购物车
  • TargetMol
    您的购物车当前为空

Anti-TOMM20 Antibody (6C702)

Synonyms: Translocase of outer mitochondrial membrane 20 homolog(yeast), Translocase of outer mitochondrial membrane 20 homolog type II, TOM20, TOM 20, Outer mitochondrial membrane receptor Tom20, MOM19, Mitochondrial import receptor subunit TOM20 homolog, Mitochondrial 20 kDa outer membrane protein, MGC117367, MAS20, KIAA0016
货号 TMAC-04077 一键复制产品信息
Rating icon 还可以

Anti-TOMM20 Antibody (6C702) 是一种 Rabbit 抗体,靶向 TOMM20。Anti-TOMM20 Antibody (6C702) 可用于 FCM,ICC/IF,IHC,IP,WB。

Anti-TOMM20 Antibody (6C702)

一键复制产品信息
Rating icon 还可以
货号 TMAC-04077

别名 Translocase of outer mitochondrial membrane 20 homolog(yeast), Translocase of outer mitochondrial membrane 20 homolog type II, TOM20, TOM 20, Outer mitochondrial membrane receptor Tom20, MOM19, Mitochondrial import receptor subunit TOM20 homolog, Mitochondrial 20 kDa outer membrane protein, MGC117367, MAS20, KIAA0016

Anti-TOMM20 Antibody (6C702) 是一种 Rabbit 抗体,靶向 TOMM20。Anti-TOMM20 Antibody (6C702) 可用于 FCM,ICC/IF,IHC,IP,WB。

Anti-TOMM20 Antibody (6C702)
规格价格库存数量
50 μL
¥ 1,485
5日内发货
100 μL
¥ 2,480
5日内发货
库存状态实时更新,以官网显示为准,现货产品可直接加购物车下单
大包装 & 定制
加入购物车
TargetMol的所有产品仅用作科学研究或药证申报,不能被用于人体,我们不向个人提供产品和服务。请您遵守承诺用途,不得违反法律法规规定用于任何其他用途。
实验操作小课堂
常见问题解答
查看更多

