购物车
  • TargetMol
    您的购物车当前为空

Anti-TSG101 Antibody (3B556)

货号 TMAB-01911 一键复制产品信息
Rating icon 还可以

Anti-TSG101 Antibody (3B556) 是一种 Rabbit 抗体,靶向 TSG101。Anti-TSG101 Antibody (3B556) 可用于 FCM,ICC/IF,IF,IHC-Fr,IHC-P,WB。

Anti-TSG101 Antibody (3B556)

一键复制产品信息
Rating icon 还可以
货号 TMAB-01911

Anti-TSG101 Antibody (3B556) 是一种 Rabbit 抗体,靶向 TSG101。Anti-TSG101 Antibody (3B556) 可用于 FCM,ICC/IF,IF,IHC-Fr,IHC-P,WB。

Anti-TSG101 Antibody (3B556)
规格价格库存数量
50 μL
¥ 1,380
5日内发货
100 μL
¥ 2,485
5日内发货
库存状态实时更新,以官网显示为准,现货产品可直接加购物车下单
大包装 & 定制
加入购物车
TargetMol的所有产品仅用作科学研究或药证申报,不能被用于人体,我们不向个人提供产品和服务。请您遵守承诺用途,不得违反法律法规规定用于任何其他用途。
实验操作小课堂
常见问题解答
查看更多

