购物车
  • TargetMol
    您的购物车当前为空

Anti-VEGFC Polyclonal Antibody

Synonyms: 血管内皮生长因子, VRP, VEGF-C, vascular endothelial growth factor C, LMPH1D, Flt4-L
货号 TMAB-01954 一键复制产品信息
Rating icon 还可以
202603开学季活动

Anti-VEGFC Polyclonal Antibody 是一种 Rabbit 抗体,靶向 VEGFC。Anti-VEGFC Polyclonal Antibody 可用于 FCM,IF,IHC-Fr,IHC-P,WB。

Anti-VEGFC Polyclonal Antibody

一键复制产品信息
Rating icon 还可以
202603开学季活动
货号 TMAB-01954

别名 血管内皮生长因子, VRP, VEGF-C, vascular endothelial growth factor C, LMPH1D, Flt4-L

Anti-VEGFC Polyclonal Antibody 是一种 Rabbit 抗体,靶向 VEGFC。Anti-VEGFC Polyclonal Antibody 可用于 FCM,IF,IHC-Fr,IHC-P,WB。

Anti-VEGFC Polyclonal Antibody
规格价格库存数量
50 μL
¥ 1,165
5日内发货
100 μL
¥ 1,970
5日内发货
200 μL
¥ 2,790
5日内发货
库存状态实时更新,以官网显示为准,现货产品可直接加购物车下单
大包装 & 定制
加入购物车

