购物车
  • TargetMol
    您的购物车当前为空

Anti-VDB Antibody (2T657)

Synonyms: Vitamin D-binding protein, VDB, Group-specific component, Gc-globulin, Gc, DBP
货号 TMAC-04264 一键复制产品信息
Rating icon 还可以

Anti-VDB Antibody (2T657) 是一种 Rabbit 抗体,靶向 VDB。Anti-VDB Antibody (2T657) 可用于 FCM,ICC/IF,IHC,WB。

Anti-VDB Antibody (2T657)

一键复制产品信息
Rating icon 还可以
货号 TMAC-04264

别名 Vitamin D-binding protein, VDB, Group-specific component, Gc-globulin, Gc, DBP

Anti-VDB Antibody (2T657) 是一种 Rabbit 抗体,靶向 VDB。Anti-VDB Antibody (2T657) 可用于 FCM,ICC/IF,IHC,WB。

Anti-VDB Antibody (2T657)
规格价格库存数量
50 μL
¥ 1,490
5日内发货
100 μL
¥ 2,490
5日内发货
库存状态实时更新,以官网显示为准,现货产品可直接加购物车下单
大包装 & 定制
加入购物车
TargetMol的所有产品仅用作科学研究或药证申报,不能被用于人体,我们不向个人提供产品和服务。请您遵守承诺用途,不得违反法律法规规定用于任何其他用途。
实验操作小课堂
常见问题解答
查看更多

资源下载:产品操作手册

产品介绍


生物活性
产品描述
Anti-VDB Antibody (2T657) is a Rabbit antibody targeting VDB. Anti-VDB Antibody (2T657) can be used in FCM,ICC/IF,IHC,WB.
别名Vitamin D-binding protein, VDB, Group-specific component, Gc-globulin, Gc, DBP
Ig Type
IgG
克隆号
2T657
反应种属
Human
验证活性
1. Western blot analysis of DBP on human lung lysates using anti- DBP antibody at 1/1,000 dilution.
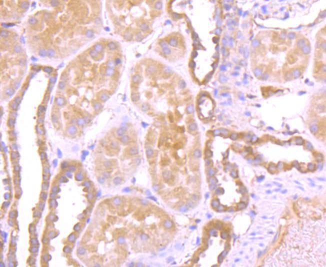
2. Immunohistochemical analysis of paraffin-embedded human kidney tissue using anti- DBP antibody. Counter stained with hematoxylin.
3. ICC staining DBP in Hela cells (red). The nuclear counter stain is DAPI (blue). Cells were fixed in paraformaldehyde, permeabilised with 0.25% Triton X100/PBS.
4. ICC staining DBP in HepG2 cells (red). The nuclear counter stain is DAPI (blue). Cells were fixed in paraformaldehyde, permeabilised with 0.25% Triton X100/PBS.
5. ICC staining DBP in SKOV-3 cells (red). The nuclear counter stain is DAPI (blue). Cells were fixed in paraformaldehyde, permeabilised with 0.25% Triton X100/PBS.
6. Flow cytometric analysis of HepG2 cells with DBP antibody at 1/50 dilution (red) compared with an unlabelled control (cells without incubation with primary antibody; black). Alexa Fluor 488-conjugated goat anti rabbit IgG was used as the secondary antibody.
verifiedActivityverifiedActivityverifiedActivityverifiedActivityverifiedActivityverifiedActivity
应用FCMICC/IFIHCWB
推荐剂量
WB: 1:1000-2000; IHC: 1:50-200; ICC/IF: 1:50-200; FCM: 1:50-100
抗体种类
Monoclonal
宿主来源Rabbit
构建方式Recombinant Antibody
纯化方式ProA affinity purified
性状Liquid
缓冲液1*TBS (pH7.4), 1%BSA, 40%Glycerol. Preservative: 0.05% Sodium Azide.
研究背景Vitamin D-binding protein (DBP) is a multi-functional serum protein that binds to the plasma membranes of numerous cell types and mediates a variety of cellular functions. The locus of the DBP protein (also known as group-specific component protein or GC) is located at human chromosome 4q13.3. DBP functions in organ-specific transportation of vitamin D and its metabolites to the various target organs of the vitamin D endocrine system. In addition, DBP has immunomodulatory properties and is able to bind to the surface of leukocytes. DBP binds to the plasma membrane through a chondroitin sulfate proteoglycan. DBP serves as a co-chemotactic factor for C5a to enhance the chemotactic activity of C5a. DBP can also bind to globular Actin with high affinity and is involved in the clearance of Actin from the blood. DBP plays an important role in osteoclast differentiation. The diverse cellular functions of DBP require its cell surface binding ability to mediate different biological processes.
偶联与修饰
偶联
Unconjugated
抗原信息
免疫原
Recombinant Protein
Uniprot ID
化学信息
分子量Theoretical: 53 kDa.
储存&溶解度
储存方式Store at -20°C or -80°C for 12 months. Avoid repeated freeze-thaw cycles.
运输方式Shipping with blue ice.

计算器

  • 稀释 计算器
  • 配液 计算器
Related Tags: buy Anti-VDB Antibody (2T657) | purchase Anti-VDB Antibody (2T657) | Anti-VDB Antibody (2T657) cost | order Anti-VDB Antibody (2T657) | Anti-VDB Antibody (2T657) molecular weight