购物车
  • 全部删除
  • TargetMol
    您的购物车当前为空

Anti-TUBB3 Polyclonal Antibody 2

Rating icon 还可以
产品编号 TMAB-01917
别名 Tubulin beta-III, Tubulin beta-4 chain, Tubulin beta-3 chain, TUBB4, TUBB3

Anti-TUBB3 Polyclonal Antibody 2 是一种 Rabbit 抗体,靶向 TUBB3。Anti-TUBB3 Polyclonal Antibody 2 可用于 IF,IHC-Fr,IHC-P,WB。

Anti-TUBB3 Polyclonal Antibody 2

Anti-TUBB3 Polyclonal Antibody 2

一键复制产品信息
Rating icon 还可以
产品编号 TMAB-01917 别名 Tubulin beta-III, Tubulin beta-4 chain, Tubulin beta-3 chain, TUBB4, TUBB3

Anti-TUBB3 Polyclonal Antibody 2 是一种 Rabbit 抗体,靶向 TUBB3。Anti-TUBB3 Polyclonal Antibody 2 可用于 IF,IHC-Fr,IHC-P,WB。

规格价格库存数量
50 μL
¥ 1,160
5日内发货
100 μL
¥ 1,960
5日内发货
200 μL
¥ 2,785
5日内发货
大包装 & 定制
加入购物车
TargetMol 的所有产品仅用作科学研究或药证申报,不能被用于人体,我们不向个人提供产品和服务。请您遵守承诺用途,不得违反法律法规规定用于任何其他用途。
实验操作小课堂
常见问题解答
查看更多
联系我们获取更多批次信息
资源下载

产品介绍

生物活性
产品描述
Anti-TUBB3 Polyclonal Antibody 2 is a Rabbit antibody targeting TUBB3. Anti-TUBB3 Polyclonal Antibody 2 can be used in IF,IHC-Fr,IHC-P,WB.
别名Tubulin beta-III, Tubulin beta-4 chain, Tubulin beta-3 chain, TUBB4, TUBB3
Ig Type
IgG
交叉反应
Human,Mouse,Rat
验证活性
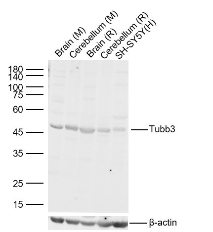
1. Sample:
Lane 1: Mouse Brain Lysates
Lane 2: Mouse Cerebellum Lysates
Lane 3: Rat Brain Lysates
Lane 4: Rat Cerebellum Lysates
Lane 5: Human SH-SY5Y cell Lysates
Primary: Anti-Tubb3 (TMAB-01917) at 1/2000 dilution
Secondary: IRDye800CW Goat Anti-Rabbit IgG at 1/20000 dilution
Predicted band size: 50 kDa
Observed band size: 50 kDa
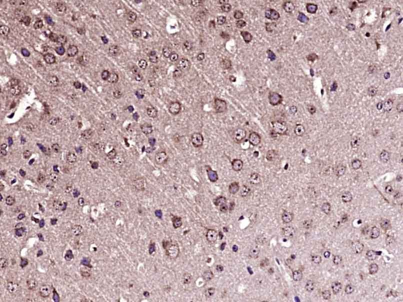
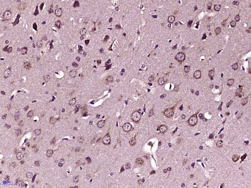
2. Paraformaldehyde-fixed, paraffin embedded (Rat brain); Antigen retrieval by boiling in sodium citrate buffer (pH6.0) for 15 min; Block endogenous peroxidase by 3% hydrogen peroxide for 20 min; Blocking buffer (normal goat serum) at 37°C for 30 min; Antibody incubation with (Tubb3) Polyclonal Antibody, Unconjugated (TMAB-01917) at 1:400 overnight at 4°C, followed by operating according to SP Kit (Rabbit) instructionsand DAB staining.
3. Paraformaldehyde-fixed, paraffin embedded (Mouse brain); Antigen retrieval by boiling in sodium citrate buffer (pH6.0) for 15 min; Block endogenous peroxidase by 3% hydrogen peroxide for 20 min; Blocking buffer (normal goat serum) at 37°C for 30 min; Antibody incubation with (Tubb3) Polyclonal Antibody, Unconjugated (TMAB-01917) at 1:400 overnight at 4°C, followed by operating according to SP Kit (Rabbit) instructionsand DAB staining.
verifiedActivityverifiedActivityverifiedActivity
应用IFIHC-FrIHC-PWB
推荐剂量
WB: 1:500-2000; IHC-P: 1:100-500; IHC-Fr: 1:100-500; IF: 1:100-500
抗体种类
Polyclonal
宿主来源Rabbit
亚细胞定位Cytoplasm, cytoskeleton.
组织特异性Expression is primarily restricted to centraland peripheral nervous system. Greatly increased expression in mostcancerous tissues.
构建方式Polyclonal Antibody
纯化方式Protein A purified
性状Liquid
缓冲液0.01M TBS (pH7.4) with 1% BSA, 0.02% Proclin300 and 50% Glycerol.
浓度1 mg/mL
研究背景Neuronal Marker Beta III tubulin is abundant in the central and peripheral nervous systems (CNS and PNS) where it is prominently expressed during fetal and postnatal development. As exemplified in cerebellar and sympathoadrenal neurogenesis, the distribution of beta III is neuron-associated, exhibiting distinct temporospatial gradients according to the regional neuroepithelia of origin. However, transient expression of this protein is also present in the subventricular zones of the CNS comprising putative neuronal- and/or glial precursor cells, as well as in Kulchitsky neuroendocrine cells of the fetal respiratory epithelium. This temporally restricted, potentially non-neuronal expression may have implications in the identification of presumptive neurons derived from embryonic stem cells.
抗原信息
免疫原
KLH conjugated synthetic peptide: human Tubb3
抗原种属
Human
基因名称
TUBB3
基因ID
蛋白名称
Tubulin beta-3 chain
Uniprot ID
研究领域
Neuronal,Tubulin,Microtubules
功能
Tubulin is the major constituent of microtubules. Itbinds two moles of GTP, one at an exchangeable site on the betachain and one at a non-exchangeable site on the alpha chain. TUBB3plays a critical role in proper axon guidance and mantainance.
化学信息
分子量Theoretical: 50 kDa.
存储&运输
储存方式Store at -20°C or -80°C for 12 months. Avoid repeated freeze-thaw cycles.
运输方式Shipping with blue ice.

计算器

  • 稀释 计算器

关键词

评论列表

4个月前
5.0
Rating icon 很棒

评论内容

Related Tags: buy Anti-TUBB3 Polyclonal Antibody 2 | purchase Anti-TUBB3 Polyclonal Antibody 2 | Anti-TUBB3 Polyclonal Antibody 2 cost | order Anti-TUBB3 Polyclonal Antibody 2 | Anti-TUBB3 Polyclonal Antibody 2 molecular weight