购物车
  • TargetMol
    您的购物车当前为空

Anti-Wnt2b Antibody (5C251)

Synonyms: WNT2B, WNT13, Protein Wnt-2b, Protein Wnt-13
货号 TMAC-04287 一键复制产品信息
Rating icon 还可以
202603开学季活动

Anti-Wnt2b Antibody (5C251) 是一种 Rabbit 抗体,靶向 Wnt2b。Anti-Wnt2b Antibody (5C251) 可用于 FCM,ICC,IF,IHC,WB。

Anti-Wnt2b Antibody (5C251)

一键复制产品信息
Rating icon 还可以
202603开学季活动
货号 TMAC-04287

别名 WNT2B, WNT13, Protein Wnt-2b, Protein Wnt-13

Anti-Wnt2b Antibody (5C251) 是一种 Rabbit 抗体,靶向 Wnt2b。Anti-Wnt2b Antibody (5C251) 可用于 FCM,ICC,IF,IHC,WB。

Anti-Wnt2b Antibody (5C251)
规格价格库存数量
50 μL
¥ 1,490
5日内发货
100 μL
¥ 2,495
5日内发货
库存状态实时更新,以官网显示为准,现货产品可直接加购物车下单
大包装 & 定制
加入购物车

TargetMol的所有产品仅用作科学研究或药证申报,不能被用于人体,我们不向个人提供产品和服务。请您遵守承诺用途,不得违反法律法规规定用于任何其他用途。

实验操作小课堂
常见问题解答
查看更多

资源下载:产品操作手册

产品介绍


生物活性
产品描述
Anti-Wnt2b Antibody (5C251) is a Rabbit antibody targeting Wnt2b. Anti-Wnt2b Antibody (5C251) can be used in FCM,ICC,IF,IHC,WB.
别名
WNT2B, WNT13, Protein Wnt-2b, Protein Wnt-13
Ig Type
IgG
克隆号
5C251
反应种属
Human,Mouse,Rat
验证活性
1. Western blot analysis of Wnt2b on SiHa cell lysates using anti-Wnt2b at 1/500 dilution.
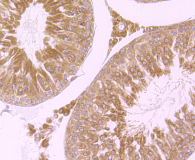
2. Immunohistochemical analysis of paraffin-embedded rat testis tissue using anti-Wnt2b antibody. Counter stained with hematoxylin.
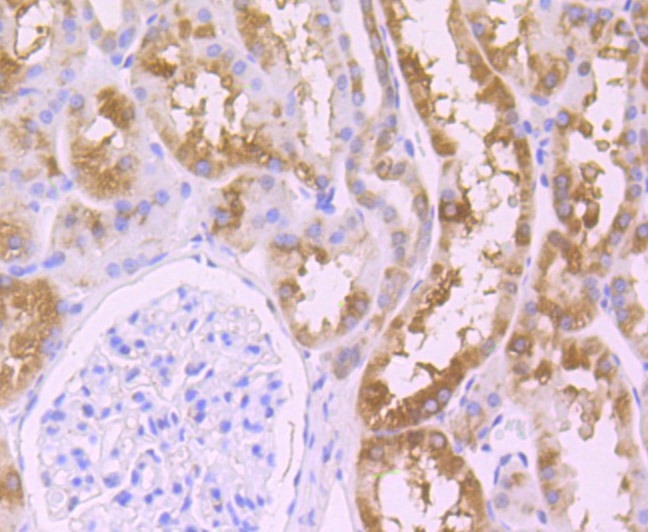
3. Immunohistochemical analysis of paraffin-embedded human kidney tissue using anti-Wnt2b antibody. Counter stained with hematoxylin.
4. Immunohistochemical analysis of paraffin-embedded mouse kidney tissue using anti-Wnt2b antibody. Counter stained with hematoxylin.
5. ICC staining Wnt2b in Hela cells (green). The nuclear counter stain is DAPI (blue). Cells were fixed in paraformaldehyde, permeabilised with 0.25% Triton X100/PBS.
6. ICC staining Wnt2b in LOVO cells (green). The nuclear counter stain is DAPI (blue). Cells were fixed in paraformaldehyde, permeabilised with 0.25% Triton X100/PBS.
7. ICC staining Wnt2b in SHSY-5Y cells (green). The nuclear counter stain is DAPI (blue). Cells were fixed in paraformaldehyde, permeabilised with 0.25% Triton X100/PBS.
8. Flow cytometric analysis of LOVO cells with Wnt2b antibody at 1/50 dilution (red) compared with an unlabelled control (cells without incubation with primary antibody; black). Alexa Fluor 488-conjugated goat anti-rabbit IgG was used as the secondary antibody.
verifiedActivityverifiedActivityverifiedActivityverifiedActivityverifiedActivityverifiedActivityverifiedActivityverifiedActivity
应用FCMICCIFIHCWB
推荐剂量
WB: 1:500-1000; IHC: 1:50-200; ICC: 1:100-500; FCM: 1:50-100
抗体种类
Monoclonal
宿主来源Rabbit
构建方式Recombinant Antibody
纯化方式ProA affinity purified
性状Liquid
缓冲液1*TBS (pH7.4), 1%BSA, 40%Glycerol. Preservative: 0.05% Sodium Azide.
研究背景This gene encodes a member of the wingless-type MMTV integration site (WNT) family of highly conserved, secreted signaling factors. WNT family members function in a variety of developmental processes including regulation of cell growth and differentiation and are characterized by a WNT-core domain. This gene may play a role in human development as well as carcinogenesis. Alternative splicing results in multiple transcript variants. Ligand for members of the frizzled family of seven transmembrane receptors. Functions in the canonical Wnt/beta-catenin signaling pathway. Plays a redundant role in embryonic lung development.
偶联与修饰
偶联
Unconjugated
抗原信息
免疫原
Recombinant Protein
Uniprot ID
化学信息
分子量Theoretical: 44 kDa.
储存&溶解度
储存方式Store at -20°C or -80°C for 12 months. Avoid repeated freeze-thaw cycles.
运输方式Shipping with blue ice.

计算器

  • 稀释 计算器
  • 配液 计算器
Related Tags: buy Anti-Wnt2b Antibody (5C251) | purchase Anti-Wnt2b Antibody (5C251) | Anti-Wnt2b Antibody (5C251) cost | order Anti-Wnt2b Antibody (5C251) | Anti-Wnt2b Antibody (5C251) molecular weight