购物车
  • TargetMol
    您的购物车当前为空

Anti-VAMP3 Antibody (5C283)

Synonyms: vesicle-associated membrane protein 3, CEB
货号 TMAC-00812 一键复制产品信息
Rating icon 还可以

Anti-VAMP3 Antibody (5C283) 是一种 Rabbit 抗体,靶向 VAMP3。Anti-VAMP3 Antibody (5C283) 可用于 FCM,ICC,IF,IHC,WB。

Anti-VAMP3 Antibody (5C283)

一键复制产品信息
Rating icon 还可以
货号 TMAC-00812

别名 vesicle-associated membrane protein 3, CEB

Anti-VAMP3 Antibody (5C283) 是一种 Rabbit 抗体,靶向 VAMP3。Anti-VAMP3 Antibody (5C283) 可用于 FCM,ICC,IF,IHC,WB。

Anti-VAMP3 Antibody (5C283)
规格价格库存数量
50 μL
¥ 1,490
5日内发货
100 μL
¥ 2,480
5日内发货
库存状态实时更新,以官网显示为准,现货产品可直接加购物车下单
大包装 & 定制
加入购物车
TargetMol的所有产品仅用作科学研究或药证申报,不能被用于人体,我们不向个人提供产品和服务。请您遵守承诺用途,不得违反法律法规规定用于任何其他用途。
实验操作小课堂
常见问题解答
查看更多

