购物车
  • TargetMol
    您的购物车当前为空

Anti-TUBB Antibody (7E2)

Synonyms: Tubulin beta-5 chain, Tubulin beta chain, TUBB5, TUBB
货号 TMAC-00425 一键复制产品信息
Rating icon 还可以
202603开学季活动

Anti-TUBB Antibody (7E2) 是一种 Rabbit 抗体,靶向 TUBB。Anti-TUBB Antibody (7E2) 可用于 FCM,ICC,IHC,WB。

Anti-TUBB Antibody (7E2)

一键复制产品信息
Rating icon 还可以
202603开学季活动
货号 TMAC-00425

别名 Tubulin beta-5 chain, Tubulin beta chain, TUBB5, TUBB

Anti-TUBB Antibody (7E2) 是一种 Rabbit 抗体,靶向 TUBB。Anti-TUBB Antibody (7E2) 可用于 FCM,ICC,IHC,WB。

Anti-TUBB Antibody (7E2)
规格价格库存数量
50 μL
¥ 1,480
5日内发货
100 μL
¥ 2,485
5日内发货
库存状态实时更新,以官网显示为准,现货产品可直接加购物车下单
大包装 & 定制
加入购物车

TargetMol的所有产品仅用作科学研究或药证申报,不能被用于人体,我们不向个人提供产品和服务。请您遵守承诺用途,不得违反法律法规规定用于任何其他用途。

实验操作小课堂
常见问题解答
查看更多

资源下载:产品操作手册

产品介绍


生物活性
产品描述
Anti-TUBB Antibody (7E2) is a Rabbit antibody targeting TUBB. Anti-TUBB Antibody (7E2) can be used in FCM,ICC,IHC,WB.
别名
Tubulin beta-5 chain, Tubulin beta chain, TUBB5, TUBB
Ig Type
IgG
克隆号
7E2
反应种属
Human,Mouse,Rat
验证活性
1. Western blot analysis of beta Tubulin on different cell lysates using anti-beta Tubulin antibody at 1/1,000 dilution. Positive control: Lane 1: Hela, Lane 2: NIH/3T3, Lane 3: PC12.
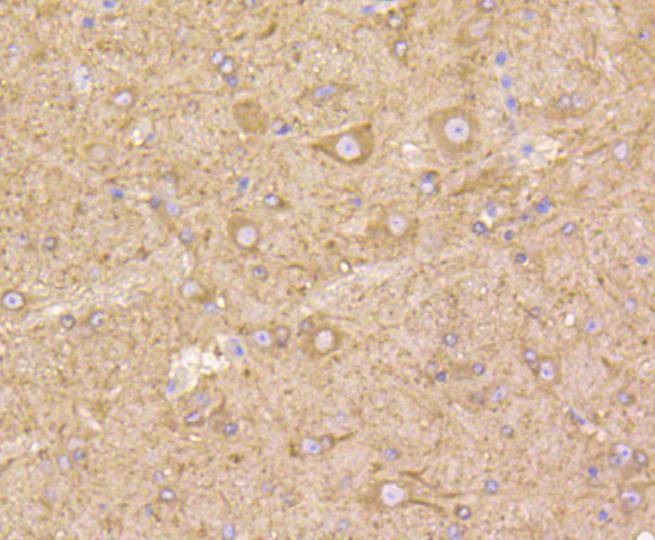
2. Immunohistochemical analysis of paraffin-embedded mouse brain tissue using anti-beta Tubulin antibody. Counter stained with hematoxylin.
3. Immunohistochemical analysis of paraffin-embedded mouse kidney tissue using anti-beta Tubulin antibody. Counter stained with hematoxylin.
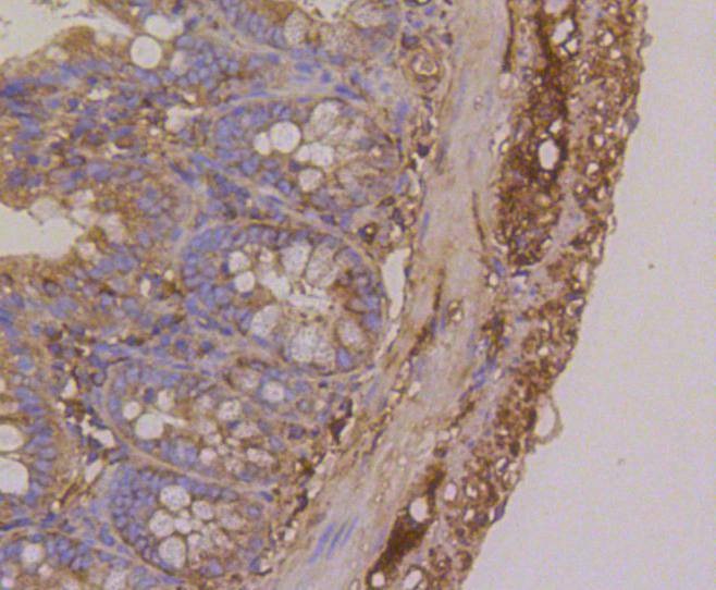
4. Immunohistochemical analysis of paraffin-embedded human colon cancer tissue using anti-beta Tubulin antibody. Counter stained with hematoxylin.
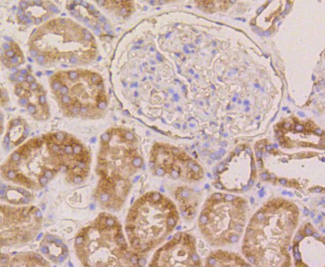
5. Immunohistochemical analysis of paraffin-embedded human kidney tissue using anti-beta Tubulin antibody. Counter stained with hematoxylin.
6. Immunohistochemical analysis of paraffin-embedded mouse colon tissue using anti-beta Tubulin antibody. Counter stained with hematoxylin.
7. ICC staining beta Tubulin in Hela cells (green). The nuclear counter stain is DAPI (blue). Cells were fixed in paraformaldehyde, permeabilised with 0.25% Triton X100/PBS.
