购物车
  • TargetMol
    您的购物车当前为空

Anti-YB1 Antibody (1K676)

Synonyms: ybx1, YBX 1, Y-box-binding protein 1, YBOX1_HUMAN, Y-box transcription factor, Y-box binding protein 1, YB 1, Q15905, p50, Nuclease-sensitive element-binding protein 1, Nuclease sensitive element binding protein 1, NSEP1, NSEP 1, MGC117250, MGC110976, MGC104858, MDR NF1, Enhancer factor I subunit A, EFI-A, DNA-binding protein B, DNA binding protein B, DBPB, CSDB, CSDA2, CCAAT-binding transcription factor I subunit A, CCAAT binding transcription factor I subunit A, CBF-A, BP 8
货号 TMAC-04310 一键复制产品信息
Rating icon 还可以
202603开学季活动

Anti-YB1 Antibody (1K676) 是一种 Rabbit 抗体,靶向 YB1。Anti-YB1 Antibody (1K676) 可用于 FCM,ICC/IF,IHC,IP,WB。

Anti-YB1 Antibody (1K676)

一键复制产品信息
Rating icon 还可以
202603开学季活动
货号 TMAC-04310

别名 ybx1, YBX 1, Y-box-binding protein 1, YBOX1_HUMAN, Y-box transcription factor, Y-box binding protein 1, YB 1, Q15905, p50, Nuclease-sensitive element-binding protein 1, Nuclease sensitive element binding protein 1, NSEP1, NSEP 1, MGC117250, MGC110976, MGC104858, MDR NF1, Enhancer factor I subunit A, EFI-A, DNA-binding protein B, DNA binding protein B, DBPB, CSDB, CSDA2, CCAAT-binding transcription factor I subunit A, CCAAT binding transcription factor I subunit A, CBF-A, BP 8

Anti-YB1 Antibody (1K676) 是一种 Rabbit 抗体,靶向 YB1。Anti-YB1 Antibody (1K676) 可用于 FCM,ICC/IF,IHC,IP,WB。

Anti-YB1 Antibody (1K676)
规格价格库存数量
50 μL
¥ 1,480
5日内发货
100 μL
¥ 2,485
5日内发货
库存状态实时更新,以官网显示为准,现货产品可直接加购物车下单
大包装 & 定制
加入购物车

