购物车
  • TargetMol
    您的购物车当前为空

Anti-TSPO Antibody (9Y314)

Synonyms: Translocator protein, PKBS, Peripheral-type benzodiazepine receptor, PBR, Mitochondrial benzodiazepine receptor, MBR, BZRP
货号 TMAC-03092 一键复制产品信息
Rating icon 还可以

Anti-TSPO Antibody (9Y314) 是一种 Rabbit 抗体,靶向 TSPO。Anti-TSPO Antibody (9Y314) 可用于 FCM,ICC/IF,IHC,IP,WB。

Anti-TSPO Antibody (9Y314)

一键复制产品信息
Rating icon 还可以
货号 TMAC-03092

别名 Translocator protein, PKBS, Peripheral-type benzodiazepine receptor, PBR, Mitochondrial benzodiazepine receptor, MBR, BZRP

Anti-TSPO Antibody (9Y314) 是一种 Rabbit 抗体,靶向 TSPO。Anti-TSPO Antibody (9Y314) 可用于 FCM,ICC/IF,IHC,IP,WB。

Anti-TSPO Antibody (9Y314)
规格价格库存数量
50 μL
¥ 1,480
5日内发货
100 μL
¥ 2,485
5日内发货
库存状态实时更新,以官网显示为准,现货产品可直接加购物车下单
大包装 & 定制
加入购物车
TargetMol的所有产品仅用作科学研究或药证申报,不能被用于人体,我们不向个人提供产品和服务。请您遵守承诺用途,不得违反法律法规规定用于任何其他用途。
实验操作小课堂
常见问题解答
查看更多

资源下载:产品操作手册

产品介绍


生物活性
产品描述
Anti-TSPO Antibody (9Y314) is a Rabbit antibody targeting TSPO. Anti-TSPO Antibody (9Y314) can be used in FCM,ICC/IF,IHC,IP,WB.
别名Translocator protein, PKBS, Peripheral-type benzodiazepine receptor, PBR, Mitochondrial benzodiazepine receptor, MBR, BZRP
Ig Type
IgG
克隆号
9Y314
反应种属
Human,Mouse
验证活性
1. Western blot analysis of PBR on different cell lysates using anti-PBR antibody at 1/1,000 dilution. Positive control: Lane 1: 293T, Lane 2: NIH/3T3, Lane 3: HepG2.
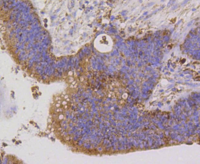
2. Immunohistochemical analysis of paraffin-embedded human colon cancer tissue using anti-PBR antibody. Counter stained with hematoxylin.
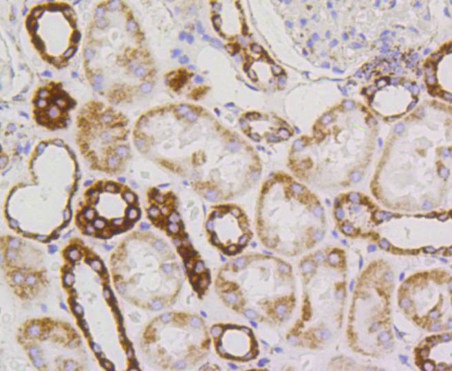
3. Immunohistochemical analysis of paraffin-embedded human kidney tissue using anti-PBR antibody. Counter stained with hematoxylin.
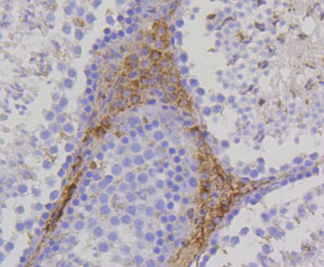
4. Immunohistochemical analysis of paraffin-embedded mouse testis tissue using anti-PBR antibody. Counter stained with hematoxylin.
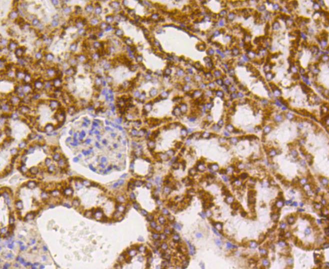
5. Immunohistochemical analysis of paraffin-embedded mouse kidney tissue using anti-PBR antibody. Counter stained with hematoxylin.
6. ICC staining PBR in Hela cells (green). The nuclear counter stain is DAPI (blue). Cells were fixed in paraformaldehyde, permeabilised with 0.25% Triton X100/PBS.
7. ICC staining PBR in PC-3M cells (green). The nuclear counter stain is DAPI (blue). Cells were fixed in paraformaldehyde, permeabilised with 0.25% Triton X100/PBS.
8. ICC staining PBR in SW480 cells (green). Cells were fixed in paraformaldehyde, permeabilised with 0.25% Triton X100/PBS.
9. Flow cytometric analysis of Hela cells with PBR antibody at 1/50 dilution (blue) compared with an unlabelled control (cells without incubation with primary antibody; red). Alexa Fluor 488-conjugated goat anti rabbit IgG was used as the secondary antibody.
verifiedActivityverifiedActivityverifiedActivityverifiedActivityverifiedActivityverifiedActivityverifiedActivityverifiedActivityverifiedActivity
应用FCMICC/IFIHCIPWB
推荐剂量
WB: 1:1000-5000; IHC: 1:50-200; ICC/IF: 1:50-200; FCM: 1:10-100
抗体种类
Monoclonal
宿主来源Rabbit
构建方式Recombinant Antibody
纯化方式ProA affinity purified
性状Liquid
缓冲液1*TBS (pH7.4), 1%BSA, 40%Glycerol. Preservative: 0.05% Sodium Azide.
研究背景Mitochondrial peripheral-type benzodiazepine receptor (PBR) is an indispensable element of the steroidogenic machinery, where it mediates the delivery of cholesterol to the inner mitochondrial side chain cleavage cytochrome P-450 upon ligand activation. PBR is composed of three subunits, an isoquinoline binding site, a voltage-dependent anion channel and an adenine nucleotide carrier. PBR is genetically conserved from bacteria to humans and in humans is widely expressed in peripheral organs, whereas in the brain, it is sparse and located mainly in glial cells. Peroxisome proliferator perfluordecanoic acid (PFDA) inhibits the Leydig cell steroidogenesis by affecting PBR mRNA stability, thus inhibiting PBR expression, cholesterol transport into the mitochondria and subsequent steroid formation. A cytoplasmic protein, PRAX-1 ( peripheral benzodiazepine receptor-associated protein 1), is found to specifically interact with PBR. The polypeptide diazepam binding inhibitor is an endogenous PBR ligand. PBR also binds Ro 5-4864 (4??-chlorodiazepam) and PK 11185 (an isoquinoline carboxamide derivative), but not clonazepam, and PBR regulates the cholesterol transport that results in decreased circulating corticosterone levels.
偶联与修饰
偶联
Unconjugated
抗原信息
免疫原
Recombinant Protein
Uniprot ID
化学信息
分子量Theoretical: 18 kDa.
储存&溶解度
储存方式Store at -20°C or -80°C for 12 months. Avoid repeated freeze-thaw cycles.
运输方式Shipping with blue ice.

计算器

  • 稀释 计算器
  • 配液 计算器
Related Tags: buy Anti-TSPO Antibody (9Y314) | purchase Anti-TSPO Antibody (9Y314) | Anti-TSPO Antibody (9Y314) cost | order Anti-TSPO Antibody (9Y314) | Anti-TSPO Antibody (9Y314) molecular weight