资源下载:产品操作手册

产品介绍


生物活性
产品描述
Anti-VAMP3 Antibody (5C283) is a Rabbit antibody targeting VAMP3. Anti-VAMP3 Antibody (5C283) can be used in FCM,ICC,IF,IHC,WB.
别名vesicle-associated membrane protein 3, CEB
Ig Type
IgG
克隆号
5C283
反应种属
Human,Mouse,Rat
验证活性
1. Western blot analysis of Cellubrevin on A549 (1), 293T(2) cell lysates using anti-Cellubrevin antibody at 1/1,000 dilution.
2. Immunohistochemical analysis of paraffin-embedded rat hippocampus tissue using anti-Cellubrevin antibody. Counter stained with hematoxylin.
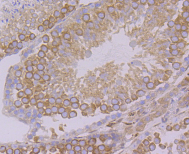
3. Immunohistochemical analysis of paraffin-embedded mouse testis tissue using anti-Cellubrevin antibody. Counter stained with hematoxylin.
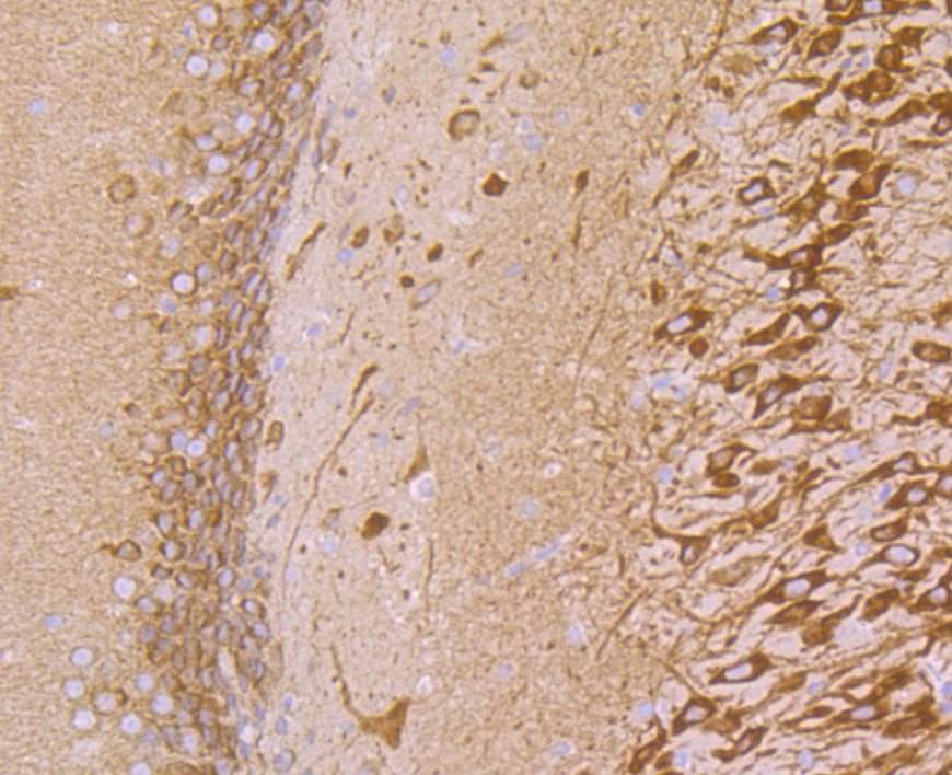
4. Immunohistochemical analysis of paraffin-embedded rat brain tissue using anti-Cellubrevin antibody. Counter stained with hematoxylin.
5. ICC staining Cellubrevin in SiHa cells (green). The nuclear counter stain is DAPI (blue). Cells were fixed in paraformaldehyde, permeabilised with 0.25% Triton X100/PBS.
6. ICC staining Cellubrevin in 293T cells (green). The nuclear counter stain is DAPI (blue). Cells were fixed in paraformaldehyde, permeabilised with 0.25% Triton X100/PBS.
7. Flow cytometric analysis of Siha cells with Cellubrevin antibody at 1/100 dilution (yellow) compared with an unlabelled control (cells without incubation with primary antibody; purple).Alexa Fluor 488-conjugated goat anti-rabbit IgG was used as the secondary antibody.
verifiedActivityverifiedActivityverifiedActivityverifiedActivityverifiedActivityverifiedActivityverifiedActivity
应用FCMICCIFIHCWB
推荐剂量
WB: 1:500-2000; IHC: 1:50-200; ICC: 1:50-200; FCM: 1:50-100
抗体种类
Monoclonal
宿主来源Rabbit
构建方式Recombinant Antibody
纯化方式ProA affinity purified
性状Liquid
缓冲液1*TBS (pH7.4), 1%BSA, 40%Glycerol. Preservative: 0.05% Sodium Azide.
研究背景Vesicle-associated membrane proteins, known as VAMPs, also designated synaptobrevins, include VAMP-1, VAMP-2, VAMP-3 (cellubrevin), and synaptotagmin, a protein that may function as an inhibitor of exocytosis. VAMP proteins are vesicular factors that are important components of the machinery controlling docking and/or fusion of secretory vesicles with their target membrane. Synaptosomal-associated proteins, known as SNAPs, including alpha- and gamma-SNAP, are cytoplasmic proteins that bind to a membrane receptor complex composed of VAMP, SNAP 25 and syntaxin. Pancreatic beta-cells express VAMP-2 and VAMP-3, and either one or both of these proteins selectively control Ca2+-mediated insulin secretion. In addition, VAMP-2 and VAMP-3 are expressed on GLUT4-containing vesicle membranes isolated from 3T3-Ll adipocytes and are important components of the insulin-dependent translocation of GLUT4 to the cell surface in adipocytes.
偶联与修饰
偶联
Unconjugated
抗原信息
免疫原
KLH conjugated synthetic peptide: within N-terminal human Cellubrevin
抗原种属
human
Uniprot ID
化学信息
分子量Theoretical: 11 kDa.
储存&溶解度
储存方式Store at -20°C or -80°C for 12 months. Avoid repeated freeze-thaw cycles.
运输方式Shipping with blue ice.

计算器

  • 稀释 计算器
  • 配液 计算器
Related Tags: buy Anti-VAMP3 Antibody (5C283) | purchase Anti-VAMP3 Antibody (5C283) | Anti-VAMP3 Antibody (5C283) cost | order Anti-VAMP3 Antibody (5C283) | Anti-VAMP3 Antibody (5C283) molecular weight