TargetMol的所有产品仅用作科学研究或药证申报,不能被用于人体,我们不向个人提供产品和服务。请您遵守承诺用途,不得违反法律法规规定用于任何其他用途。

实验操作小课堂
常见问题解答
查看更多

资源下载:产品操作手册

产品介绍


生物活性
产品描述
Anti-YB1 Antibody (1K676) is a Rabbit antibody targeting YB1. Anti-YB1 Antibody (1K676) can be used in FCM,ICC/IF,IHC,IP,WB.
别名
ybx1, YBX 1, Y-box-binding protein 1, YBOX1_HUMAN, Y-box transcription factor, Y-box binding protein 1, YB 1, Q15905, p50, Nuclease-sensitive element-binding protein 1, Nuclease sensitive element binding protein 1, NSEP1, NSEP 1, MGC117250, MGC110976, MGC104858, MDR NF1, Enhancer factor I subunit A, EFI-A, DNA-binding protein B, DNA binding protein B, DBPB, CSDB, CSDA2, CCAAT-binding transcription factor I subunit A, CCAAT binding transcription factor I subunit A, CBF-A, BP 8
Ig Type
IgG
克隆号
1K676
反应种属
Human,Mouse,Rat
验证活性
1. Western blot analysis of YB1 on different lysates using anti-YB1 antibody at 1/1,000 dilution. Positive control: Lane 1: Hela, Lane 2: Jurkat.
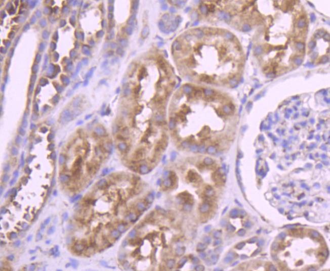
2. Immunohistochemical analysis of paraffin-embedded human kidney tissue using anti-YB1 antibody. Counter stained with hematoxylin.
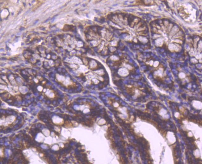
3. Immunohistochemical analysis of paraffin-embedded mouse colon tissue using anti-YB1 antibody. Counter stained with hematoxylin.
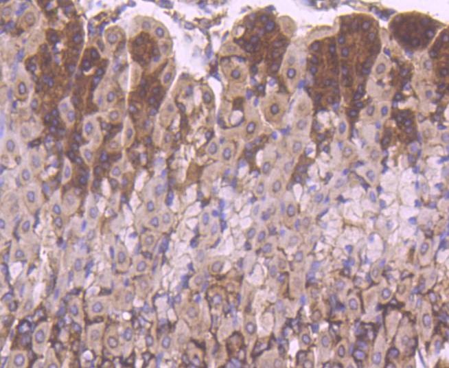
4. Immunohistochemical analysis of paraffin-embedded mouse stomach tissue using anti-YB1 antibody. Counter stained with hematoxylin.
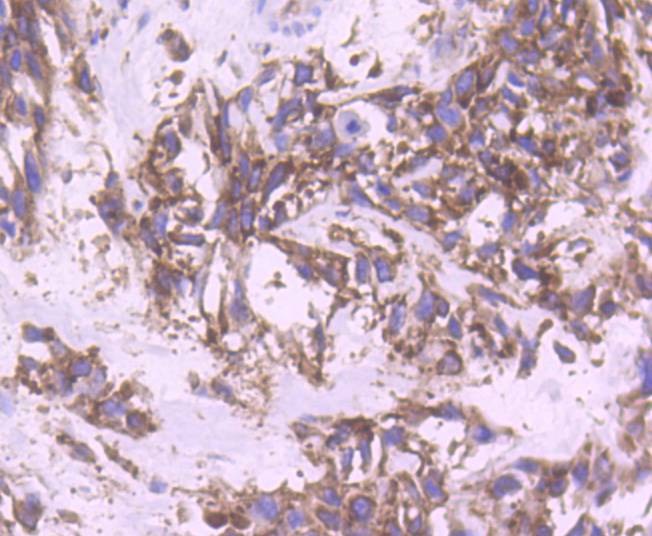
5. Immunohistochemical analysis of paraffin-embedded human breast carcinoma tissue using anti-YB1 antibody. Counter stained with hematoxylin.
6. ICC staining YB1 in Hela cells (green). The nuclear counter stain is DAPI (blue). Cells were fixed in paraformaldehyde, permeabilised with 0.25% Triton X100/PBS.
7. ICC staining YB1 in MCF-7 cells (green). The nuclear counter stain is DAPI (blue). Cells were fixed in paraformaldehyde, permeabilised with 0.25% Triton X100/PBS.
8. ICC staining YB1 in HepG2 cells (green). The nuclear counter stain is DAPI (blue). Cells were fixed in paraformaldehyde, permeabilised with 0.25% Triton X100/PBS.
9. Flow cytometric analysis of Hela cells with YB1 antibody at 1/50 dilution (red) compared with an unlabelled control (cells without incubation with primary antibody; black). Alexa Fluor 488-conjugated goat anti rabbit IgG was used as the secondary antibody.
verifiedActivityverifiedActivityverifiedActivityverifiedActivityverifiedActivityverifiedActivityverifiedActivityverifiedActivityverifiedActivity
应用FCMICC/IFIHCIPWB
推荐剂量
WB: 1:1000-5000; IHC: 1:50-200; ICC/IF: 1:100-500; FCM: 1:50-100
抗体种类
Monoclonal
宿主来源Rabbit
构建方式Recombinant Antibody
纯化方式ProA affinity purified
性状Liquid
缓冲液1*TBS (pH7.4), 1%BSA, 40%Glycerol. Preservative: 0.05% Sodium Azide.
研究背景Y-box binding protein YB-1 (also known as CCAAT-binding transcription factor, enhancer factor I subunit A and DNA-binding protein B) belongs to a family of multifunctional proteins which regulate both transcription and translation. Y-box proteins interact with a wide variety of nucleic acid structures to act as transcription factors and mRNA masking proteins. The modular structure of Y-box proteins includes a highly conserved N-terminal cold-shock domain (CSD, equivalent to the bacterial cold-shock proteins) and four basic C-terminal domains containing Arginine clusters and aromatic residues. YB-1 plays a role in cell proliferation as an activator of growth-associated gene expression. YB-1 is also a repressor of the cell death-associated gene FAS. YB-1 may play an important role in controlling cell survival by regulating the expression of cell growth-associated and death-associated genes.
偶联与修饰
偶联
Unconjugated
抗原信息
免疫原
Recombinant Protein
Uniprot ID
化学信息
分子量Theoretical: 50 kDa.
储存&溶解度
储存方式Store at -20°C or -80°C for 12 months. Avoid repeated freeze-thaw cycles.
运输方式Shipping with blue ice.

计算器

  • 稀释 计算器
  • 配液 计算器
Related Tags: buy Anti-YB1 Antibody (1K676) | purchase Anti-YB1 Antibody (1K676) | Anti-YB1 Antibody (1K676) cost | order Anti-YB1 Antibody (1K676) | Anti-YB1 Antibody (1K676) molecular weight