资源下载:产品操作手册

产品介绍


生物活性
产品描述
Anti-TOMM20 Antibody (6C702) is a Rabbit antibody targeting TOMM20. Anti-TOMM20 Antibody (6C702) can be used in FCM,ICC/IF,IHC,IP,WB.
别名Translocase of outer mitochondrial membrane 20 homolog(yeast), Translocase of outer mitochondrial membrane 20 homolog type II, TOM20, TOM 20, Outer mitochondrial membrane receptor Tom20, MOM19, Mitochondrial import receptor subunit TOM20 homolog, Mitochondrial 20 kDa outer membrane protein, MGC117367, MAS20, KIAA0016
Ig Type
IgG
克隆号
6C702
反应种属
Human,Mouse,Rat
验证活性
1. Western blot analysis of TOMM20 on different lysates using anti-TOMM20 antibody at 1/1,000 dilution. Positive control: Lane 1: Hela, Lane 2: MCF-7, Lane 3: F9, Lane 4: PC12.
2. Immunohistochemical analysis of paraffin-embedded human liver cancer tissue using anti-TOMM20 antibody. Counter stained with hematoxylin.
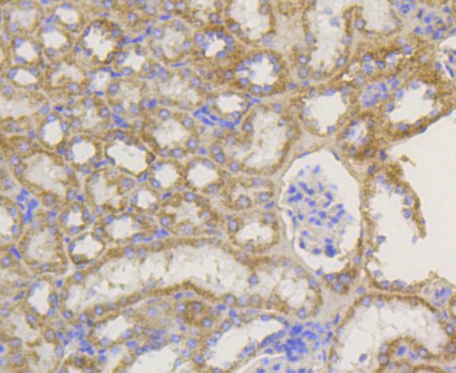
3. Immunohistochemical analysis of paraffin-embedded human kidney tissue using anti-TOMM20 antibody. Counter stained with hematoxylin.
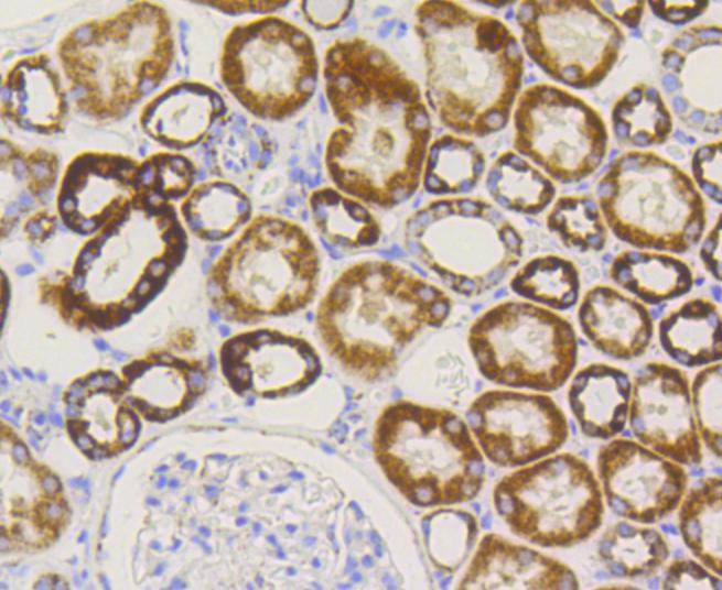
4. Immunohistochemical analysis of paraffin-embedded mouse kidney tissue using anti-TOMM20 antibody. Counter stained with hematoxylin.
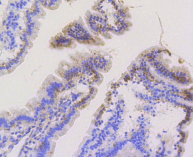
5. Immunohistochemical analysis of paraffin-embedded mouse small intestine tissue using anti-TOMM20 antibody. Counter stained with hematoxylin. The nuclear counter stain is DAPI (blue).
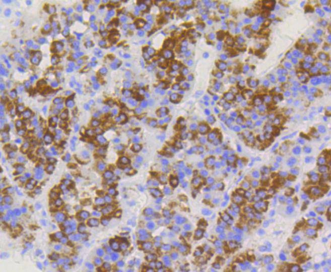
6. Immunohistochemical analysis of paraffin-embedded mouse heart tissue using anti-TOMM20 antibody. Counter stained with hematoxylin.
7. ICC staining TOMM20 in Hela cells (green). The nuclear counter stain is DAPI (blue). Cells were fixed in paraformaldehyde, permeabilised with 0.25% Triton X100/PBS.
8. ICC staining TOMM20 in HepG2 cells (green). The nuclear counter stain is DAPI (blue). Cells were fixed in paraformaldehyde, permeabilised with 0.25% Triton X100/PBS.
9. ICC staining TOMM20 in PC12 cells (green). The nuclear counter stain is DAPI (blue). Cells were fixed in paraformaldehyde, permeabilised with 0.25% Triton X100/PBS.
10. Flow cytometric analysis of Hela cells with TOMM20 antibody at 1/50 dilution (blue) compared with an unlabelled control (cells without incubation with primary antibody; red). Alexa Fluor 488-conjugated goat anti rabbit IgG was used as the secondary antibody.
verifiedActivityverifiedActivityverifiedActivityverifiedActivityverifiedActivityverifiedActivityverifiedActivityverifiedActivityverifiedActivityverifiedActivity
应用FCMICC/IFIHCIPWB
推荐剂量
WB: 1:1000-2000; IHC: 1:50-200; ICC/IF: 1:50-200; FCM: 1:50-100
抗体种类
Monoclonal
宿主来源Rabbit
构建方式Recombinant Antibody
纯化方式ProA affinity purified
性状Liquid
缓冲液1*TBS (pH7.4), 1%BSA, 40%Glycerol. Preservative: 0.05% Sodium Azide.
研究背景The mitochondrial preprotein translocases of the outer membrane (Tom) is a multisubunit protein complex that facilitates the import of nucleus-encoded precursor proteins across the mitochondrial outer membrane. The Tom machinery consists of import receptors for the initial binding of cytosolically synthesized preproteins and a general import pore (GIP) for the membrane translocation of various preproteins into the mitochondria. The import receptors include Tom20 and Tom22, which form a heteromeric receptor complex that initiates the insertion of newly synthesized proteins into the outer membrane and then directs the precursor protein into the GIP. In yeast, Tom22 is the essential component of the import receptor complex as it functions as both a receptor for the preproteins and serves as a docking point for both Tom20 and the GIP. Tom22 directly associates with Tom40, the major component of the GIP, and thereby forms a stable interaction between the two core complexes to facilitate the fluid movement of preproteins into the mitochondria. The insertion of Tom40 into the Tom machinery requires the initial binding of Tom40 to Tom20 and leads to the efficient incorporation of Tom40 precursors into preexisting Tom complexes.
偶联与修饰
偶联
Unconjugated
抗原信息
免疫原
Recombinant Protein
Uniprot ID
化学信息
分子量Theoretical: 16 kDa.
储存&溶解度
储存方式Store at -20°C or -80°C for 12 months. Avoid repeated freeze-thaw cycles.
运输方式Shipping with blue ice.

计算器

  • 稀释 计算器
  • 配液 计算器
Related Tags: buy Anti-TOMM20 Antibody (6C702) | purchase Anti-TOMM20 Antibody (6C702) | Anti-TOMM20 Antibody (6C702) cost | order Anti-TOMM20 Antibody (6C702) | Anti-TOMM20 Antibody (6C702) molecular weight