购物车
  • TargetMol
    您的购物车当前为空

Anti-Transferrin Receptor/TFRC Antibody (4M349)

Synonyms: Transferrin receptor protein 1, T9, p90
货号 TMAC-04109 一键复制产品信息
Rating icon 还可以

Anti-Transferrin Receptor/TFRC Antibody (4M349) 是一种 Rabbit 抗体,靶向 Transferrin Receptor/TFRC。Anti-Transferrin Receptor/TFRC Antibody (4M349) 可用于 FCM,IHC,IP,WB。

Anti-Transferrin Receptor/TFRC Antibody (4M349)

一键复制产品信息
Rating icon 还可以
货号 TMAC-04109

别名 Transferrin receptor protein 1, T9, p90

Anti-Transferrin Receptor/TFRC Antibody (4M349) 是一种 Rabbit 抗体,靶向 Transferrin Receptor/TFRC。Anti-Transferrin Receptor/TFRC Antibody (4M349) 可用于 FCM,IHC,IP,WB。

Anti-Transferrin Receptor/TFRC Antibody (4M349)
规格价格库存数量
50 μL
¥ 1,495
5日内发货
100 μL
¥ 2,480
5日内发货
库存状态实时更新,以官网显示为准,现货产品可直接加购物车下单
大包装 & 定制
加入购物车
TargetMol的所有产品仅用作科学研究或药证申报,不能被用于人体,我们不向个人提供产品和服务。请您遵守承诺用途,不得违反法律法规规定用于任何其他用途。
实验操作小课堂
常见问题解答
查看更多

资源下载:产品操作手册

产品介绍


生物活性
产品描述
Anti-Transferrin Receptor/TFRC Antibody (4M349) is a Rabbit antibody targeting Transferrin Receptor/TFRC. Anti-Transferrin Receptor/TFRC Antibody (4M349) can be used in FCM,IHC,IP,WB.
别名Transferrin receptor protein 1, T9, p90
Ig Type
IgG
克隆号
4M349
反应种属
Human,Mouse,Rat
验证活性
1. Western blot analysis of Transferrin Receptor on mouse placenta lysates using anti-Transferrin Receptor antibody at 1/1,000 dilution.
2. Immunohistochemical analysis of paraffin-embedded rat brain tissue using anti-Transferrin Receptor antibody. Counter stained with hematoxylin.
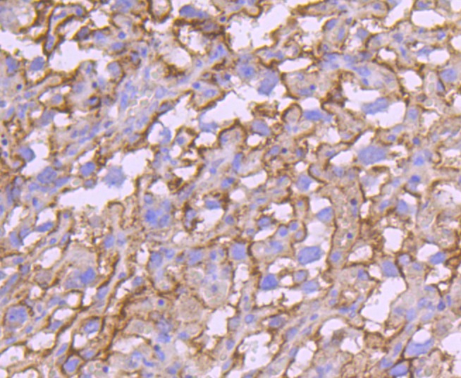
3. Immunohistochemical analysis of paraffin-embedded human lung cancer tissue using anti-Transferrin Receptor antibody. Counter stained with hematoxylin.
4. Immunohistochemical analysis of paraffin-embedded mouse brain tissue using anti-Transferrin Receptor antibody. Counter stained with hematoxylin.
5. Immunohistochemical analysis of paraffin-embedded mouse placenta tissue using anti-Transferrin Receptor antibody. Counter stained with hematoxylin.
6. Flow cytometric analysis of Hela cells with Transferrin Receptor antibody at 1/50 dilution (red) compared with an unlabelled control (cells without incubation with primary antibody; black). Alexa Fluor 488-conjugated goat anti rabbit IgG was used as the secondary antibody.
verifiedActivityverifiedActivityverifiedActivityverifiedActivityverifiedActivityverifiedActivity
应用FCMIHCIPWB
推荐剂量
WB: 1:1000-2000; IHC: 1:50-200; FCM: 1:50-100
抗体种类
Monoclonal
宿主来源Rabbit
构建方式Recombinant Antibody
纯化方式ProA affinity purified
性状Liquid
缓冲液1*TBS (pH7.4), 1%BSA, 40%Glycerol. Preservative: 0.05% Sodium Azide.
研究背景CD71, also known as the transferrin receptor (TFR), is a type II membrane glycoprotein that exists as a disulfide-linked homodimer of two identical subunits. CD71 binds to two molecules of transferrin and a serum iron-transport protein, and directs the cellular uptake of iron via receptor-mediated endocytosis. CD71 is expressed, typically at high levels, on all proliferating cells, reticulocytes and erythroid precursors. It is not expressed on resting leukocytes, but is upregulated upon activation of lymphocytes, monocytes and macrophages. CD71 is also found on most dividing cells and on brain endothelium. A second transferrin receptor, TFR2, also mediates the uptake of transferrin-bound iron. TFR2 is a two-subunit homodimer and is highly expressed in liver as well as in hepatocytes and erythroid precursors. Mutations in the TFR2 gene result in hereditary hemochromatosis type III (HFE3), an iron overloading disorder predominant in Caucasians.
偶联与修饰
偶联
Unconjugated
抗原信息
免疫原
Recombinant Protein
Uniprot ID
化学信息
分子量Theoretical: 85 kDa.
储存&溶解度
储存方式Store at -20°C or -80°C for 12 months. Avoid repeated freeze-thaw cycles.
运输方式Shipping with blue ice.

计算器

  • 稀释 计算器
  • 配液 计算器
Related Tags: buy Anti-Transferrin Receptor/TFRC Antibody (4M349) | purchase Anti-Transferrin Receptor/TFRC Antibody (4M349) | Anti-Transferrin Receptor/TFRC Antibody (4M349) cost | order Anti-Transferrin Receptor/TFRC Antibody (4M349) | Anti-Transferrin Receptor/TFRC Antibody (4M349) molecular weight