购物车
  • TargetMol
    您的购物车当前为空

Anti-TUBB Antibody (8X869)

Synonyms: Tubulin beta-5 chain, Tubulin beta chain, TUBB5, TUBB
货号 TMAC-04342 一键复制产品信息
Rating icon 还可以

Anti-TUBB Antibody (8X869) 是一种 Mouse 抗体,靶向 TUBB。Anti-TUBB Antibody (8X869) 可用于 FCM,ICC,IHC,WB。

Anti-TUBB Antibody (8X869)

一键复制产品信息
Rating icon 还可以
货号 TMAC-04342

别名 Tubulin beta-5 chain, Tubulin beta chain, TUBB5, TUBB

Anti-TUBB Antibody (8X869) 是一种 Mouse 抗体,靶向 TUBB。Anti-TUBB Antibody (8X869) 可用于 FCM,ICC,IHC,WB。

Anti-TUBB Antibody (8X869)
规格价格库存数量
50 μL
¥ 1,995
5日内发货
100 μL
¥ 2,980
5日内发货
库存状态实时更新,以官网显示为准,现货产品可直接加购物车下单
大包装 & 定制
加入购物车

TargetMol的所有产品仅用作科学研究或药证申报,不能被用于人体,我们不向个人提供产品和服务。请您遵守承诺用途,不得违反法律法规规定用于任何其他用途。

实验操作小课堂
常见问题解答
查看更多

资源下载:产品操作手册

产品介绍


生物活性
产品描述
Anti-TUBB Antibody (8X869) is a Mouse antibody targeting TUBB. Anti-TUBB Antibody (8X869) can be used in FCM,ICC,IHC,WB.
别名
Tubulin beta-5 chain, Tubulin beta chain, TUBB5, TUBB
克隆号
8X869
反应种属
Human,Mouse,Rat,zebrafish
验证活性
1. Western blot analysis of β-tubulin on different cell lysates using anti-β-tubulin antibody at 1/5000 dilution. Positive control: Lane 1: NCCIT, Lane 2: NIH/3T3, Lane 3: PC12, Lane 4: Mouse heart, Lane 5: F9, Lane 6: zebrafish brain, Lane 7: Hela.
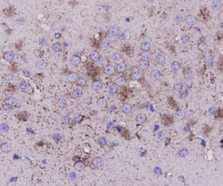
2. Immunohistochemical analysis of paraffin-embedded mouse brain tissue using anti-β-tubulin antibody. Counter stained with hematoxylin.
3. ICC staining β-tubulin in Hela cells (red). The nuclear counter stain is DAPI (blue). Cells were fixed in paraformaldehyde, permeabilised with 0.25% Triton X100/PBS.
4. ICC stainingβ-tubulin in HepG2 cells (red). The nuclear counter stain is DAPI (blue). Cells were fixed in paraformaldehyde, permeabilised with 0.25% Triton X100/PBS.
5. ICC staining:-tubulin in NIH/3T3 cells (red). The nuclear counter stain is DAPI (blue). Cells were fixed in paraformaldehyde, permeabilised with 0.25% Triton X100/PBS.
6. Flow cytometric analysis of HeLa?cells with β-tubulin antibody at 1/50 dilution (blue) compared with an unlabelled control (cells without incubation with primary antibody; red). Goat anti mouse IgG (FITC) was used as the secondary antibody.
verifiedActivityverifiedActivityverifiedActivityverifiedActivityverifiedActivityverifiedActivity
应用FCMICCIHCWB
推荐剂量
WB: 1:5000-10000; IHC: 1:20; ICC: 1:200; FCM: 1:50-100
抗体种类
Monoclonal
宿主来源Mouse
构建方式Hybridoma Monoclonal Antibody
纯化方式ProA affinity purified
性状Liquid
缓冲液1*TBS (pH7.4), 1%BSA, 40%Glycerol. Preservative: 0.05% Sodium Azide.
研究背景Tubulin is one of several members of a small family of globular proteins. The most common members of the tubulin family are α-tubulin and β-tubulin. The beta-tubulin (relative molecular weight about 50 kDa) is counterpart of alpha-tubulin in tubulin heterodimer, it is coded by multiple tubulin genes and it is also posttranslationally modified. Heterogeneity of subunit is concentrated in C-terminal structural domain. Beta-Tubulin may have bound GTP or GDP. Under certain conditions β-tubulin can hydrolyze its bound GTP to GDP plus Pi, release the Pi, and exchange the GDP for GTP.
偶联与修饰
偶联
Unconjugated
抗原信息
免疫原
Peptide
Uniprot ID
化学信息
分子量Theoretical: 50 kDa.
储存&溶解度
储存方式Store at -20°C or -80°C for 12 months. Avoid repeated freeze-thaw cycles.
运输方式Shipping with blue ice.

计算器

  • 稀释 计算器
  • 配液 计算器
Related Tags: buy Anti-TUBB Antibody (8X869) | purchase Anti-TUBB Antibody (8X869) | Anti-TUBB Antibody (8X869) cost | order Anti-TUBB Antibody (8X869) | Anti-TUBB Antibody (8X869) molecular weight