TargetMol的所有产品仅用作科学研究或药证申报,不能被用于人体,我们不向个人提供产品和服务。请您遵守承诺用途,不得违反法律法规规定用于任何其他用途。

实验操作小课堂
常见问题解答
查看更多

资源下载:产品操作手册

产品介绍


生物活性
产品描述
Anti-VEGFC Polyclonal Antibody is a Rabbit antibody targeting VEGFC. Anti-VEGFC Polyclonal Antibody can be used in FCM,IF,IHC-Fr,IHC-P,WB.
别名
血管内皮生长因子, VRP, VEGF-C, vascular endothelial growth factor C, LMPH1D, Flt4-L
Ig Type
IgG
反应种属
Human,Mouse,Rat
验证活性
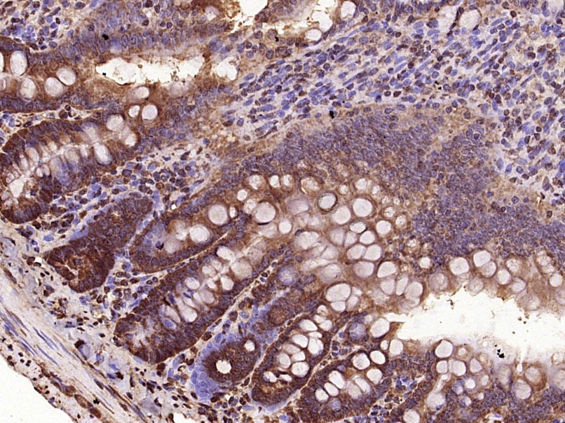
1. Paraformaldehyde-fixed, paraffin embedded (Rat small intestine); Antigen retrieval by microwave in sodium citrate buffer (pH6.0); Block endogenous peroxidase by 3% hydrogen peroxide for 30 minutes; Blocking buffer (3% BSA) at RT for 30 min; Antibody incubation with (VEGF-C) Polyclonal Antibody, Unconjugated (TMAB-01954) at 1:400 overnight at 4°C, followed by conjugation to the secondary antibody (labeled with HRP) and DAB staining.
2. Blank control: HepG2. Primary Antibody (green line): Rabbit Anti-VEGF-C antibody (TMAB-01954)
Dilution: 1 μg/10^6 cells;
Isotype Control Antibody (orange line): Rabbit IgG.
Secondary Antibody: Goat anti-rabbit IgG-AF647
Dilution: 1 μg/test.
Protocol
The cells were fixed with 4% PFA (10 min at room temperature) and then permeabilized with 0.1% PBST for 20 min at room temperature. The cells were then incubated in 5% BSA to block non-specific protein-protein interactions for 30 min at room temperature. Cells stained with Primary Antibody for 30 min at room temperature. The secondary antibody used for 40 min at room temperature.
3. Blank control: HepG2. Primary Antibody (green line): Rabbit Anti-VEGF-C antibody (TMAB-01954) Dilution: 1 μg/10^6 cells; Isotype Control Antibody (orange line): Rabbit IgG. Secondary Antibody: Goat anti-rabbit IgG-AF647 Dilution: 1 μg/test. Protocol The cells were fixed with 4% PFA (10 min at room temperature) and then permeabilized with 0.1% PBST for 20 min at room temperature. The cells were then incubated in 5% BSA to block non-specific protein-protein interactions for 30 min at room temperature. Cells stained with Primary Antibody for 30 min at room temperature. The secondary antibody used for 40 min at room temperature.
4. Sample:
Lane 1: LympHnode (Mouse) Lysate at 40 μg
Lane 2: Kidney (Mouse) Lysate at 40 μg
Lane 3: Thymus (Rat) Lysate at 40 μg
Lane 4: LympHnode (Rat) Lysate at 40 μg
Lane 5: Kidney (Rat) Lysate at 40 μg
Primary:
Anti-VEGF-C (TMAB-01954) at 1/1000 dilution
Secondary: IRDye800CW Goat Anti-Rabbit IgG at 1/20000 dilution
Predicted band size: 46 kDa
Observed band size: 46 kDa
verifiedActivityverifiedActivityverifiedActivityverifiedActivity
应用FCMIFIHC-FrIHC-PWB
推荐剂量
WB: 1:500-2000; IHC-P: 1:100-500; IHC-Fr: 1:100-500; IF: 1:100-500; FCM: 1ug/Test
抗体种类
Polyclonal
宿主来源Rabbit
亚细胞定位Secreted.
组织特异性Spleen, lymph node, thymus, appendix, bone marrow, heart, placenta, ovary, skeletal muscle, prostate, testis, colon and small intestine and fetal liver, lung and kidney, but not in peripheral blood lymphocyte.
构建方式Polyclonal Antibody
纯化方式Protein A purified
性状Liquid
缓冲液0.01M TBS (pH7.4) with 1% BSA, 0.02% Proclin300 and 50% Glycerol.
浓度1 mg/mL
研究背景Vascular endothelial growth factors (VEGFs), also known as vasculotropins, are a family of closely related growth factors having a conserved pattern of eight cysteine residues and sharing common VEGF receptors. VEGFs stimulate the proliferation of endothelial cells, induce angiogenesis, promote cell migration, increase vascular permeability, and inhibit apoptosis. The mitogenic activity of VEGFs appears to be mediated by specific VEGF receptors. The target cell specificity of VEGF is restricted to vascular endothelial cells. Vascular Endothelial Growth Factor C (VEGFC) is a member of the VEGF subfamily of PDGF-related growth factors. It is the ligand for Flt4 (VEGFR3) and KDR (VEGFR2). VEGFC binds Flt4 and induces tyrosine autophosphorylation of VEGFR3 and VEGFR2. VEGFC also stimulates the migration of bovine capillary endothelial cells in collagen gel. It is a specific growth factor for the lymphatic vascular system and mediates lymphangiogenesis. VEGFC is abundantly expressed in heart and skeletal muscle. Other tissues such as lung and kidney also express VEGFC.
抗原信息
免疫原
KLH conjugated synthetic peptide: human VEGF-C
抗原种属
Human
基因名称
VEGFC
基因ID
蛋白名称
Vascular endothelial growth factor C
Uniprot ID
研究领域
VEGF,Angiogenic growth factors,VEGF,Neurogenesis,VEGF
化学信息
分子量Theoretical: 46 kDa. Actual: 46 kDa.
储存&溶解度
储存方式Store at -20°C or -80°C for 12 months. Avoid repeated freeze-thaw cycles.
运输方式Shipping with blue ice.

计算器

  • 稀释 计算器
  • 配液 计算器
Related Tags: buy Anti-VEGFC Polyclonal Antibody | purchase Anti-VEGFC Polyclonal Antibody | Anti-VEGFC Polyclonal Antibody cost | order Anti-VEGFC Polyclonal Antibody | Anti-VEGFC Polyclonal Antibody molecular weight