购物车
  • TargetMol
    您的购物车当前为空

Anti-TnTc Polyclonal Antibody

Synonyms: Troponin T, cardiac muscle, TnTc, Tnnt2, Cardiac muscle troponin T (cTnT), cardiac muscle
货号 TMAB-01877 一键复制产品信息
Rating icon 还可以
202603开学季活动

Anti-TnTc Polyclonal Antibody 是一种 Rabbit 抗体,靶向 TnTc。Anti-TnTc Polyclonal Antibody 可用于 FCM,ICC/IF,IF,IHC-Fr,IHC-P,WB。

Anti-TnTc Polyclonal Antibody

一键复制产品信息
Rating icon 还可以
202603开学季活动
货号 TMAB-01877

别名 Troponin T, cardiac muscle, TnTc, Tnnt2, Cardiac muscle troponin T (cTnT), cardiac muscle

Anti-TnTc Polyclonal Antibody 是一种 Rabbit 抗体,靶向 TnTc。Anti-TnTc Polyclonal Antibody 可用于 FCM,ICC/IF,IF,IHC-Fr,IHC-P,WB。

Anti-TnTc Polyclonal Antibody
规格价格库存数量
50 μL
¥ 1,170
5日内发货
100 μL
¥ 1,960
5日内发货
200 μL
¥ 2,795
5日内发货
库存状态实时更新,以官网显示为准,现货产品可直接加购物车下单
大包装 & 定制
加入购物车

