购物车
  • 全部删除
  • TargetMol
    您的购物车当前为空

Anti-Vitamin D Receptor/VDR Polyclonal Antibody

Rating icon 还可以
产品编号 TMAB-01970
别名 vitamin D (1,25- dihydroxyvitamin D3) receptor, PPP1R163, NR1I1

Anti-Vitamin D Receptor/VDR Polyclonal Antibody 是一种 Rabbit 抗体,靶向 Vitamin D Receptor/VDR。Anti-Vitamin D Receptor/VDR Polyclonal Antibody 可用于 FCM,IF,IHC-Fr,IHC-P。

Anti-Vitamin D Receptor/VDR Polyclonal Antibody

Anti-Vitamin D Receptor/VDR Polyclonal Antibody

一键复制产品信息
Rating icon 还可以
产品编号 TMAB-01970 别名 vitamin D (1,25- dihydroxyvitamin D3) receptor, PPP1R163, NR1I1

Anti-Vitamin D Receptor/VDR Polyclonal Antibody 是一种 Rabbit 抗体,靶向 Vitamin D Receptor/VDR。Anti-Vitamin D Receptor/VDR Polyclonal Antibody 可用于 FCM,IF,IHC-Fr,IHC-P。

规格价格库存数量
50 μL
¥ 1,170
5日内发货
100 μL
¥ 1,975
5日内发货
200 μL
¥ 2,790
5日内发货
大包装 & 定制
加入购物车
TargetMol 的所有产品仅用作科学研究或药证申报,不能被用于人体,我们不向个人提供产品和服务。请您遵守承诺用途,不得违反法律法规规定用于任何其他用途。
实验操作小课堂
常见问题解答
查看更多
联系我们获取更多批次信息
资源下载

产品介绍

生物活性
产品描述
Anti-Vitamin D Receptor/VDR Polyclonal Antibody is a Rabbit antibody targeting Vitamin D Receptor/VDR. Anti-Vitamin D Receptor/VDR Polyclonal Antibody can be used in FCM,IF,IHC-Fr,IHC-P.
别名vitamin D (1,25- dihydroxyvitamin D3) receptor, PPP1R163, NR1I1
Ig Type
IgG
交叉反应
Human,Mouse (predicted:Rat,Dog,Pig,Cow,Horse,Rabbit,Sheep)
验证活性
1. Blank control: U937. Primary Antibody (green line): Rabbit Anti-Vitamin D Receptor antibody (TMAB-01970)
Dilution: 1 μg/Test;
Secondary Antibody: Goat anti-rabbit IgG-FITC
Dilution: 0.5 μg/Test.
Protocol
The cells were fixed with 4% PFA (10 min at room temperature) and then permeabilized with 90% ice-cold methanol for 20 min at-20°C. The cells were then incubated in 5% BSA to block non-specific protein-protein interactions for 30 min at room temperature. Cells stained with Primary Antibody for 30 min at room temperature. The secondary antibody used for 40 min at room temperature.
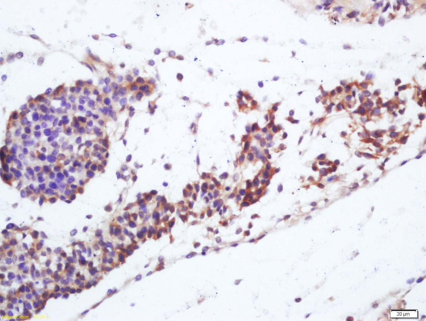
2. Tissue/cell: mouse embryo tissue; 4% Paraformaldehyde-fixed and paraffin-embedded;
Antigen retrieval: citrate buffer (0.01M, pH6.0), Boiling bathing for 15 min; Block endogenous peroxidase by 3% Hydrogen peroxide for 30 min; Blocking buffer (normal goat serum) at 37°C for 20 min;
Incubation: Anti-Vitamin D Receptor Polyclonal Antibody, Unconjugated (TMAB-01970) 1:200, overnight at 4°C, followed by conjugation to the secondary antibody and DAb staining.
verifiedActivityverifiedActivity
应用FCMIFIHC-FrIHC-P
推荐剂量
IHC-P: 1:100-500; IHC-Fr: 1:100-500; IF: 1:100-500; FCM: 1ug/Test
抗体种类
Polyclonal
宿主来源Rabbit
亚细胞定位Nucleus.
构建方式Polyclonal Antibody
纯化方式Protein A purified
性状Liquid
缓冲液0.01M TBS (pH7.4) with 1% BSA, 0.02% Proclin300 and 50% Glycerol.
浓度1 mg/mL
研究背景Nuclear hormone receptor. Transcription factor that mediates the action of vitamin D3 by controlling the expression of hormone sensitive genes. Regulates transcription of hormone sensitive genes via its association with the WINAC complex, a chromatin-remodeling complex. Recruited to promoters via its interaction with the WINAC complex subunit BAZ1B/WSTF, which mediates the interaction with acetylated histones, an essential step for VDR-promoter association. Plays a central role in calcium homeostasis.
抗原信息
免疫原
KLH conjugated synthetic peptide: human Vitamin D Receptor
抗原种属
Human
基因名称
VDR
基因ID
蛋白名称
Vitamin D3 receptor
Uniprot ID
研究领域
Vitamin D Receptor,Zinc Finger,Vitamin D Receptor,Nuclear hormone receptors
功能
Nuclear hormone receptor. Transcription factor that mediates the action of vitamin D3 by controlling the expression of hormone sensitive genes. Regulates transcription of hormone ensitive genes via its association with the WINAC complex, a chromatin-remodeling complex. Recruited to promoters via its interaction with the WINAC complex subunit BAZ1B/WSTF, which mediates the interaction with acetylated histones, an essential step for VDR-promoter association. Plays a central role in calcium homeostasis.
化学信息
分子量Theoretical: 47 kDa.
存储&运输
储存方式Store at -20°C or -80°C for 12 months. Avoid repeated freeze-thaw cycles.
运输方式Shipping with blue ice.

计算器

  • 稀释 计算器

关键词

评论列表

4个月前
5.0
Rating icon 很棒

评论内容

Related Tags: buy Anti-Vitamin D Receptor/VDR Polyclonal Antibody | purchase Anti-Vitamin D Receptor/VDR Polyclonal Antibody | Anti-Vitamin D Receptor/VDR Polyclonal Antibody cost | order Anti-Vitamin D Receptor/VDR Polyclonal Antibody | Anti-Vitamin D Receptor/VDR Polyclonal Antibody molecular weight