购物车
  • TargetMol
    您的购物车当前为空

Beta-Actin Loading Control Polyclonal Antibody

Synonyms: β-Actin Protein, β-actin, Beta-Actin, Actin Cytoplasmic 1, ACTB
货号 TMAB-00216 一键复制产品信息
Rating icon 还可以

Beta-Actin Loading Control Polyclonal Antibody 是一种 Rabbit 抗体,靶向 Beta-Actin。Beta-Actin Loading Control Polyclonal Antibody 可用于 FCM, ICC/IF, IF, IHC-Fr, IHC-P, WB。

Beta-Actin Loading Control Polyclonal Antibody

一键复制产品信息
Rating icon 还可以
货号 TMAB-00216

别名 β-Actin Protein, β-actin, Beta-Actin, Actin Cytoplasmic 1, ACTB

Beta-Actin Loading Control Polyclonal Antibody 是一种 Rabbit 抗体,靶向 Beta-Actin。Beta-Actin Loading Control Polyclonal Antibody 可用于 FCM, ICC/IF, IF, IHC-Fr, IHC-P, WB。

Beta-Actin Loading Control Polyclonal Antibody
规格价格库存数量
100 μL
¥ 565
5日内发货
200 μL
¥ 965
5日内发货
500 μL
¥ 2,265
5日内发货
1 mL
¥ 4,275
5日内发货
库存状态实时更新,以官网显示为准,现货产品可直接加购物车下单
大包装 & 定制
加入购物车
TargetMol的所有产品仅用作科学研究或药证申报,不能被用于人体,我们不向个人提供产品和服务。请您遵守承诺用途,不得违反法律法规规定用于任何其他用途。
实验操作小课堂
常见问题解答
查看更多

