购物车
  • TargetMol
    您的购物车当前为空

Anti-TRAIL R2/DR5/TNFRSF10B Antibody (7L7)

Synonyms: Tumor necrosis factor receptor superfamily member 10B, TNF-related apoptosis-inducing ligand receptor 2, Death receptor 5
货号 TMAC-01181 一键复制产品信息
Rating icon 还可以

Anti-TRAIL R2/DR5/TNFRSF10B Antibody (7L7) 是一种 Rabbit 抗体,靶向 TRAIL R2/DR5/TNFRSF10B。Anti-TRAIL R2/DR5/TNFRSF10B Antibody (7L7) 可用于 FCM,IHC,IP,WB。

Anti-TRAIL R2/DR5/TNFRSF10B Antibody (7L7)

一键复制产品信息
Rating icon 还可以
货号 TMAC-01181

别名 Tumor necrosis factor receptor superfamily member 10B, TNF-related apoptosis-inducing ligand receptor 2, Death receptor 5

Anti-TRAIL R2/DR5/TNFRSF10B Antibody (7L7) 是一种 Rabbit 抗体,靶向 TRAIL R2/DR5/TNFRSF10B。Anti-TRAIL R2/DR5/TNFRSF10B Antibody (7L7) 可用于 FCM,IHC,IP,WB。

Anti-TRAIL R2/DR5/TNFRSF10B Antibody (7L7)
规格价格库存数量
50 μL
¥ 1,485
5日内发货
100 μL
¥ 2,490
5日内发货
库存状态实时更新,以官网显示为准,现货产品可直接加购物车下单
大包装 & 定制
加入购物车
TargetMol的所有产品仅用作科学研究或药证申报,不能被用于人体,我们不向个人提供产品和服务。请您遵守承诺用途,不得违反法律法规规定用于任何其他用途。
实验操作小课堂
常见问题解答
查看更多

