购物车
  • TargetMol
    您的购物车当前为空

Anti-villin1 Antibody (7N900)

Synonyms: Villin-1, VILI_HUMAN, VIL1, VIL, OTTHUMP00000164145, D2S1471
货号 TMAC-04254 一键复制产品信息
Rating icon 还可以

Anti-villin1 Antibody (7N900) 是一种 Rabbit 抗体,靶向 villin1。Anti-villin1 Antibody (7N900) 可用于 FCM,ICC,IHC,WB。

Anti-villin1 Antibody (7N900)

一键复制产品信息
Rating icon 还可以
货号 TMAC-04254

别名 Villin-1, VILI_HUMAN, VIL1, VIL, OTTHUMP00000164145, D2S1471

Anti-villin1 Antibody (7N900) 是一种 Rabbit 抗体,靶向 villin1。Anti-villin1 Antibody (7N900) 可用于 FCM,ICC,IHC,WB。

Anti-villin1 Antibody (7N900)
规格价格库存数量
50 μL
¥ 1,490
5日内发货
100 μL
¥ 2,480
5日内发货
库存状态实时更新,以官网显示为准,现货产品可直接加购物车下单
大包装 & 定制
加入购物车
TargetMol的所有产品仅用作科学研究或药证申报,不能被用于人体,我们不向个人提供产品和服务。请您遵守承诺用途,不得违反法律法规规定用于任何其他用途。
实验操作小课堂
常见问题解答
查看更多

