购物车
  • 全部删除
  • TargetMol
    您的购物车当前为空

Anti-TRIM63 Antibody (5C208)

Rating icon 还可以
产品编号 TMAC-02688
别名 Tripartite motif-containing protein 63, TRIM 63, Striated muscle RING zinc finger protein, SMRZ, RNF 28, RING-type E3 ubiquitin transferase TRIM63, Muscle-specific RING finger protein 1 (MuRF-1, MuRF1), MuRF1, MURF1, Iris RING finger protein, IRF, E3 ubiquitin-protein ligase TRIM63

Anti-TRIM63 Antibody (5C208) 是一种 Mouse 抗体,靶向 TRIM63。Anti-TRIM63 Antibody (5C208) 可用于 FCM,ICC,IHC。

Anti-TRIM63 Antibody (5C208)

Anti-TRIM63 Antibody (5C208)

一键复制产品信息
Rating icon 还可以
产品编号 TMAC-02688 别名 Tripartite motif-containing protein 63, TRIM 63, Striated muscle RING zinc finger protein, SMRZ, RNF 28, RING-type E3 ubiquitin transferase TRIM63, Muscle-specific RING finger protein 1 (MuRF-1, MuRF1), MuRF1, MURF1, Iris RING finger protein, IRF, E3 ubiquitin-protein ligase TRIM63

Anti-TRIM63 Antibody (5C208) 是一种 Mouse 抗体,靶向 TRIM63。Anti-TRIM63 Antibody (5C208) 可用于 FCM,ICC,IHC。

规格价格库存数量
50 μL
¥ 1,480
5日内发货
100 μL
¥ 2,490
5日内发货
大包装 & 定制
加入购物车
TargetMol 的所有产品仅用作科学研究或药证申报,不能被用于人体,我们不向个人提供产品和服务。请您遵守承诺用途,不得违反法律法规规定用于任何其他用途。
实验操作小课堂
常见问题解答
查看更多
联系我们获取更多批次信息
资源下载

产品介绍

生物活性
产品描述
Anti-TRIM63 Antibody (5C208) is a Mouse antibody targeting TRIM63. Anti-TRIM63 Antibody (5C208) can be used in FCM,ICC,IHC.
别名Tripartite motif-containing protein 63, TRIM 63, Striated muscle RING zinc finger protein, SMRZ, RNF 28, RING-type E3 ubiquitin transferase TRIM63, Muscle-specific RING finger protein 1 (MuRF-1, MuRF1), MuRF1, MURF1, Iris RING finger protein, IRF, E3 ubiquitin-protein ligase TRIM63
克隆号
5C208
交叉反应
Human
验证活性
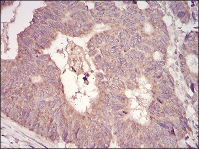
1. Immunohistochemical analysis of paraffin-embedded human rectum cancer tissues using anti-MuRF1 antibody. Counter stained with hematoxylin.
2. Immunohistochemical analysis of paraffin-embedded huamn muscle tissues using anti-MuRF1 antibody. Counter stained with hematoxylin.
3. ICC staining MuRF1(green) and Actin filaments (red) in Hela cells. The nuclear counter stain is DAPI (blue). Cells were fixed in paraformaldehyde, permeabilised with 0.25% Triton X100/PBS.
4. Flow cytometric analysis of Hela cells with MuRF1 antibody at 1/100 dilution (green) compared with an unlabelled control (cells without incubation with primary antibody; red).
verifiedActivityverifiedActivityverifiedActivityverifiedActivity
应用FCMICCIHC
推荐剂量
IHC: 1:50-200; ICC: 1:50-200; FCM: 1:50-100
抗体种类
Monoclonal
宿主来源Mouse
构建方式Hybridoma Monoclonal Antibody
纯化方式ProA affinity purified
性状Liquid
缓冲液1*TBS (pH7.4), 1%BSA, 40%Glycerol. Preservative: 0.05% Sodium Azide.
研究背景Muscle specific RING finger protein (MuRF1) is a sarcomere-associated protein that is upregulated by conditions that provoke atrophy. Pharmacological or genetic inhibition of the IKKbeta/NF-kappaB/MuRF1 pathway reverses muscle atrophy, which presents MuRF as a target for clinical intervention. MuRF1 is a key regulator of the PKC-dependent hypertrophic response and can blunt cardiomyocyte hypertrophy, which may have important implications in the pathophysiology of clinical cardiac hypertrophy. MuRF1 directly associates with Titin kinase and influences microtubule-dependent signaling pathways in striated muscle and iris. MuRF1 upregulation is an indicator for skeletal muscle atrophy mechanisms that utilize ubiquitin-dependent proteolysis. MuRF1 transcript levels are high in situations where there is an overabundance of reactive oxygen species, such as cancer, AIDS and sepsis.
偶联与修饰
偶联
Unconjugated
抗原信息
免疫原
Recombinant Protein
Uniprot ID
化学信息
分子量Theoretical: 40 kDa.
存储&运输
储存方式Store at -20°C or -80°C for 12 months. Avoid repeated freeze-thaw cycles.
运输方式Shipping with blue ice.

计算器

  • 稀释 计算器

关键词

评论列表

4个月前
5.0
Rating icon 很棒

评论内容

Related Tags: buy Anti-TRIM63 Antibody (5C208) | purchase Anti-TRIM63 Antibody (5C208) | Anti-TRIM63 Antibody (5C208) cost | order Anti-TRIM63 Antibody (5C208) | Anti-TRIM63 Antibody (5C208) molecular weight