购物车
  • TargetMol
    您的购物车当前为空

Anti-VAMP8 Antibody (4K35)

Synonyms: Vesicle-associated membrane protein 8, Vesicle associated membrane protein 8, VAMP8_HUMAN, VAMP 8, Endobrevin, EDB
货号 TMAC-04218 一键复制产品信息
Rating icon 还可以

Anti-VAMP8 Antibody (4K35) 是一种 Rabbit 抗体,靶向 VAMP8。Anti-VAMP8 Antibody (4K35) 可用于 FCM,ICC/IF,IHC,IP,WB。

Anti-VAMP8 Antibody (4K35)

一键复制产品信息
Rating icon 还可以
货号 TMAC-04218

别名 Vesicle-associated membrane protein 8, Vesicle associated membrane protein 8, VAMP8_HUMAN, VAMP 8, Endobrevin, EDB

Anti-VAMP8 Antibody (4K35) 是一种 Rabbit 抗体,靶向 VAMP8。Anti-VAMP8 Antibody (4K35) 可用于 FCM,ICC/IF,IHC,IP,WB。

Anti-VAMP8 Antibody (4K35)
规格价格库存数量
50 μL
¥ 1,480
5日内发货
100 μL
¥ 2,485
5日内发货
库存状态实时更新,以官网显示为准,现货产品可直接加购物车下单
大包装 & 定制
加入购物车
TargetMol的所有产品仅用作科学研究或药证申报,不能被用于人体,我们不向个人提供产品和服务。请您遵守承诺用途,不得违反法律法规规定用于任何其他用途。
实验操作小课堂
常见问题解答
查看更多

资源下载:产品操作手册

产品介绍


生物活性
产品描述
Anti-VAMP8 Antibody (4K35) is a Rabbit antibody targeting VAMP8. Anti-VAMP8 Antibody (4K35) can be used in FCM,ICC/IF,IHC,IP,WB.
别名Vesicle-associated membrane protein 8, Vesicle associated membrane protein 8, VAMP8_HUMAN, VAMP 8, Endobrevin, EDB
Ig Type
IgG
克隆号
4K35
反应种属
Human,Mouse,Rat
验证活性
1. Western blot analysis of VAMP8 on different lysates using anti-VAMP8 antibody at 1/1,000 dilution. Positive control: Lane 1: Hela, Lane 2: Mouse kidney.
2. Immunohistochemical analysis of paraffin-embedded human kidney tissue using anti-VAMP8 antibody. Counter stained with hematoxylin.
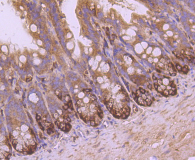
3. Immunohistochemical analysis of paraffin-embedded mouse colon tissue using anti-VAMP8 antibody. Counter stained with hematoxylin.
4. Immunohistochemical analysis of paraffin-embedded mouse brain tissue using anti-VAMP8 antibody. Counter stained with hematoxylin.
5. ICC staining VAMP8 in Hela cells (green). The nuclear counter stain is DAPI (blue). Cells were fixed in paraformaldehyde, permeabilised with 0.25% Triton X100/PBS.
6. ICC staining VAMP8 in SW480 cells (green). The nuclear counter stain is DAPI (blue). Cells were fixed in paraformaldehyde, permeabilised with 0.25% Triton X100/PBS.
7. ICC staining VAMP8 in 293T cells (green). The nuclear counter stain is DAPI (blue). Cells were fixed in paraformaldehyde, permeabilised with 0.25% Triton X100/PBS.
8. Flow cytometric analysis of Hela cells with VAMP8 antibody at 1/50 dilution (red) compared with an unlabelled control (cells without incubation with primary antibody; black). Alexa Fluor 488-conjugated goat anti rabbit IgG was used as the secondary antibody.
verifiedActivityverifiedActivityverifiedActivityverifiedActivityverifiedActivityverifiedActivityverifiedActivityverifiedActivity
应用FCMICC/IFIHCIPWB
推荐剂量
WB: 1:1000-2000; IHC: 1:50-200; ICC/IF: 1:50-100; FCM: 1:50-100
抗体种类
Monoclonal
宿主来源Rabbit
构建方式Recombinant Antibody
纯化方式ProA affinity purified
性状Liquid
缓冲液1*TBS (pH7.4), 1%BSA, 40%Glycerol. Preservative: 0.05% Sodium Azide.
研究背景Syntaxins were originally thought to be docking proteins, but have more recently been categorized as anchoring proteins that anchor themselves to the cytoplasmic surfaces of cellular membranes. Syntaxins bind to various proteins involved in exocytosis, including VAMPs (vesicle-associated membrane proteins), NSF (N-ethylmaleimide-sensitive factor), SNAPs (soluble NSF attachment proteins) and Synaptotagmin. Endobrevin, also designated VAMP-8 or ED, is a 100 amino acid single-pass type IV membrane protein that belongs to the synaptobrevin family. Similar in sequence to the synaptobrevins, endobrevin is abundantly expressed in kidney, moderately expressed in heart and spleen, and slightly expressed in brain, thymus and liver. Endobrevin interacts specifically with the SNAPs, most likely through an endobrevin-containing SNARE complex.
偶联与修饰
偶联
Unconjugated
抗原信息
免疫原
Recombinant Protein
Uniprot ID
化学信息
分子量Theoretical: 11 kDa.
储存&溶解度
储存方式Store at -20°C or -80°C for 12 months. Avoid repeated freeze-thaw cycles.
运输方式Shipping with blue ice.

计算器

  • 稀释 计算器
  • 配液 计算器
Related Tags: buy Anti-VAMP8 Antibody (4K35) | purchase Anti-VAMP8 Antibody (4K35) | Anti-VAMP8 Antibody (4K35) cost | order Anti-VAMP8 Antibody (4K35) | Anti-VAMP8 Antibody (4K35) molecular weight