资源下载:产品操作手册

产品介绍


生物活性
产品描述
Anti-villin1 Antibody (7N900) is a Rabbit antibody targeting villin1. Anti-villin1 Antibody (7N900) can be used in FCM,ICC,IHC,WB.
别名Villin-1, VILI_HUMAN, VIL1, VIL, OTTHUMP00000164145, D2S1471
Ig Type
IgG
克隆号
7N900
反应种属
Human,Mouse,Rat
验证活性
1. Western blot analysis of Villin1 on different tissue lysates using anti-Villin1 antibody at 1/500 dilution. Positive control: Lane 1: Mouse colon, Lane 2: Human small intestine, Lane 3: Human colonm Lane 4: Rat kidney.
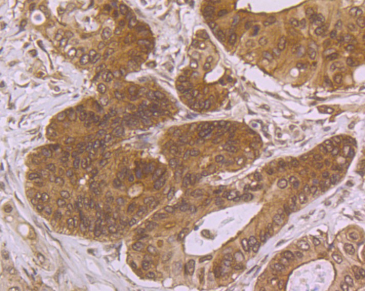
2. Immunohistochemical analysis of paraffin-embedded human colon cancer tissue using anti-Villin1 antibody. Counter stained with hematoxylin.
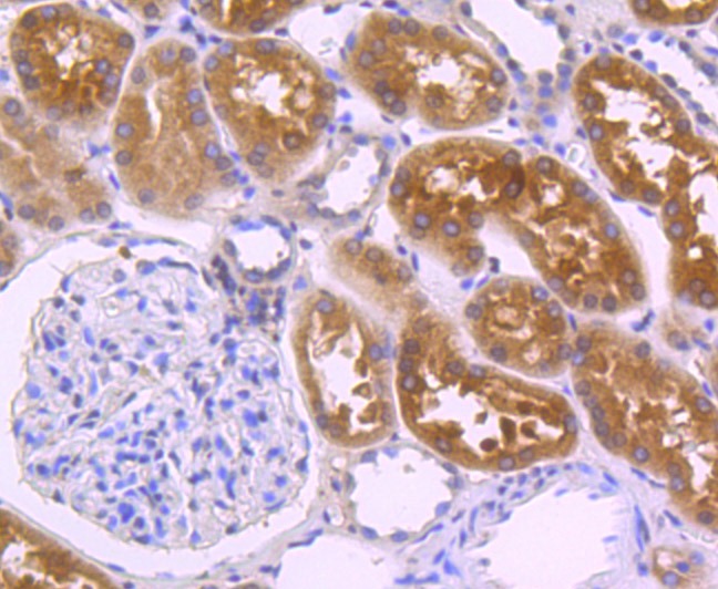
3. Immunohistochemical analysis of paraffin-embedded human kidney tissue using anti-Villin1 antibody. Counter stained with hematoxylin.
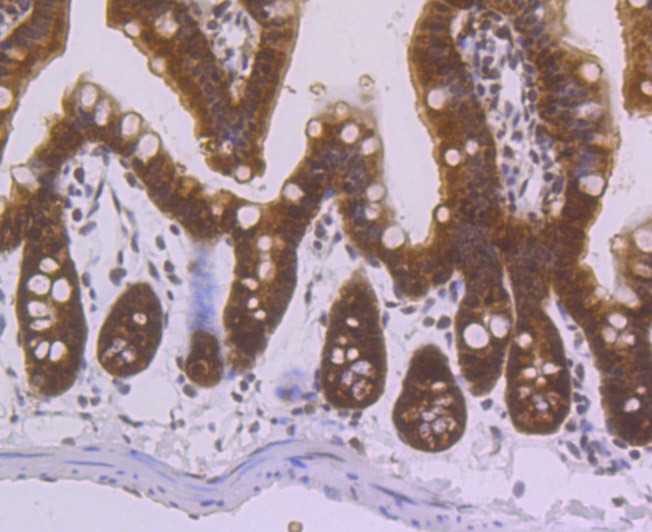
4. Immunohistochemical analysis of paraffin-embedded mouse colon tissue using anti-Villin1 antibody. Counter stained with hematoxylin.
5. ICC staining Villin1 in Hela cells (green). The nuclear counter stain is DAPI (blue). Cells were fixed in paraformaldehyde, permeabilised with 0.25% Triton X100/PBS.
6. ICC staining Villin1 in HepG2 cells (green). The nuclear counter stain is DAPI (blue). Cells were fixed in paraformaldehyde, permeabilised with 0.25% Triton X100/PBS.
7. ICC staining Villin1 in LOVO cells (green). The nuclear counter stain is DAPI (blue). Cells were fixed in paraformaldehyde, permeabilised with 0.25% Triton X100/PBS.
8. Flow cytometric analysis of Hela cells with Villin1 antibody at 1/100 dilution (red) compared with an unlabelled control (cells without incubation with primary antibody; black). Alexa Fluor 488-conjugated goat anti rabbit IgG was used as the secondary antibody.
verifiedActivityverifiedActivityverifiedActivityverifiedActivityverifiedActivityverifiedActivityverifiedActivityverifiedActivity
应用FCMICCIHCWB
推荐剂量
WB: 1:500-2000; IHC: 1:50-200; ICC: 1:500-2000; FCM: 1:50-100
抗体种类
Monoclonal
宿主来源Rabbit
构建方式Recombinant Antibody
纯化方式ProA affinity purified
性状Liquid
缓冲液1*TBS (pH7.4), 1%BSA, 40%Glycerol. Preservative: 0.05% Sodium Azide.
研究背景Caldesmon, Filamin 1, Nebulin and Villin are differentially expressed and regulated Actin binding proteins. Both muscular (CDh) and non-muscular (CDl) forms of Caldesmon have been identified and each has been shown to bind to Actin as well as to calmodulin and myosin. CDh is expressed predominantly on thin filaments in smooth muscle, whereas CDl is widely expressed in non-muscle tissues and cells. Filamin 1, which is ubiquitously expressed and exists as a homodimer, functions to crosslink Actin to filaments. Nebulin is a large filamentous protein specific to muscle tissue that may function as a ruler for filament length. Several isoforms of Nebulin are produced by alternative exon usage. Villin is Ca2+-regulated and is the major structural component of the brush border of absorptive cells.
偶联与修饰
偶联
Unconjugated
抗原信息
免疫原
Recombinant Protein
Uniprot ID
化学信息
分子量Theoretical: 92/46 kDa.
储存&溶解度
储存方式Store at -20°C or -80°C for 12 months. Avoid repeated freeze-thaw cycles.
运输方式Shipping with blue ice.

计算器

  • 稀释 计算器
  • 配液 计算器
Related Tags: buy Anti-villin1 Antibody (7N900) | purchase Anti-villin1 Antibody (7N900) | Anti-villin1 Antibody (7N900) cost | order Anti-villin1 Antibody (7N900) | Anti-villin1 Antibody (7N900) molecular weight