购物车
  • TargetMol
    您的购物车当前为空

Anti-USP14 Antibody (2A615)

Synonyms: USP 14, Ubiquitin-specific-processing protease 14, Ubiquitin thioesterase 14, Ubiquitin carboxyl-terminal hydrolase 14, TGT, EC 3.4.19.12, Deubiquitinating enzyme 14
货号 TMAC-04204 一键复制产品信息
Rating icon 还可以

Anti-USP14 Antibody (2A615) 是一种 Rabbit 抗体,靶向 USP14。Anti-USP14 Antibody (2A615) 可用于 FCM,ICC,IF,IHC,WB。

Anti-USP14 Antibody (2A615)

一键复制产品信息
Rating icon 还可以
货号 TMAC-04204

别名 USP 14, Ubiquitin-specific-processing protease 14, Ubiquitin thioesterase 14, Ubiquitin carboxyl-terminal hydrolase 14, TGT, EC 3.4.19.12, Deubiquitinating enzyme 14

Anti-USP14 Antibody (2A615) 是一种 Rabbit 抗体,靶向 USP14。Anti-USP14 Antibody (2A615) 可用于 FCM,ICC,IF,IHC,WB。

Anti-USP14 Antibody (2A615)
规格价格库存数量
50 μL
¥ 1,480
5日内发货
100 μL
¥ 2,480
5日内发货
库存状态实时更新,以官网显示为准,现货产品可直接加购物车下单
大包装 & 定制
加入购物车
TargetMol的所有产品仅用作科学研究或药证申报,不能被用于人体,我们不向个人提供产品和服务。请您遵守承诺用途,不得违反法律法规规定用于任何其他用途。
实验操作小课堂
常见问题解答
查看更多

