购物车
  • TargetMol
    您的购物车当前为空

Anti-TUBB3 Antibody (5D159)

Synonyms: Tubulin beta-III, Tubulin beta-4 chain, Tubulin beta-3 chain, TUBB4, TUBB3
货号 TMAC-04163 一键复制产品信息
Rating icon 还可以
202603开学季活动

Anti-TUBB3 Antibody (5D159) 是一种 Rabbit 抗体,靶向 TUBB3。Anti-TUBB3 Antibody (5D159) 可用于 FCM,IHC,IP,WB。

Anti-TUBB3 Antibody (5D159)

一键复制产品信息
Rating icon 还可以
202603开学季活动
货号 TMAC-04163

别名 Tubulin beta-III, Tubulin beta-4 chain, Tubulin beta-3 chain, TUBB4, TUBB3

Anti-TUBB3 Antibody (5D159) 是一种 Rabbit 抗体,靶向 TUBB3。Anti-TUBB3 Antibody (5D159) 可用于 FCM,IHC,IP,WB。

Anti-TUBB3 Antibody (5D159)
规格价格库存数量
50 μL
¥ 1,485
5日内发货
100 μL
¥ 2,495
5日内发货
库存状态实时更新,以官网显示为准,现货产品可直接加购物车下单
大包装 & 定制
加入购物车

TargetMol的所有产品仅用作科学研究或药证申报,不能被用于人体,我们不向个人提供产品和服务。请您遵守承诺用途,不得违反法律法规规定用于任何其他用途。

实验操作小课堂
常见问题解答
查看更多

资源下载:产品操作手册

产品介绍


生物活性
产品描述
Anti-TUBB3 Antibody (5D159) is a Rabbit antibody targeting TUBB3. Anti-TUBB3 Antibody (5D159) can be used in FCM,IHC,IP,WB.
别名
Tubulin beta-III, Tubulin beta-4 chain, Tubulin beta-3 chain, TUBB4, TUBB3
Ig Type
IgG
克隆号
5D159
反应种属
Human,Mouse,Rat
验证活性
1. Western blot analysis of Tubulin beta-III on different lysates using anti-Tubulin beta-III antibody at 1/1,000 dilution. Positive control: Lane 1: Hela, Lane 2: PC-12, Lane 3: SH-SY-5Y.
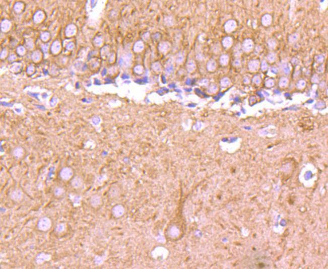
2. Immunohistochemical analysis of paraffin-embedded mouse brain tissue using anti-Tubulin beta-III antibody. Counter stained with hematoxylin.
3. Flow cytometric analysis of N2A cells with Tubulin beta-III antibody at 1/50 dilution (red) compared with an unlabelled control (cells without incubation with primary antibody; black). Alexa Fluor 488-conjugated goat anti rabbit IgG was used as the secondary antibody.
verifiedActivityverifiedActivityverifiedActivity
应用FCMIHCIPWB
推荐剂量
WB: 1:1000-2000; IHC: 1:50-200; ICC: 1:50-200; FCM: 1:50-100
抗体种类
Monoclonal
宿主来源Rabbit
构建方式Recombinant Antibody
纯化方式ProA affinity purified
性状Liquid
缓冲液1*TBS (pH7.4), 1%BSA, 40%Glycerol. Preservative: 0.05% Sodium Azide.
研究背景Tubulin is a major cytoskeleton component that has five distinct forms, designated α, β, γ, δ and e Tubulin. α and β Tubulins form heterodimers which multimerize to form a microtubule filament. Multiple β Tubulin isoforms (β1, β2, β3, β4, β5, β6 and β8) have been characterized and are expressed in mammalian tissues. β1 and β4 are present throughout the cytosol, β2 is present in the nuclei and nucleoplasm, and β3 is a neuron-specific cytoskeletal protein. γ Tubulin forms the gammasome, which is required for nucleating microtubule filaments at the centrosome. Both δ Tubulin and e Tubulin are associated with the centrosome. δ Tubulin is a homolog of the Chlamydomonas δ Tubulin Uni3 and is found in association with the centrioles, whereas e Tubulin localizes to the pericentriolar material. e Tubulin exhibits a cell-cycle-specific pattern of localization, first associating with only the older of the centrosomes in a newly duplicated pair and later associating with both centrosomes.
偶联与修饰
偶联
Unconjugated
抗原信息
免疫原
Recombinant Protein
Uniprot ID
化学信息
分子量Theoretical: 50 kDa.
储存&溶解度
储存方式Store at -20°C or -80°C for 12 months. Avoid repeated freeze-thaw cycles.
运输方式Shipping with blue ice.

计算器

  • 稀释 计算器
  • 配液 计算器
Related Tags: buy Anti-TUBB3 Antibody (5D159) | purchase Anti-TUBB3 Antibody (5D159) | Anti-TUBB3 Antibody (5D159) cost | order Anti-TUBB3 Antibody (5D159) | Anti-TUBB3 Antibody (5D159) molecular weight