购物车
  • TargetMol
    您的购物车当前为空

Anti-TYMS Antibody (8R369)

Synonyms: TSase, TS, Thymidylate synthase, EC 2.1.1.45
货号 TMAC-04037 一键复制产品信息
Rating icon 还可以

Anti-TYMS Antibody (8R369) 是一种 Rabbit 抗体,靶向 TYMS。Anti-TYMS Antibody (8R369) 可用于 FCM,IHC,IP,WB。

Anti-TYMS Antibody (8R369)

一键复制产品信息
Rating icon 还可以
货号 TMAC-04037

别名 TSase, TS, Thymidylate synthase, EC 2.1.1.45

Anti-TYMS Antibody (8R369) 是一种 Rabbit 抗体,靶向 TYMS。Anti-TYMS Antibody (8R369) 可用于 FCM,IHC,IP,WB。

Anti-TYMS Antibody (8R369)
规格价格库存数量
50 μL
¥ 1,480
5日内发货
100 μL
¥ 2,485
5日内发货
库存状态实时更新,以官网显示为准,现货产品可直接加购物车下单
大包装 & 定制
加入购物车

TargetMol的所有产品仅用作科学研究或药证申报,不能被用于人体,我们不向个人提供产品和服务。请您遵守承诺用途,不得违反法律法规规定用于任何其他用途。

实验操作小课堂
常见问题解答
查看更多

资源下载:产品操作手册

产品介绍


生物活性
产品描述
Anti-TYMS Antibody (8R369) is a Rabbit antibody targeting TYMS. Anti-TYMS Antibody (8R369) can be used in FCM,IHC,IP,WB.
别名
TSase, TS, Thymidylate synthase, EC 2.1.1.45
Ig Type
IgG
克隆号
8R369
反应种属
Human,Mouse,Rat
验证活性
1. Western blot analysis of Thymidylate Synthase on different cell lysate using anti-Thymidylate Synthase antibody at 1/1,000 dilution. Positive control: Lane1: Hela, Lane2: Jurkat, Lane3: Raji, Lane4: Mouse testes, Lane5: Mouse brain, Lane6: Mouse spleen.
2. Immunohistochemical analysis of paraffin-embedded mouse colon tissue using anti-Thymidylate Synthase antibody. Counter stained with hematoxylin.
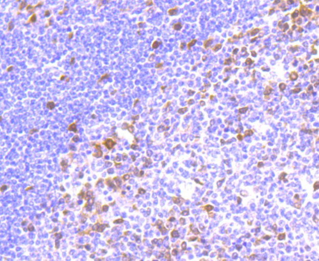
3. Immunohistochemical analysis of paraffin-embedded human tonsil tissue using anti-Thymidylate Synthase antibody. Counter stained with hematoxylin.
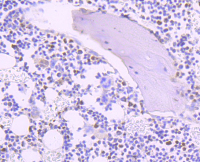
4. Immunohistochemical analysis of paraffin-embedded rat bone tissue using anti-Thymidylate Synthase antibody. Counter stained with hematoxylin.
5. Flow cytometric analysis of Hela cells with Thymidylate Synthase antibody at 1/100 dilution (red) compared with an unlabelled control (cells without incubation with primary antibody; black).
verifiedActivityverifiedActivityverifiedActivityverifiedActivityverifiedActivity
应用FCMIHCIPWB
推荐剂量
WB: 1:500-2000; IHC: 1:50-200; FCM: 1:50-100
抗体种类
Monoclonal
宿主来源Rabbit
构建方式Recombinant Antibody
纯化方式ProA affinity purified
性状Liquid
缓冲液1*TBS (pH7.4), 1%BSA, 40%Glycerol. Preservative: 0.05% Sodium Azide.
研究背景Thymidylate synthase (TS), also designated TYMS, TMS, TSase and HsT422, uses 5,10-methylenetetrahydrofolate (methylene-THF) as a cofactor in the synthesis of 2'-deoxythymidine-5'-monophosphate (dTMP), an essential precursor for DNA biosynthesis. TS is an RNA-binding protein that can interact with its own mRNA. The TS/mRNA ribonucleoprotein complex can also associate with a number of other cellular mRNAs, including those corresponding to the p53 tumor suppressor gene and the Myc family of transcription factors. Inhibition of DNA replication and cell death resulting from thymidine depletion occurs when TS enzyme activity is inhibited with substrate or cofactor analogs, making the TS enzyme an important target for chemotherapy. Cancer cells are sensitive to thymidine depletion, as they multiply rapidly.
偶联与修饰
偶联
Unconjugated
抗原信息
免疫原
Recombinant Protein
Uniprot ID
化学信息
分子量Theoretical: 36 kDa.
储存&溶解度
储存方式Store at -20°C or -80°C for 12 months. Avoid repeated freeze-thaw cycles.
运输方式Shipping with blue ice.

计算器

  • 稀释 计算器
  • 配液 计算器
Related Tags: buy Anti-TYMS Antibody (8R369) | purchase Anti-TYMS Antibody (8R369) | Anti-TYMS Antibody (8R369) cost | order Anti-TYMS Antibody (8R369) | Anti-TYMS Antibody (8R369) molecular weight