资源下载:产品操作手册

产品介绍


生物活性
产品描述
Anti-USP14 Antibody (2A615) is a Rabbit antibody targeting USP14. Anti-USP14 Antibody (2A615) can be used in FCM,ICC,IF,IHC,WB.
别名USP 14, Ubiquitin-specific-processing protease 14, Ubiquitin thioesterase 14, Ubiquitin carboxyl-terminal hydrolase 14, TGT, EC 3.4.19.12, Deubiquitinating enzyme 14
Ig Type
IgG
克隆号
2A615
反应种属
Human,zebrafish
验证活性
1. Western blot analysis of USP14 on K562 (1) and Hela (2) cell lysate using anti-USP14 antibody at 1/1,000 dilution.
2. Western blot analysis of USP14 on Zebrafish tissue lysates using anti-USP14 antibody at 1/200 dilution.
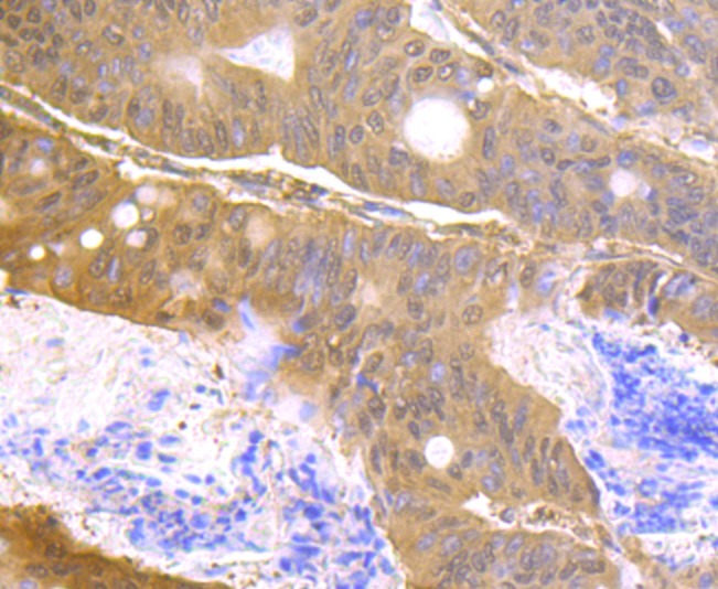
3. Immunohistochemical analysis of paraffin-embedded human colon cancer tissue using anti-USP14 antibody. Counter stained with hematoxylin.
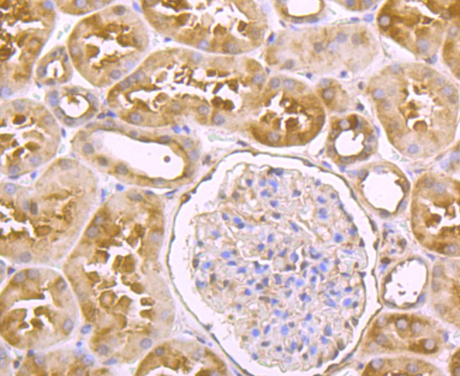
4. Immunohistochemical analysis of paraffin-embedded human kidney tissue using anti-USP14 antibody. Counter stained with hematoxylin.
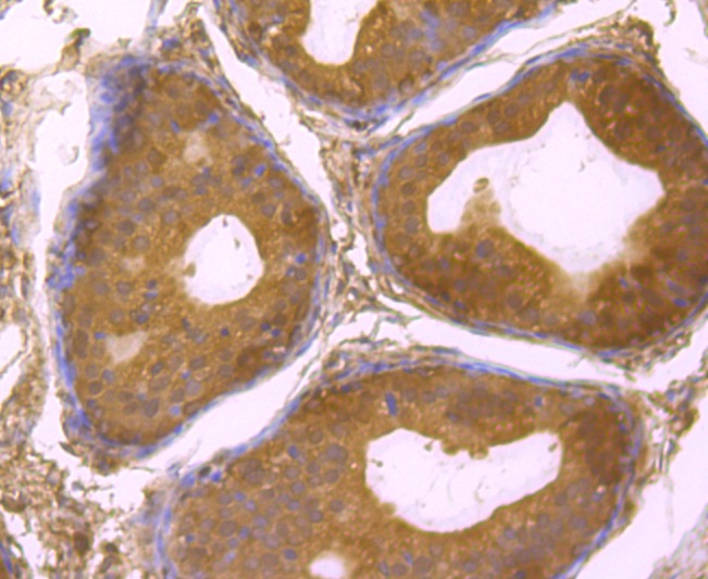
5. Immunohistochemical analysis of paraffin-embedded mouse prostate tissue using anti-USP14 antibody. Counter stained with hematoxylin.
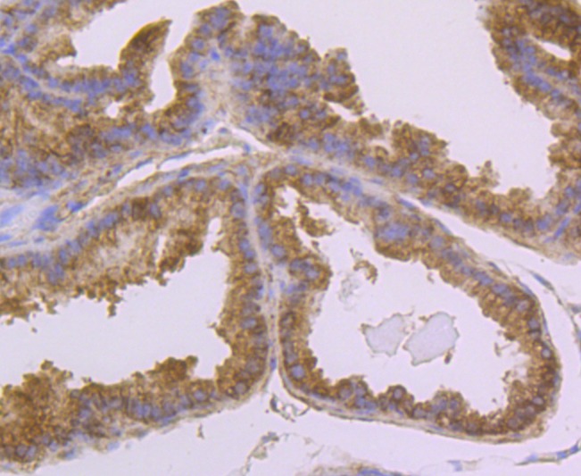
6. Immunohistochemical analysis of paraffin-embedded rat epididymis tissue using anti-USP14 antibody. Counter stained with hematoxylin.
7. ICC staining USP14 in A431 cells (green). The nuclear counter stain is DAPI (blue). Cells were fixed in paraformaldehyde, permeabilised with 0.25% Triton X100/PBS.
8. ICC staining USP14 in HUVEC cells (green). The nuclear counter stain is DAPI (blue). Cells were fixed in paraformaldehyde, permeabilised with 0.25% Triton X100/PBS.
9. ICC staining USP14 in LOVO cells (green). The nuclear counter stain is DAPI (blue). Cells were fixed in paraformaldehyde, permeabilised with 0.25% Triton X100/PBS.
10. Flow cytometric analysis of Jurkat cells with USP14 antibody at 1/100 dilution (red) compared with an unlabelled control (cells without incubation with primary antibody; black). Alexa Fluor 488-conjugated goat anti rabbit IgG was used as the secondary antibody.
verifiedActivityverifiedActivityverifiedActivityverifiedActivityverifiedActivityverifiedActivityverifiedActivityverifiedActivityverifiedActivityverifiedActivity
应用FCMICCIFIHCWB
推荐剂量
WB: 1:500-2000; IHC: 1:50-200; ICC: 1:50-200; FCM: 1:50-100
抗体种类
Monoclonal
宿主来源Rabbit
构建方式Recombinant Antibody
纯化方式ProA affinity purified
性状Liquid
缓冲液1*TBS (pH7.4), 1%BSA, 40%Glycerol. Preservative: 0.05% Sodium Azide.
研究背景The ubiquitin (Ub) pathway involves three sequential enzymatic steps that facilitate the conjugation of Ub and Ub-like molecules to specific protein substrates. Through the use of a wide range of enzymes that can add or remove ubiquitin, the Ub pathway controls many intracellular processes such as signal transduction, transcriptional activation and cell cycle progression. USP14 (ubiquitin specific peptidase 14), also known as TGT (tRNA-guanine transglycosylase), is a cytoplasmic protein that belongs to the ubiquitin-specific processing family of deubiquitinating enzymes. Existing as a homodimer within the cell, USP14 functions to cleave ubiquitin residues from both ubiquitinylated proteins and ubiquitin-fused precursors, thereby saving these proteins from proteasomal degradation. In mice, defects or mutations in the gene encoding USP14 cause retarded growth or fetal death, indicating that USP14 plays a key role in early developmental processes. Multiple isoforms of USP14 are expressed due to alternative splicing events.
偶联与修饰
偶联
Unconjugated
抗原信息
免疫原
Recombinant Protein
Uniprot ID
化学信息
分子量Theoretical: 56 kDa.
储存&溶解度
储存方式Store at -20°C or -80°C for 12 months. Avoid repeated freeze-thaw cycles.
运输方式Shipping with blue ice.

计算器

  • 稀释 计算器
  • 配液 计算器
Related Tags: buy Anti-USP14 Antibody (2A615) | purchase Anti-USP14 Antibody (2A615) | Anti-USP14 Antibody (2A615) cost | order Anti-USP14 Antibody (2A615) | Anti-USP14 Antibody (2A615) molecular weight