购物车
  • TargetMol
    您的购物车当前为空

Anti-TREM-1 Polyclonal Antibody

Synonyms: triggering receptor expressed on myeloid cells 1
货号 TMAB-01891 一键复制产品信息
Rating icon 还可以

Anti-TREM-1 Polyclonal Antibody 是一种 Rabbit 抗体,靶向 TREM-1。Anti-TREM-1 Polyclonal Antibody 可用于 FCM, IF, IHC-Fr, IHC-P, WB。

Anti-TREM-1 Polyclonal Antibody

一键复制产品信息
Rating icon 还可以
货号 TMAB-01891

别名 triggering receptor expressed on myeloid cells 1

Anti-TREM-1 Polyclonal Antibody 是一种 Rabbit 抗体,靶向 TREM-1。Anti-TREM-1 Polyclonal Antibody 可用于 FCM, IF, IHC-Fr, IHC-P, WB。

Anti-TREM-1 Polyclonal Antibody
规格价格库存数量
50 μL
¥ 1,165
5日内发货
100 μL
¥ 1,975
5日内发货
200 μL
¥ 2,795
5日内发货
库存状态实时更新,以官网显示为准,现货产品可直接加购物车下单
大包装 & 定制
加入购物车
TargetMol的所有产品仅用作科学研究或药证申报,不能被用于人体,我们不向个人提供产品和服务。请您遵守承诺用途,不得违反法律法规规定用于任何其他用途。
实验操作小课堂
常见问题解答
查看更多

资源下载:产品操作手册

产品介绍


生物活性
产品描述
Anti-TREM-1 Polyclonal Antibody is a Rabbit antibody targeting TREM-1. Anti-TREM-1 Polyclonal Antibody can be used in FCM, IF, IHC-Fr, IHC-P, WB.
别名triggering receptor expressed on myeloid cells 1
Ig Type
IgG
反应种属
Human (predicted:Rat)
验证活性
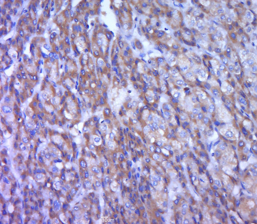
1. Paraformaldehyde-fixed, paraffin embedded (human liver carcinoma); Antigen retrieval by boiling in sodium citrate buffer (pH6.0) for 15 min; Block endogenous peroxidase by 3% hydrogen peroxide for 20 min; Blocking buffer (normal goat serum) at 37°C for 30 min; Antibody incubation with (TREM1) Polyclonal Antibody, Unconjugated (TMAB-01891) at 1:400 overnight at 4°C, followed by a conjugated secondary for 20 min and DAB staining.
2. Primary Antibody: Rabbit anti-TREM1 antibody Supplier catalog number: TMAB-01891 Supplier: Bioss Isotype Control Antibody: Rabbit IgG Secondary Antibody: f (ab/)2 fragment goat anti-rabbit IgG-PE Supplier: Jackson Lab. Positive control: U937 (4% paraformaldehyde for 10 min at room temperature)
3. Sample:
hcclm3 (Human) Cell Lysate at 30 μg
K562 (Human) Cell Lysate at 30 μg
Primary: Anti-TREM1 (TMAB-01891) at 1/300 dilution
Secondary: IRDye800CW Goat Anti-Rabbit IgG at 1/20000 dilution
Predicted band size: 24 kDa
Observed band size: 21 kDa
4. Primary Antibody: Rabbit anti-TREM1 antibody
Supplier catalog number: TMAB-01891
Supplier: Bioss
Isotype Control Antibody: Rabbit IgG
Secondary Antibody: f (ab/)2 fragment goat anti-rabbit IgG-PE
Supplier: Jackson Lab.
Positive control: U937 (4% paraformaldehyde for 10 min at room temperature)
verifiedActivityverifiedActivityverifiedActivityverifiedActivity
应用FCMIFIHC-FrIHC-PWB
推荐剂量
WB: 1:500-2000; IHC-P: 1:100-500; IHC-Fr: 1:100-500; IF: 1:100-500; FCM: 1μg/Test
抗体种类
Polyclonal
宿主来源Rabbit
亚细胞定位Isoform 1: Cell membrane; Single-pass type I membrane protein (Potential). Isoform 2: Secreted (Potential).
组织特异性Highly expressed in adult liver, lung and spleen than in corresponding fetal tissue. Also expressed in the lymph node, placenta, spinal cord and heart tissues. Expression is more elevated in peripheral blood leukocytes than in the bone marrow and in norma
构建方式Polyclonal Antibody
纯化方式Protein A purified
性状Liquid
缓冲液0.01M TBS (pH7.4) with 1% BSA, 0.02% Proclin300 and 50% Glycerol.
浓度1 mg/mL
研究背景This gene encodes a receptor belonging to the Ig superfamily that is expressed on myeloid cells. This protein amplifies neutrophil and monocyte-mediated inflammatory responses triggered by bacterial and fungal infections by stimulating release of pro-inflammatory chemokines and cytokines, as well as increased surface expression of cell activation markers. Alternatively spliced transcript variants encoding different isoforms have been noted for this gene.[provided by RefSeq, Jun 2011].
抗原信息
免疫原
KLH conjugated synthetic peptide: human TREM1
抗原种属
Human
基因名称
TREM1
基因ID
蛋白名称
Triggering receptor expressed on myeloid cells 1
Uniprot ID
研究领域
Macrophage / Inflamm.
功能
Stimulates neutrophil and monocyte-mediated inflammatory responses. Triggers release of pro-inflammatory chemokines and cytokines, as well as increased surface expression of cell activation markers. Amplifier of inflammatory responses that are triggered by bacterial and fungal infections and is a crucial mediator of septic shock (By similarity).
化学信息
分子量Theoretical: 24 kDa. Actual: 21 kDa.
储存&溶解度
储存方式Store at -20°C or -80°C for 12 months. Avoid repeated freeze-thaw cycles.
运输方式Shipping with blue ice.

计算器

  • 稀释 计算器
  • 配液 计算器
Related Tags: buy Anti-TREM-1 Polyclonal Antibody | purchase Anti-TREM-1 Polyclonal Antibody | Anti-TREM-1 Polyclonal Antibody cost | order Anti-TREM-1 Polyclonal Antibody | Anti-TREM-1 Polyclonal Antibody molecular weight