资源下载:产品操作手册

产品介绍


生物活性
产品描述
Anti-TRAIL R2/DR5/TNFRSF10B Antibody (7L7) is a Rabbit antibody targeting TRAIL R2/DR5/TNFRSF10B. Anti-TRAIL R2/DR5/TNFRSF10B Antibody (7L7) can be used in FCM,IHC,IP,WB.
别名Tumor necrosis factor receptor superfamily member 10B, TNF-related apoptosis-inducing ligand receptor 2, Death receptor 5
Ig Type
IgG
克隆号
7L7
反应种属
Human
验证活性
1. Western blot analysis of DR5 on HL-60 cell using anti-DR5 antibody at 1/1,000 dilution.
2. Immunohistochemical analysis of paraffin-embedded human tonsil tissue using anti-DR5 antibody. Counter stained with hematoxylin.
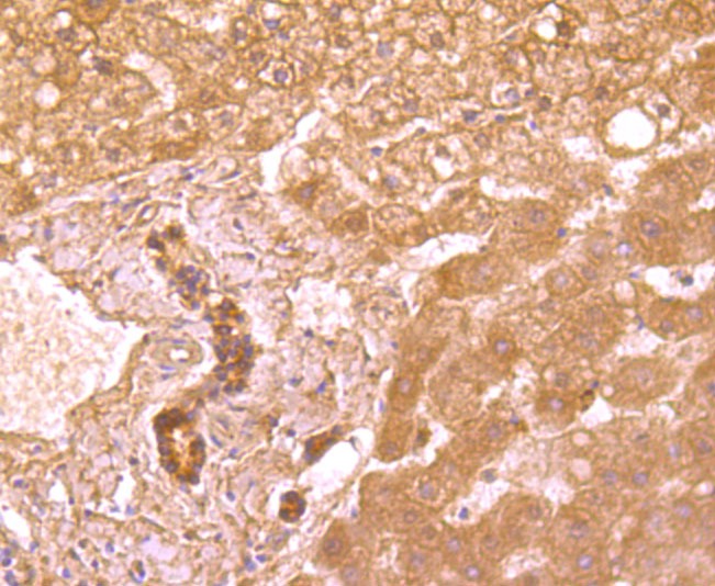
3. Immunohistochemical analysis of paraffin-embedded human liver tissue using anti-DR5 antibody. Counter stained with hematoxylin.
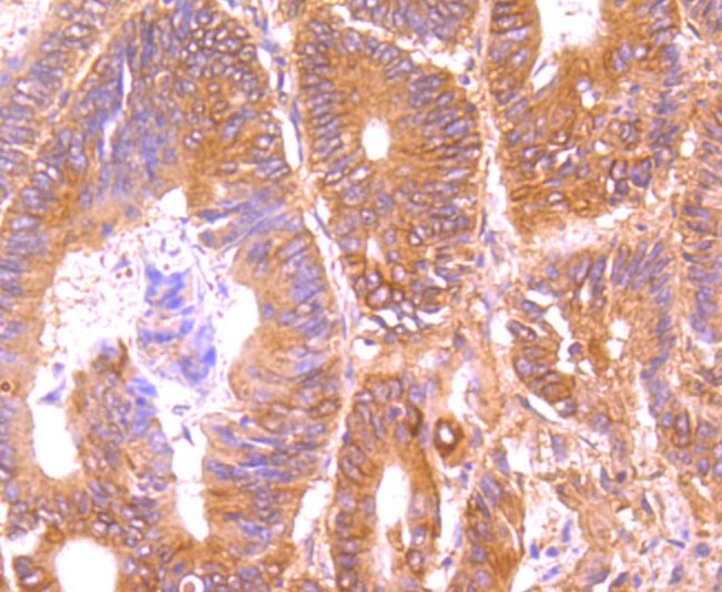
4. Immunohistochemical analysis of paraffin-embedded human colon cancer tissue using anti-DR5 antibody. Counter stained with hematoxylin.
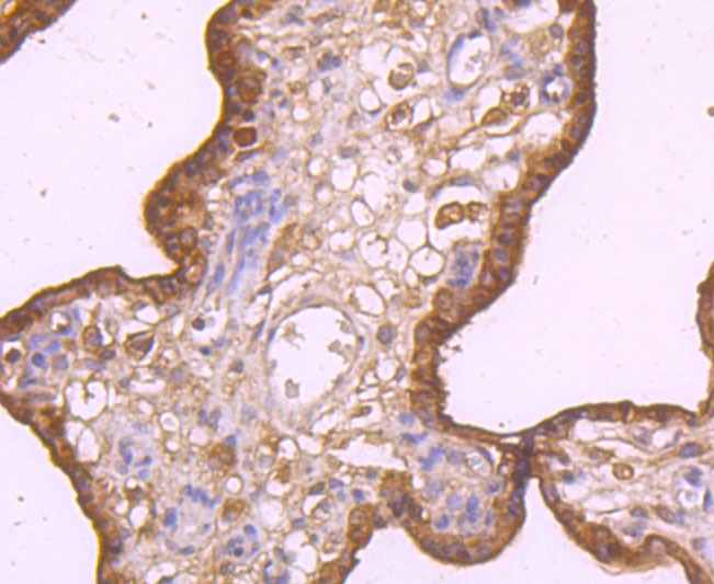
5. Immunohistochemical analysis of paraffin-embedded human placenta tissue using anti-DR5 antibody. Counter stained with hematoxylin.
6. Flow cytometric analysis of SW480 cells with DR5 antibody at 1/100 dilution (red) compared with an unlabelled control (cells without incubation with primary antibody; black).
verifiedActivityverifiedActivityverifiedActivityverifiedActivityverifiedActivityverifiedActivity
应用FCMIHCIPWB
推荐剂量
WB: 1:500-1000; IHC: 1:50-200; FCM: 1:50-100
抗体种类
Monoclonal
宿主来源Rabbit
构建方式Recombinant Antibody
纯化方式ProA affinity purified
性状Liquid
缓冲液1*TBS (pH7.4), 1%BSA, 40%Glycerol. Preservative: 0.05% Sodium Azide.
研究背景Tumor necrosis factor (TNF) is a pleiotropic cytokine whose function is mediated by two distinct cell surface receptors, designated TNF-R1 and TNF-R2, which are expressed on most cell types. TNF function is primarily mediated through TNF-R1 signaling. Both receptors belong to the growing TNF receptor superfamily which includes FAS antigen and CD40. TNF-R1 contains a cytoplasmic motif, termed the "death domain," that has been found to be necessary for the transduction of the apoptotic signal. The death domain is also found in several other receptors, including FAS, DR2 (or TRUNDD), DR3 (Death Receptor 3), DR4 and DR5. TRUNDD, DR4 and DR5 are receptors for the apoptosis-inducing cytokine TRAIL. A non-death domain-containing receptor, designated decoy receptor (DcR1 or TRID), also specifically associates with TRAIL and may play a role in cellular resistance to apoptotic stimuli.
偶联与修饰
偶联
Unconjugated
抗原信息
免疫原
Recombinant Protein
Uniprot ID
化学信息
分子量Theoretical: 48 kDa.
储存&溶解度
储存方式Store at -20°C or -80°C for 12 months. Avoid repeated freeze-thaw cycles.
运输方式Shipping with blue ice.

计算器

  • 稀释 计算器
  • 配液 计算器
Related Tags: buy Anti-TRAIL R2/DR5/TNFRSF10B Antibody (7L7) | purchase Anti-TRAIL R2/DR5/TNFRSF10B Antibody (7L7) | Anti-TRAIL R2/DR5/TNFRSF10B Antibody (7L7) cost | order Anti-TRAIL R2/DR5/TNFRSF10B Antibody (7L7) | Anti-TRAIL R2/DR5/TNFRSF10B Antibody (7L7) molecular weight