购物车
  • TargetMol
    您的购物车当前为空

Anti-VPS35 Antibody (7F247)

Synonyms: VPS35, Vesicle protein sorting 35, Vacuolar protein sorting-associated protein 35, MEM3, Maternal-embryonic 3, hVPS35
货号 TMAC-04270 一键复制产品信息
Rating icon 还可以

Anti-VPS35 Antibody (7F247) 是一种 Rabbit 抗体,靶向 VPS35。Anti-VPS35 Antibody (7F247) 可用于 FCM,IHC,WB。

Anti-VPS35 Antibody (7F247)

一键复制产品信息
Rating icon 还可以
货号 TMAC-04270

别名 VPS35, Vesicle protein sorting 35, Vacuolar protein sorting-associated protein 35, MEM3, Maternal-embryonic 3, hVPS35

Anti-VPS35 Antibody (7F247) 是一种 Rabbit 抗体,靶向 VPS35。Anti-VPS35 Antibody (7F247) 可用于 FCM,IHC,WB。

Anti-VPS35 Antibody (7F247)
规格价格库存数量
50 μL
¥ 1,490
5日内发货
100 μL
¥ 2,495
5日内发货
库存状态实时更新,以官网显示为准,现货产品可直接加购物车下单
大包装 & 定制
加入购物车

TargetMol的所有产品仅用作科学研究或药证申报,不能被用于人体,我们不向个人提供产品和服务。请您遵守承诺用途,不得违反法律法规规定用于任何其他用途。

实验操作小课堂
常见问题解答
查看更多

资源下载:产品操作手册

产品介绍


生物活性
产品描述
Anti-VPS35 Antibody (7F247) is a Rabbit antibody targeting VPS35. Anti-VPS35 Antibody (7F247) can be used in FCM,IHC,WB.
别名
VPS35, Vesicle protein sorting 35, Vacuolar protein sorting-associated protein 35, MEM3, Maternal-embryonic 3, hVPS35
Ig Type
IgG
克隆号
7F247
反应种属
Human,Mouse
验证活性
1. Western blot analysis of VPS35 on different lysates using anti-VPS35 antibody at 1/500 dilution. Positive control: Lane 1: PC-3M, Lane 2: U937, Lane 3: SH-SY-5Y.
2. Immunohistochemical analysis of paraffin-embedded human colon cancer tissue using anti-VPS35 antibody. Counter stained with hematoxylin.
3. Immunohistochemical analysis of paraffin-embedded human kidney tissue using anti-VPS35 antibody. Counter stained with hematoxylin.
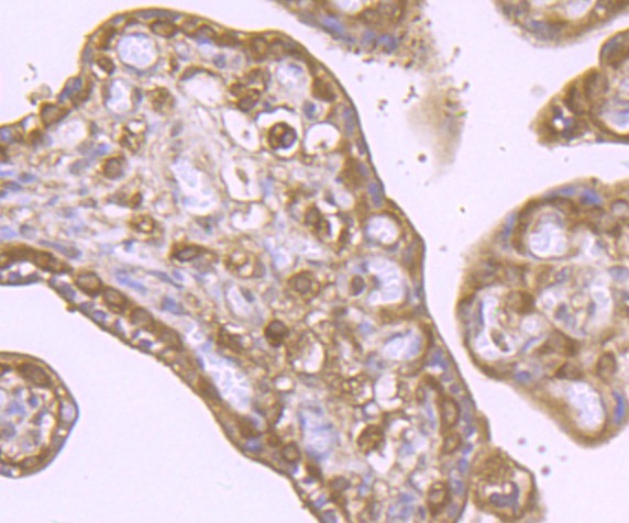
4. Immunohistochemical analysis of paraffin-embedded human placenta tissue using anti-VPS35 antibody. Counter stained with hematoxylin.
5. Immunohistochemical analysis of paraffin-embedded mouse colon tissue using anti-VPS35 antibody. Counter stained with hematoxylin.
6. Flow cytometric analysis of 293T cells with VPS35 antibody at 1/100 dilution (red) compared with an unlabelled control (cells without incubation with primary antibody; black). Alexa Fluor 488-conjugated goat anti-rabbit IgG was used as the secondary antibody.
verifiedActivityverifiedActivityverifiedActivityverifiedActivityverifiedActivityverifiedActivity
应用FCMIHCWB
推荐剂量
WB: 1:500-1000; IHC: 1:100-300; FCM: 1:50-100
抗体种类
Monoclonal
宿主来源Rabbit
构建方式Recombinant Antibody
纯化方式ProA affinity purified
性状Liquid
缓冲液1*TBS (pH7.4), 1%BSA, 40%Glycerol. Preservative: 0.05% Sodium Azide.
研究背景Vacuolar sorting proteins (VPSs) are required for proper trafficking of endocytic and biosynthetic proteins to the vacuole and play an important role in the budding process of cells. VPS35 (vacuolar protein sorting 35), also known as MEM3, is the 796 amino acid human homolog of the S. cerevisiae Vps35 protein. Localized to the cytoplasm and to the peripheral membrane, VPS35 is an essential component of the retromer complex which is involved in retrieval of lysosomal enzyme receptors from endosomes to the trans-Golgi network. VPS35 is expressed ubiquitously with highest expression in heart, placenta, brain, testis, kidney, colon, ovary and spleen. In addition to its crucial role in the retromer complex, VPS35 is part of a subcomplex that is required to regulate transcytosis of the polymeric immunoglobulin receptor from the basolateral to the apical surface of epithelial cells and hepatocytes.
偶联与修饰
偶联
Unconjugated
抗原信息
免疫原
Recombinant Protein
Uniprot ID
化学信息
分子量Theoretical: 91 kDa.
储存&溶解度
储存方式Store at -20°C or -80°C for 12 months. Avoid repeated freeze-thaw cycles.
运输方式Shipping with blue ice.

计算器

  • 稀释 计算器
  • 配液 计算器
Related Tags: buy Anti-VPS35 Antibody (7F247) | purchase Anti-VPS35 Antibody (7F247) | Anti-VPS35 Antibody (7F247) cost | order Anti-VPS35 Antibody (7F247) | Anti-VPS35 Antibody (7F247) molecular weight