购物车
  • TargetMol
    您的购物车当前为空

Anti-XBP1 Antibody (8M292)

Synonyms: XBP2, XBP-1, XBP1, XBP 1, X-box-binding protein 1, luminal form, X-box-binding protein 1, cytoplasmic form, X-box-binding protein 1 in isoform 2, X box-binding protein-1, X box binding protein 2, TREB5, Tax responsive element binding protein 5
货号 TMAC-04296 一键复制产品信息
Rating icon 还可以

Anti-XBP1 Antibody (8M292) 是一种 Rabbit 抗体,靶向 XBP1。Anti-XBP1 Antibody (8M292) 可用于 FCM,ICC/IF,IHC,WB。

Anti-XBP1 Antibody (8M292)

一键复制产品信息
Rating icon 还可以
货号 TMAC-04296

别名 XBP2, XBP-1, XBP1, XBP 1, X-box-binding protein 1, luminal form, X-box-binding protein 1, cytoplasmic form, X-box-binding protein 1 in isoform 2, X box-binding protein-1, X box binding protein 2, TREB5, Tax responsive element binding protein 5

Anti-XBP1 Antibody (8M292) 是一种 Rabbit 抗体,靶向 XBP1。Anti-XBP1 Antibody (8M292) 可用于 FCM,ICC/IF,IHC,WB。

Anti-XBP1 Antibody (8M292)
规格价格库存数量
50 μL
¥ 1,495
5日内发货
100 μL
¥ 2,480
5日内发货
库存状态实时更新,以官网显示为准,现货产品可直接加购物车下单
大包装 & 定制
加入购物车
TargetMol的所有产品仅用作科学研究或药证申报,不能被用于人体,我们不向个人提供产品和服务。请您遵守承诺用途,不得违反法律法规规定用于任何其他用途。
实验操作小课堂
常见问题解答
查看更多

资源下载:产品操作手册

产品介绍


生物活性
产品描述
Anti-XBP1 Antibody (8M292) is a Rabbit antibody targeting XBP1. Anti-XBP1 Antibody (8M292) can be used in FCM,ICC/IF,IHC,WB.
别名XBP2, XBP-1, XBP1, XBP 1, X-box-binding protein 1, luminal form, X-box-binding protein 1, cytoplasmic form, X-box-binding protein 1 in isoform 2, X box-binding protein-1, X box binding protein 2, TREB5, Tax responsive element binding protein 5
Ig Type
IgG
克隆号
8M292
反应种属
Human
验证活性
1. Western blot analysis of XBP1 on different cell lysates using anti-XBP1 antibody at 1/1,000 dilution. Positive control: Lane 1: HepG2, Lane 2: 293T.
2. Immunohistochemical analysis of paraffin-embedded human colon cancer tissue using anti-XBP1 antibody. Counter stained with hematoxylin.
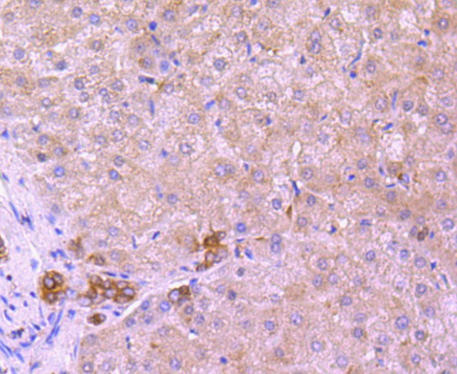
3. Immunohistochemical analysis of paraffin-embedded human liver tissue using anti-XBP1 antibody. Counter stained with hematoxylin.
4. ICC staining XBP1 in Hela cells (red). The nuclear counter stain is DAPI (blue). Cells were fixed in paraformaldehyde, permeabilised with 0.25% Triton X100/PBS.
5. ICC staining XBP1 in HepG2 cells (red). The nuclear counter stain is DAPI (blue). Cells were fixed in paraformaldehyde, permeabilised with 0.25% Triton X100/PBS.
6. ICC staining XBP1 in SW480 cells (red). The nuclear counter stain is DAPI (blue). Cells were fixed in paraformaldehyde, permeabilised with 0.25% Triton X100/PBS.
7. Flow cytometric analysis of 293T cells with XBP1 antibody at 1/50 dilution (red) compared with an unlabelled control (cells without incubation with primary antibody; black). Alexa Fluor 488-conjugated goat anti rabbit IgG was used as the secondary antibody.
verifiedActivityverifiedActivityverifiedActivityverifiedActivityverifiedActivityverifiedActivityverifiedActivity
应用FCMICC/IFIHCWB
推荐剂量
WB: 1:500-1000; IHC: 1:50-200; ICC/IF: 1:100-500; FCM: 1:50-100
抗体种类
Monoclonal
宿主来源Rabbit
构建方式Recombinant Antibody
纯化方式ProA affinity purified
性状Liquid
缓冲液1*TBS (pH7.4), 1%BSA, 40%Glycerol. Preservative: 0.05% Sodium Azide.
研究背景The X-box binding protein-1 (XBP-1 or hXBP-1), also designated tax-responsive element-binding protein 5 (TREB5) in mouse and human, or hepatocarcinogenesis-related transcription factor (HTF) in rat, belongs to the basic region/leucine zipper (bZIP) family of transcription factors. XBP-1 was first characterized as a protein that binds to the HLA-DRα promoter in B cells. XBP-1 recognizes the cAMP responsive element (CRE) in enhancers of human T cell leukemia virus and major histocompatibility complex class II genes and activates transcription of these genes. It is expressed at high levels in developing bone and its levels are modulated during osteoblast development, suggesting a role in regulation of expression of osteoblast-specific genes. In addition to binding to CRE sequences, XBP-1 has been shown to bind to TPA response elements (TREs).
偶联与修饰
偶联
Unconjugated
抗原信息
免疫原
Recombinant Protein
Uniprot ID
化学信息
分子量Theoretical: 40 kDa.
储存&溶解度
储存方式Store at -20°C or -80°C for 12 months. Avoid repeated freeze-thaw cycles.
运输方式Shipping with blue ice.

计算器

  • 稀释 计算器
  • 配液 计算器
Related Tags: buy Anti-XBP1 Antibody (8M292) | purchase Anti-XBP1 Antibody (8M292) | Anti-XBP1 Antibody (8M292) cost | order Anti-XBP1 Antibody (8M292) | Anti-XBP1 Antibody (8M292) molecular weight