8. ICC staining beta Tubulin in CRC cells (green). The nuclear counter stain is DAPI (blue). Cells were fixed in paraformaldehyde, permeabilised with 0.25% Triton X100/PBS.
9. ICC staining beta Tubulin in N2A cells (green). Cells were fixed in paraformaldehyde, permeabilised with 0.25% Triton X100/PBS.
10. ICC staining beta Tubulin in PC12 cells (green). Cells were fixed in paraformaldehyde, permeabilised with 0.25% Triton X100/PBS.
11. ICC staining beta Tubulin in SH-SY-5Y cells (green). Cells were fixed in paraformaldehyde, permeabilised with 0.25% Triton X100/PBS.
12. Flow cytometric analysis of NIH/3T3 cells with beta Tubulin antibody at 1/50 dilution (blue) compared with an unlabelled control (cells without incubation with primary antibody; red). Alexa Fluor 488-conjugated goat anti rabbit IgG was used as the secondary antibody.
verifiedActivityverifiedActivityverifiedActivityverifiedActivityverifiedActivityverifiedActivityverifiedActivityverifiedActivityverifiedActivityverifiedActivityverifiedActivityverifiedActivity
应用FCMICCIHCWB
推荐剂量
WB: 1:1000-5000; IHC: 1:50-200; ICC: 1:50-200; FCM: 1:10-100
抗体种类
Monoclonal
宿主来源Rabbit
构建方式Recombinant Antibody
纯化方式ProA affinity purified
性状Liquid
缓冲液1*TBS (pH7.4), 1%BSA, 40%Glycerol. Preservative: 0.05% Sodium Azide.
研究背景Tubulin is one of several members of a small family of globular proteins. The most common members of the tubulin family are α-tubulin and β-tubulin. The beta-tubulin (relative molecular weight about 50 kDa) is counterpart of alpha-tubulin in tubulin heterodimer, it is coded by multiple tubulin genes and it is also posttranslationally modified. Heterogeneity of subunit is concentrated in C-terminal structural domain. Beta-Tubulin may have bound GTP or GDP. Under certain conditions β-tubulin can hydrolyze its bound GTP to GDP plus Pi, release the Pi, and exchange the GDP for GTP.
偶联与修饰
偶联
Unconjugated
抗原信息
免疫原
Recombinant Protein
Uniprot ID
化学信息
分子量Theoretical: 50 kDa.
储存&溶解度
储存方式Store at -20°C or -80°C for 12 months. Avoid repeated freeze-thaw cycles.
运输方式Shipping with blue ice.

计算器

  • 稀释 计算器
  • 配液 计算器
Related Tags: buy Anti-TUBB Antibody (7E2) | purchase Anti-TUBB Antibody (7E2) | Anti-TUBB Antibody (7E2) cost | order Anti-TUBB Antibody (7E2) | Anti-TUBB Antibody (7E2) molecular weight