选择批次:
纯度: /
颜色: 无色透明
性状: Liquid

产品介绍


生物活性
产品描述
Beta-Actin Loading Control Polyclonal Antibody is a Rabbit antibody targeting Beta-Actin. Beta-Actin Loading Control Polyclonal Antibody can be used in FCM, ICC/IF, IF, IHC-Fr, IHC-P, WB.
别名β-Actin Protein, β-actin, Beta-Actin, Actin Cytoplasmic 1, ACTB
Ig Type
IgG
反应种属
Human,Mouse,Rat (predicted:Chicken,Dog,Pig,Rabbit,Sheep,Bee,Fish,GuineaPig,Hamster,Cat)
验证活性
1. Sample: Embryo Cerebrum (Mouse) Lysate at 40 μg
Du145 (Human) Lysate at 40 μg
SW480 (Human) Cell Lysate at 40 μg
U87MG (Human) Lysate at 40 μg
U251 (Human) Lysate at 40 μg
A673 (Human) Lysate at 40 μg
LOVO (Human) Lysate at 40 μg
293FT (Human) Lysate at 40 μg
JEG-3 (Human) Lysate at 40 μg
RSC96 (Rat) Cell Lysate at 40 μg
MCF-7 (Human) Cell Lysate at 40 μg
HepG2 (Human) Lysate at 40 μg
A431 (Human) Lysate at 40 μg
Primary: Anti-beta-Actin (TMAB-00216) at 1/2000 dilution
Secondary: IRDye800CW Goat Anti-Rabbit IgG at 1/20000 dilution
Predicted band size: 42 kDa
Observed band size: 42 kDa
2. MCF7 cell; 4% Paraformaldehyde-fixed; Triton X-100 at room temperature for 20 min; Blocking buffer (normal goat serum) at 37°C for 20 min; Antibody incubation with (beta-Actin) polyclonal Antibody, Unconjugated (TMAB-00216) 1:100, 90 minutes at 37°C; followed by a conjugated Goat Anti-Rabbit IgG antibody at 37°C for 90 minutes, DAPI (blue) was used to stain the cell nucleus.
3. Sample:
SH-SY5Y (Human) Lysate at 40 μg
Primary:
Anti-beta-Actin (TMAB-00216) at 1/2000~1/20000 dilution
Secondary: IRDye800CW Goat Anti-Rabbit IgG at 1/20000 dilution
Predicted band size: 42 kDa
Observed band size: 42 kDa
4. Blank control: NIH/3T3. Primary Antibody (green line): Rabbit Anti-beta-Actin (Loading Control) antibody (TMAB-00216)
Dilution: 1 μg/10^6 cells;
Isotype Control Antibody (orange line): Rabbit IgG.
Secondary Antibody: Goat anti-rabbit IgG-AF488
Dilution: 1 μg/test.
Protocol
The cells were fixed with 4% PFA (10 min at room temperature) and then permeabilized with 90% ice-cold methanol for 20 min at-20°C. The cells were then incubated in 5% BSA to block non-specific protein-protein interactions for 30 min at room temperature. Cells stained with Primary Antibody for 30 min at room temperature. The secondary antibody used for 40 min at room temperature.
5. Tissue/cell: Hela cell; 4% Paraformaldehyde-fixed; Triton X-100 at room temperature for 20 min; Blocking buffer (normal goat serum) at 37°C for 20 min; Antibody incubation with (beta-Actin) polyclonal Antibody, Unconjugated (TMAB-00216) 1:100, 90 minutes at 37°C; followed by a conjugated Goat Anti-Rabbit IgG-FITC antibody at 37°C for 90 minutes, DAPI (blue) was used to stain the cell nucleus.
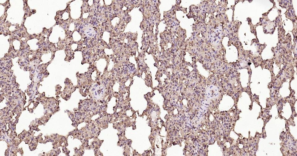
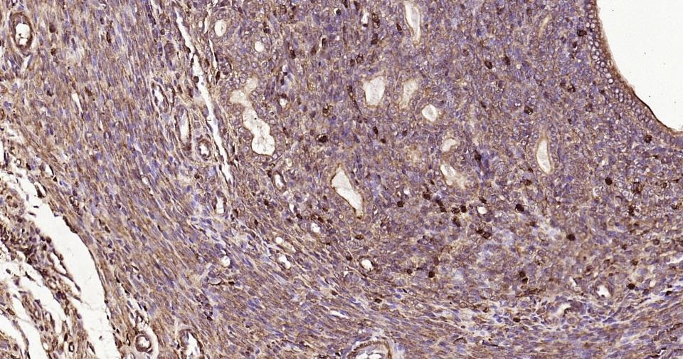
