购物车
  • TargetMol
    您的购物车当前为空

Anti-Vitamin D Receptor/VDR Antibody (5D259)

Synonyms: vitamin D (1,25- dihydroxyvitamin D3) receptor, PPP1R163, NR1I1
货号 TMAC-04265 一键复制产品信息
Rating icon 还可以

Anti-Vitamin D Receptor/VDR Antibody (5D259) 是一种 Rabbit 抗体,靶向 Vitamin D Receptor/VDR。Anti-Vitamin D Receptor/VDR Antibody (5D259) 可用于 FCM,IHC,WB。

Anti-Vitamin D Receptor/VDR Antibody (5D259)

一键复制产品信息
Rating icon 还可以
货号 TMAC-04265

别名 vitamin D (1,25- dihydroxyvitamin D3) receptor, PPP1R163, NR1I1

Anti-Vitamin D Receptor/VDR Antibody (5D259) 是一种 Rabbit 抗体,靶向 Vitamin D Receptor/VDR。Anti-Vitamin D Receptor/VDR Antibody (5D259) 可用于 FCM,IHC,WB。

Anti-Vitamin D Receptor/VDR Antibody (5D259)
规格价格库存数量
50 μL
¥ 1,480
5日内发货
100 μL
¥ 2,480
5日内发货
库存状态实时更新,以官网显示为准,现货产品可直接加购物车下单
大包装 & 定制
加入购物车

TargetMol的所有产品仅用作科学研究或药证申报,不能被用于人体,我们不向个人提供产品和服务。请您遵守承诺用途,不得违反法律法规规定用于任何其他用途。

实验操作小课堂
常见问题解答
查看更多

资源下载:产品操作手册

产品介绍


生物活性
产品描述
Anti-Vitamin D Receptor/VDR Antibody (5D259) is a Rabbit antibody targeting Vitamin D Receptor/VDR. Anti-Vitamin D Receptor/VDR Antibody (5D259) can be used in FCM,IHC,WB.
别名
vitamin D (1,25- dihydroxyvitamin D3) receptor, PPP1R163, NR1I1
Ig Type
IgG
克隆号
5D259
反应种属
Human,Mouse,Rat
验证活性
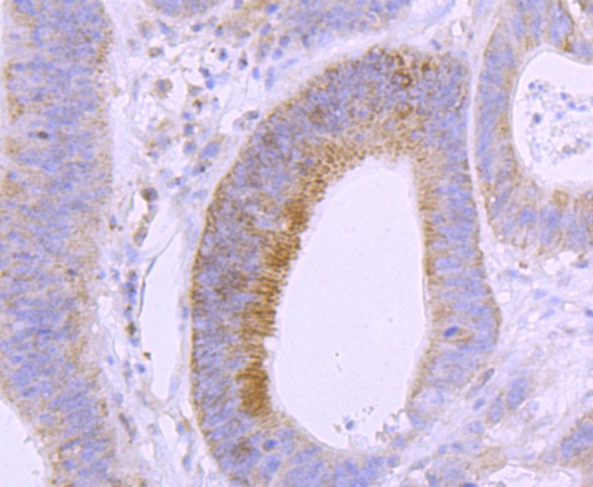
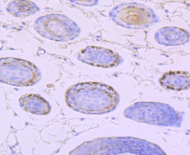
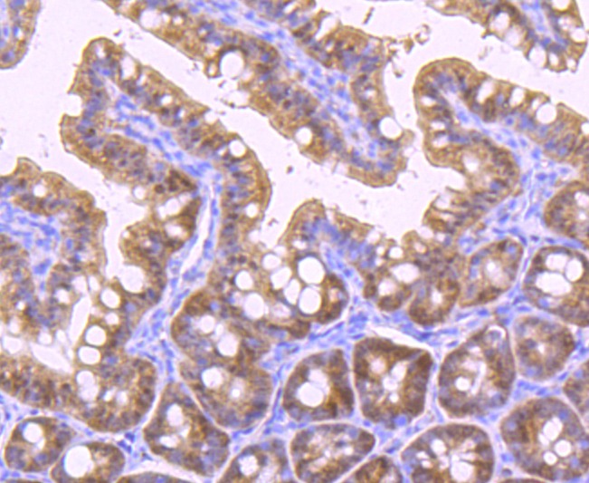
1. Immunohistochemical analysis of paraffin-embedded human colon cancer tissue using anti- Vitamin D Receptor antibody. Counter stained with hematoxylin.
2. Immunohistochemical analysis of paraffin-embedded mouse colon tissue using anti- Vitamin D Receptor antibody. Counter stained with hematoxylin.
3. Immunohistochemical analysis of paraffin-embedded mouse skin tissue using anti- Vitamin D Receptor antibody. Counter stained with hematoxylin.
4. Flow cytometric analysis of Hela cells with Vitamin D Receptor antibody at 1/50 dilution (red) compared with an unlabelled control (cells without incubation with primary antibody; black). Alexa Fluor 488-conjugated goat anti rabbit IgG was used as the secondary antibody.
verifiedActivityverifiedActivityverifiedActivityverifiedActivity
应用FCMIHCWB
推荐剂量
WB: 1:500-1000; IHC: 1:50-200; FCM: 1:50-100
抗体种类
Monoclonal
宿主来源Rabbit
构建方式Recombinant Antibody
纯化方式ProA affinity purified
性状Liquid
缓冲液1*TBS (pH7.4), 1%BSA, 40%Glycerol. Preservative: 0.05% Sodium Azide.
研究背景he active metabolite of vitamin D modulates the expression of a wide variety of genes in a developmentally specific manner. This secosteroid hormone can up- or downregulate the expression of genes involved in a diverse array of responses such as proliferation, differentiation and calcium homeostasis. 1,25-(OH)2-vitamin D3 exerts its effects through interaction with the vitamin D receptor (VDR), a member of the superfamily of hormone-activated nuclear receptors. In its ligand-bound state, the VDR forms heterodimers with the 9-cis retinoic acid receptor, RXR, and affects gene expression by binding specific DNA sequences known as hormone response elements, or HREs. In addition to regulating the above-mentioned cellular responses, 1,25-(OH)2-vitamin D3 exhibits antiproliferative properties in osteosarcoma, melanoma, colon carcinoma and breast carcinoma cells.
偶联与修饰
偶联
Unconjugated
抗原信息
免疫原
Recombinant Protein
Uniprot ID
化学信息
分子量Theoretical: 48 kDa.
储存&溶解度
储存方式Store at -20°C or -80°C for 12 months. Avoid repeated freeze-thaw cycles.
运输方式Shipping with blue ice.

计算器

  • 稀释 计算器
  • 配液 计算器
Related Tags: buy Anti-Vitamin D Receptor/VDR Antibody (5D259) | purchase Anti-Vitamin D Receptor/VDR Antibody (5D259) | Anti-Vitamin D Receptor/VDR Antibody (5D259) cost | order Anti-Vitamin D Receptor/VDR Antibody (5D259) | Anti-Vitamin D Receptor/VDR Antibody (5D259) molecular weight