资源下载:产品操作手册

产品介绍


生物活性
产品描述
Anti-TSG101 Antibody (3B556) is a Rabbit antibody targeting TSG101. Anti-TSG101 Antibody (3B556) can be used in FCM,ICC/IF,IF,IHC-Fr,IHC-P,WB.
Ig Type
IgG
克隆号
3B556
反应种属
Human,Mouse,Rat
验证活性
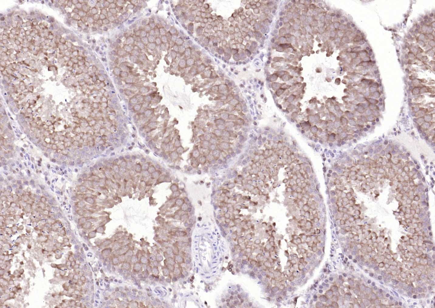
1. Paraformaldehyde-fixed, paraffin embedded (rat testis); Antigen retrieval by boiling in sodium citrate buffer (pH6.0) for 15 min; Block endogenous peroxidase by 3% hydrogen peroxide for 20 min; Blocking buffer (normal goat serum) at 37°C for 30 min; Antibody incubation with (TSG101) Monoclonal Antibody, Unconjugated (TMAB-01911) at 1:200 overnight at 4°C, followed by operating according to SP Kit (Rabbit) instructionsand DAB staining.
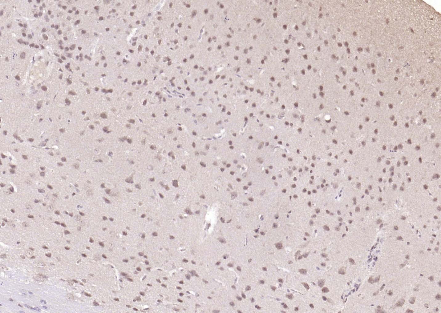
2. Paraformaldehyde-fixed, paraffin embedded (mouse brain); Antigen retrieval by boiling in sodium citrate buffer (pH6.0) for 15 min; Block endogenous peroxidase by 3% hydrogen peroxide for 20 min; Blocking buffer (normal goat serum) at 37°C for 30 min; Antibody incubation with (TSG101) Monoclonal Antibody, Unconjugated (TMAB-01911) at 1:200 overnight at 4°C, followed by operating according to SP Kit (Rabbit) instructionsand DAB staining.
3. 25 μg total protein per Lane of various lysates probed with TSG101 monoclonal antibody, unconjugated (TMAB-01911) at 1:1000 dilution and 4°C overnight incubation. Followed by conjugated secondary antibody incubation at RT for 60 min.
4. 4% Paraformaldehyde-fixed HepG2 (H) cell; Triton X-100 at RT for 20 min; Antibody incubation with (TSG101) monoclonal Antibody, unconjugated (TMAB-01911) 1:100, 90 min at 37°C; followed by conjugated Goat Anti-Rabbit IgG antibody (green) at 37°C for 90 min, DAPI (blue) was used to stain the cell nucleus. PBS instead of the primary antibody was used as the blank control.
5. 25 μg total protein per Lane of various lysates probed with TSG101 monoclonal antibody, unconjugated (TMAB-01911) at 1:1000 dilution and 4°C overnight incubation. Followed by conjugated secondary antibody incubation at RT for 60 min.
verifiedActivityverifiedActivityverifiedActivityverifiedActivityverifiedActivity
应用FCMICC/IFIFIHC-FrIHC-PWB
推荐剂量
WB: 1:500-2000; IHC-P: 1:50-200; IHC-Fr: 1:50-200; ICC/IF: 1:50-200; IF: 1:50-200; FCM: 1:50-100
抗体种类
Monoclonal
宿主来源Rabbit
亚细胞定位Cytoplasm. Membrane; Peripheral membrane protein. Nucleus. Late endosome membrane; Peripheral membrane protein. Note=Mainly cytoplasmic. Membrane-associated when active and soluble when inactive. Depending on the stage of the cell cycle, detected in the nucleus. Colocalized with CEP55 in the midbody during cytokinesis.
组织特异性Heart, brain, placenta, lung, liver, skeletal, kidney and pancreas.
构建方式Recombinant Antibody
纯化方式Protein A purified
性状Liquid
缓冲液0.01M TBS (pH7.4) with 1% BSA, 0.02% Proclin300 and 50% Glycerol.
浓度1 mg/mL
研究背景The protein encoded by this gene belongs to a group of apparently inactive homologs of ubiquitin-conjugating enzymes. The gene product contains a coiled-coil domain that interacts with stathmin, a cytosolic phosphoprotein implicated in tumorigenesis. The protein may play a role in cell growth and differentiation and act as a negative growth regulator. In vitro steady-state expression of this tumor susceptibility gene appears to be important for maintenance of genomic stability and cell cycle regulation. Mutations and alternative splicing in this gene occur in high frequency in breast cancer and suggest that defects occur during breast cancer tumorigenesis and/or progression. [provided by RefSeq, Jul 2008]
抗原信息
免疫原
A synthesized peptide: human TSG101
抗原种属
Human
基因名称
Tsg101
基因ID
蛋白名称
Tumor susceptibility gene 101 protein
Uniprot ID
研究领域
Cell cycle inhibitors,Cell differentiation,Cell Cycle Inhibitors,Cell Cycle Inhibitors,Cell Differentiation,Host Virus Interaction
功能
Component of the ESCRT-I complex, a regulator of vesicular trafficking process. Binds to ubiquitinated cargo proteins and is required for the sorting of endocytic ubiquitinated cargos into multivesicular bodies (MVBs). Mediates the association between the ESCRT-0 and ESCRT-I complex. Required for completion of cytokinesis; the function requires CEP55. May be involved in cell growth and differentiation. Acts as a negative growth regulator. Involved in the budding of many viruses through an interaction with viral proteins that contain a late-budding motif P-[ST]-A-P. This interaction is essential for viral particle budding of numerous retroviruses.
化学信息
分子量Theoretical: 44 kDa. Actual: 44-50 kDa.
储存&溶解度
储存方式Store at -20°C or -80°C for 12 months. Avoid repeated freeze-thaw cycles.
运输方式Shipping with blue ice.

计算器

  • 稀释 计算器
  • 配液 计算器
Related Tags: buy Anti-TSG101 Antibody (3B556) | purchase Anti-TSG101 Antibody (3B556) | Anti-TSG101 Antibody (3B556) cost | order Anti-TSG101 Antibody (3B556) | Anti-TSG101 Antibody (3B556) molecular weight