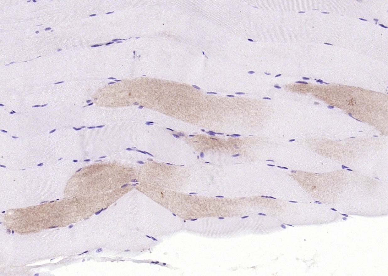
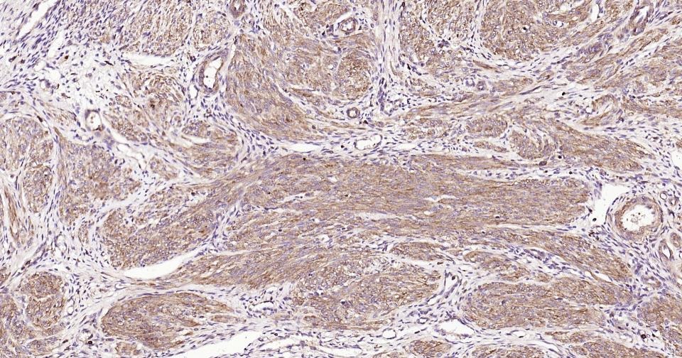
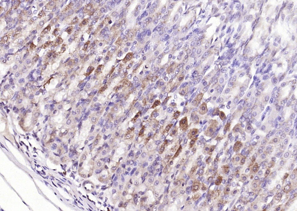
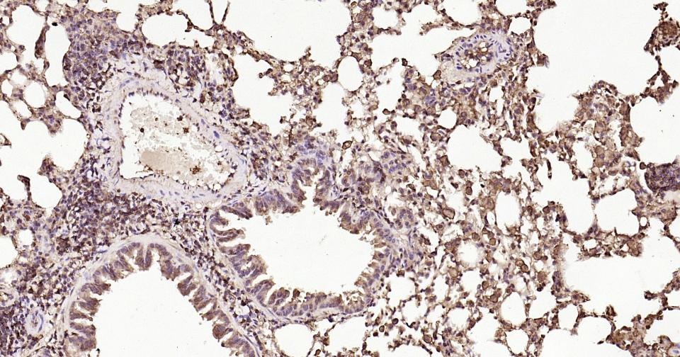
6. Paraformaldehyde-fixed, paraffin embedded Mouse Lung; Antigen retrieval by boiling in sodium citrate buffer (pH6.0) for 15 min; Antibody incubation with beta-Actin Polyclonal Antibody, Unconjugated (TMAB-00216) at 1:200 overnight at 4°C, followed by conjugation to the SP Kit (Rabbit) and DAB staining.
7. Paraformaldehyde-fixed, paraffin embedded Rat Lung; Antigen retrieval by boiling in sodium citrate buffer (pH6.0) for 15 min; Antibody incubation with beta-Actin Polyclonal Antibody, Unconjugated (TMAB-00216) at 1:200 overnight at 4°C, followed by conjugation to the SP Kit (Rabbit) and DAB staining.
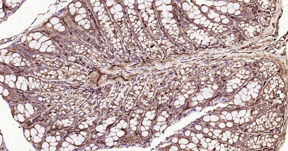
8. Paraformaldehyde-fixed, paraffin embedded Mouse Colon; Antigen retrieval by boiling in sodium citrate buffer (pH6.0) for 15 min; Antibody incubation with beta-Actin Polyclonal Antibody, Unconjugated (TMAB-00216) at 1:200 overnight at 4°C, followed by conjugation to the SP Kit (Rabbit) and DAB staining.
9. Paraformaldehyde-fixed, paraffin embedded Rat Colon; Antigen retrieval by boiling in sodium citrate buffer (pH6.0) for 15 min; Antibody incubation with beta-Actin Polyclonal Antibody, Unconjugated (TMAB-00216) at 1:200 overnight at 4°C, followed by conjugation to the SP Kit (Rabbit) and DAB staining.
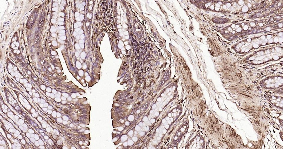
10. Paraformaldehyde-fixed, paraffin embedded Human Colon; Antigen retrieval by boiling in sodium citrate buffer (pH6.0) for 15 min; Antibody incubation with beta-Actin Polyclonal Antibody, Unconjugated (TMAB-00216) at 1:200 overnight at 4°C, followed by conjugation to the SP Kit (Rabbit) and DAB staining.
11. Paraformaldehyde-fixed, paraffin embedded Mouse Uterus; Antigen retrieval by boiling in sodium citrate buffer (pH6.0) for 15 min; Antibody incubation with beta-Actin Polyclonal Antibody, Unconjugated (TMAB-00216) at 1:200 overnight at 4°C, followed by conjugation to the SP Kit (Rabbit) and DAB staining.
12. Paraformaldehyde-fixed, paraffin embedded Rat Uterus; Antigen retrieval by boiling in sodium citrate buffer (pH6.0) for 15 min; Antibody incubation with beta-Actin Polyclonal Antibody, Unconjugated (TMAB-00216) at 1:200 overnight at 4°C, followed by conjugation to the SP Kit (Rabbit) and DAB staining.
13. Paraformaldehyde-fixed, paraffin embedded Human Uterus; Antigen retrieval by boiling in sodium citrate buffer (pH6.0) for 15 min; Antibody incubation with beta-Actin Polyclonal Antibody, Unconjugated (TMAB-00216) at 1:200 overnight at 4°C, followed by conjugation to the SP Kit (Rabbit) and DAB staining.
