epsilon Antibody (5E440)

一键复制产品信息
Rating icon 还可以
产品编号 TMAC-00003 别名 tyrosine 3-monooxygenase/tryptophan 5-monooxygenase activation protein, ε, tyrosine 3-monooxygenase/tryptophan 5-monooxygenase activation protein, epsilon, MDS, MDCR, KCIP-1, HEL2, 14-3-3E, 14-3-3 ε

Anti-14-3-3 epsilon Antibody (5E440) 是一种 Rabbit 抗体,靶向 14-3-3 epsilon。Anti-14-3-3 epsilon Antibody (5E440) 可用于 FCM,ICC/IF,IHC,WB。

规格价格库存数量
50 μL
¥ 1,480
5日内发货
100 μL
¥ 2,485
5日内发货
大包装 & 定制
加入购物车
TargetMol 的所有产品仅用作科学研究或药证申报,不能被用于人体,我们不向个人提供产品和服务。请您遵守承诺用途,不得违反法律法规规定用于任何其他用途。
实验操作小课堂
常见问题解答
查看更多
联系我们获取更多批次信息
资源下载

产品介绍

生物活性
产品描述
Anti-14-3-3 epsilon Antibody (5E440) is a Rabbit antibody targeting 14-3-3 epsilon. Anti-14-3-3 epsilon Antibody (5E440) can be used in FCM,ICC/IF,IHC,WB.
别名tyrosine 3-monooxygenase/tryptophan 5-monooxygenase activation protein, ε, tyrosine 3-monooxygenase/tryptophan 5-monooxygenase activation protein, epsilon, MDS, MDCR, KCIP-1, HEL2, 14-3-3E, 14-3-3 ε
Ig Type
IgG
克隆号
5E440
交叉反应
Human,Mouse,Rat
验证活性
1. Western blot analysis of 14-3-3 epsilon on different lysates using anti-14-3-3 epsilon antibody at 1/1,000 dilution. Positive control: Lane 1: SH-SY-5Y, Lane 2: 293T.
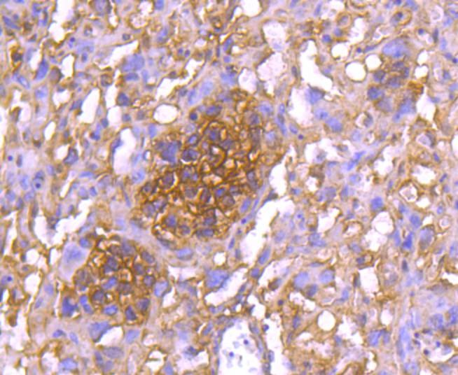
2. Immunohistochemical analysis of paraffin-embedded mouse placenta tissue using anti-14-3-3 epsilon antibody. Counter stained with hematoxylin.
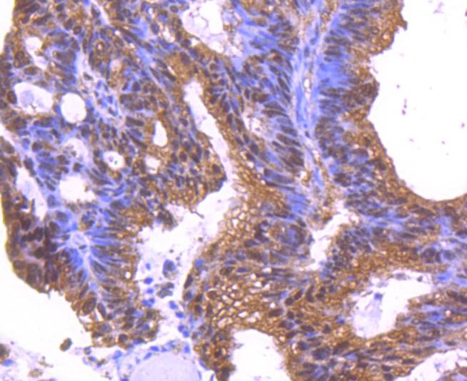
3. Immunohistochemical analysis of paraffin-embedded human colon cancer tissue using anti-14-3-3 epsilon antibody. Counter stained with hematoxylin.
4. ICC staining 14-3-3 epsilon in Hela cells (green). The nuclear counter stain is DAPI (blue). Cells were fixed in paraformaldehyde, permeabilised with 0.25% Triton X100/PBS.
5. ICC staining 14-3-3 epsilon in SH-SY-5Y cells (green). The nuclear counter stain is DAPI (blue). Cells were fixed in paraformaldehyde, permeabilised with 0.25% Triton X100/PBS.
6. ICC staining 14-3-3 epsilon in NIH/3T3 cells (green). The nuclear counter stain is DAPI (blue). Cells were fixed in paraformaldehyde, permeabilised with 0.25% Triton X100/PBS.
7. Flow cytometric analysis of SH-SY-5Y cells with 14-3-3 epsilon antibody at 1/50 dilution (red) compared with an unlabelled control (cells without incubation with primary antibody; black). Alexa Fluor 488-conjugated goat anti rabbit IgG was used as the secondary antibody.
verifiedActivityverifiedActivityverifiedActivityverifiedActivityverifiedActivityverifiedActivityverifiedActivity
应用FCMICC/IFIHCWB
推荐剂量
WB: 1:1000-2000; IHC: 1:50-200; ICC/IF: 1:50-200; FCM: 1:10-100
抗体种类
Monoclonal
宿主来源Rabbit
构建方式Recombinant Antibody
纯化方式ProA affinity purified
性状Liquid
缓冲液1*TBS (pH7.4), 1%BSA, 40%Glycerol. Preservative: 0.05% Sodium Azide.
研究背景The 14-3-3 family of proteins plays a key regulatory role in signal transduction, checkpoint control, apoptotic and nutrient-sensing pathways. 14-3-3 proteins are highly conserved and ubiquitously expressed. There are at least seven isoforms, β, γ, ε, ??, ζ, ?? and η that have been identified in mammals. The 14-3-3 epsilon, a subtype of the 14-3-3 family of proteins, was thought to be brain and neuron-specific. It has been shown to interact with CDC25 phosphatases, RAF1 and IRS1 proteins, suggesting its role in diverse biochemical activities related to signal transduction, such as cell division and regulation of insulin sensitivity. It has also been implicated in the pathogenesis of small cell lung cancer.
偶联与修饰
偶联
Unconjugated
抗原信息
免疫原
Recombinant Protein
Uniprot ID
化学信息
分子量Theoretical: 29 kDa.
存储&运输
储存方式Store at -20°C or -80°C for 12 months. Avoid repeated freeze-thaw cycles.
运输方式Shipping with blue ice.

计算器

  • 稀释 计算器

关键词

评论列表

4个月前
5.0
Rating icon 很棒

评论内容

Related Tags: buy Anti-14-3-3 epsilon Antibody (5E440) | purchase Anti-14-3-3 epsilon Antibody (5E440) | Anti-14-3-3 epsilon Antibody (5E440) cost | order Anti-14-3-3 epsilon Antibody (5E440) | Anti-14-3-3 epsilon Antibody (5E440) molecular weight