14. Paraformaldehyde-fixed, paraffin embedded Human Small Intestine; Antigen retrieval by boiling in sodium citrate buffer (pH6.0) for 15 min; Antibody incubation with beta-Actin Polyclonal Antibody, Unconjugated (TMAB-00216) at 1:200 overnight at 4°C, followed by conjugation to the SP Kit (Rabbit) and DAB staining.
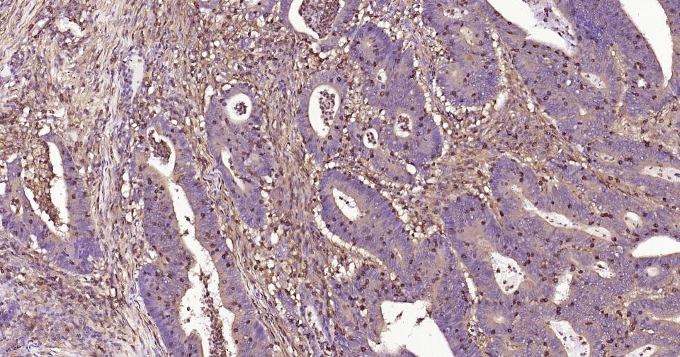
15. Paraformaldehyde-fixed, paraffin embedded Human Colon Cancer; Antigen retrieval by boiling in sodium citrate buffer (pH6.0) for 15 min; Antibody incubation with beta-Actin Polyclonal Antibody, Unconjugated (TMAB-00216) at 1:200 overnight at 4°C, followed by conjugation to the SP Kit (Rabbit) and DAB staining.
16. Paraformaldehyde-fixed, paraffin embedded Human Breast Cancer; Antigen retrieval by boiling in sodium citrate buffer (pH6.0) for 15 min; Antibody incubation with beta-Actin Polyclonal Antibody, Unconjugated (TMAB-00216) at 1:200 overnight at 4°C, followed by conjugation to the SP Kit (Rabbit) and DAB staining.
verifiedActivityverifiedActivityverifiedActivityverifiedActivityverifiedActivityverifiedActivityverifiedActivityverifiedActivityverifiedActivityverifiedActivityverifiedActivityverifiedActivityverifiedActivityverifiedActivityverifiedActivityverifiedActivity
应用FCMICC/IFIFIHC-FrIHC-PWB
推荐剂量
WB: 1:5000-50000; IHC-P: 1:200-1000; IHC-Fr: 1:200-1000; ICC/IF: 1:100-500; IF: 1:200-1000; FCM: 1μg/Test
抗体种类
Polyclonal
宿主来源Rabbit
亚细胞定位Cytoplasm, cytoskeleton.
组织特异性Ubiquitously expressed in all eukaryotic cells.
构建方式Polyclonal Antibody
纯化方式Protein A purified
性状Liquid
缓冲液0.01M TBS (pH7.4) with 1% BSA, 0.02% Proclin300 and 50% Glycerol.
浓度1 mg/mL
研究背景Actin is a highly conserved protein and an essential component of cell cytoskeleton and plays an important role in cytoplasmic streaming, cell shape determination, cell division, organelle movement and extension growth. Preferentially expressed in young and expanding tissues, floral organ primordia, developing seeds and emerging inflorescence. Antibodies against plant Actin are useful as loading controls for Western Blotting.
抗原信息
免疫原
Synthetic MAP peptide: human beta-Actin
抗原种属
Human
基因名称
ACTB
基因ID
蛋白名称
Actin, cytoplasmic 1
Uniprot ID
研究领域
Actin,Actin,Beta Actin
功能
Actins are highly conserved proteins that are involved in various types of cell motility and are ubiquitously expressed in all eukaryotic cells.
化学信息
分子量Theoretical: 42 kDa. Actual: 42 kDa.
储存&溶解度
储存方式Store at -20°C or -80°C for 12 months. Avoid repeated freeze-thaw cycles.
运输方式Shipping with blue ice.

计算器

  • 稀释 计算器
  • 配液 计算器

关键词

Related Tags: buy Beta-Actin Loading Control Polyclonal Antibody | purchase Beta-Actin Loading Control Polyclonal Antibody | Beta-Actin Loading Control Polyclonal Antibody cost | order Beta-Actin Loading Control Polyclonal Antibody | Beta-Actin Loading Control Polyclonal Antibody molecular weight