TargetMol的所有产品仅用作科学研究或药证申报,不能被用于人体,我们不向个人提供产品和服务。请您遵守承诺用途,不得违反法律法规规定用于任何其他用途。

实验操作小课堂
常见问题解答
查看更多

选择批次:
颜色: 无色透明
性状: Liquid
资源下载: COA产品操作手册

产品介绍


生物活性
产品描述
Anti-TnTc Polyclonal Antibody is a Rabbit antibody targeting TnTc. Anti-TnTc Polyclonal Antibody can be used in FCM,ICC/IF,IF,IHC-Fr,IHC-P,WB.
别名
Troponin T, cardiac muscle, TnTc, Tnnt2, Cardiac muscle troponin T (cTnT), cardiac muscle
Ig Type
IgG
反应种属
Human,Mouse,Rat (predicted:Dog,Pig,Cow)
验证活性
1. Sample:
H9C2 (Rat) Cell Lysate at 30 μg
Primary: Anti-alpha smooth muscle Actin (TMAB-01877) at 1/500 dilution
Secondary: IRDye800CW Goat Anti-Rabbit IgG at 1/20000 dilution
Predicted band size: 36 kDa
Observed band size: 36 kDa
2. Blank control: U-2OS.
Primary Antibody (green line): Rabbit Anti-TNNT2 antibody (TMAB-01877)
Dilution: 1 μg/10^6 cells;
Isotype Control Antibody (orange line): Rabbit IgG.
Secondary Antibody: Goat anti-rabbit IgG-AF647
Dilution: 1 μg/test.
Protocol
The cells were fixed with 4% PFA (10 min at room temperature) and then permeabilized with 0.1% PBST for 20 min at-20°C. The cells were then incubated in 5% BSA to block non-specific protein-protein interactions for 30 min at at room temperature. Cells stained with Primary Antibody for 30 min at room temperature. The secondary antibody used for 40 min at room temperature.
3. Cell: Neonatal rat ventricular cardiomyocytes; Dilution: 1:400; Incubation: Anti-Cardiac Troponin T Antibody, unconjugated (TMAB-01877); DAPI was used to stain the cell nucleus. The image is provided by Tongji University.
4. Positive control: H9C2 cells
Concebtration: 2 μg/10^6 cells
Incubation conditions: Avoid light , 30 minutes on the ice.
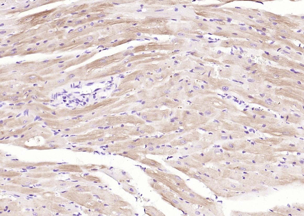
5. Tissue/cell: rat heart tissue; 4% Paraformaldehyde-fixed and paraffin-embedded;
Antigen retrieval: citrate buffer (0.01M, pH6.0), Boiling bathing for 15 min; Block endogenous peroxidase by 3% Hydrogen peroxide for 30 min; Blocking buffer (normal goat serum) at 37°C for 20 min;
Incubation: Anti-TNNT2 Polyclonal Antibody, Unconjugated (TMAB-01877) 1:500, overnight at 4°C, followed by conjugation to the secondary antibody and DAb staining.
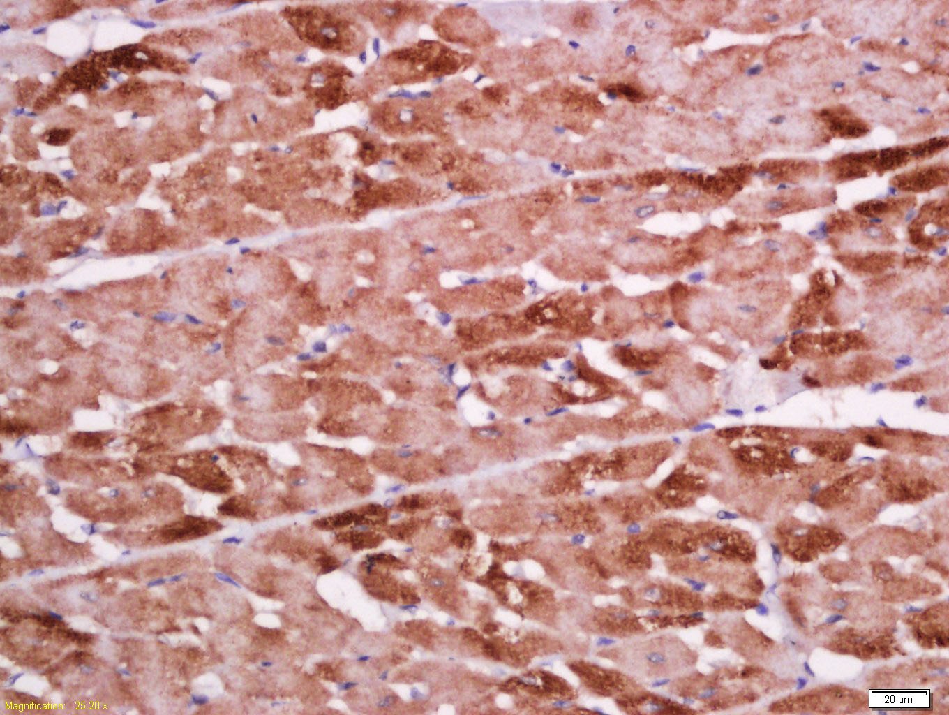
6. Tissue/cell: rat heart tissue;4% Paraformaldehyde-fixed and paraffin-embedded;
Antigen retrieval: citrate buffer (0.01M, pH6.0), Boiling bathing for 15 min; Blocking buffer (normal goat serum) at 37°C for 20 min;
Incubation: Anti-TNNT2 Polyclonal Antibody, Unconjugated 1:500, overnight at 4°C; The secondary antibody was Goat Anti-Rabbit IgG, Cy3 conjugated used at 1:200 dilution for 40 minutes at 37°C. DAPI (5 μg/ml,blue) was used to stain the cell nucleus.
7. Paraformaldehyde-fixed, paraffin embedded (mouse heart); Antigen retrieval by boiling in sodium citrate buffer (pH6.0) for 15 min; Block endogenous peroxidase by 3% hydrogen peroxide for 20 min; Blocking buffer (normal goat serum) at 37°C for 30 min; Antibody incubation with (Cardiac Troponin T) Polyclonal Antibody, Unconjugated (TMAB-01877) at 1:200 overnight at 4°C, followed by operating according to SP Kit (Rabbit) instructionsand DAB staining.
verifiedActivityverifiedActivityverifiedActivityverifiedActivityverifiedActivityverifiedActivityverifiedActivity
应用FCMICC/IFIFIHC-FrIHC-PWB
推荐剂量
WB: 1:500-2000; IHC-P: 1:100-500; IHC-Fr: 1:100-500; ICC/IF: 1:100-500; IF: 1:100-500; FCM: 1μg/Test
抗体种类
Polyclonal
宿主来源Rabbit
亚细胞定位Cytoplasm.
组织特异性Heart. The fetal heart shows a greater expression in the atrium than in the ventricle, while the adult heart shows a greater expression in the ventricle than in the atrium. Isoform 6 predominates in normal adult heart. Isoforms 1, 7 and 8 are expressed in
构建方式Polyclonal Antibody
纯化方式Protein A purified
性状Liquid
缓冲液0.01M TBS (pH7.4) with 1% BSA, 0.02% Proclin300 and 50% Glycerol.
浓度1 mg/mL
研究背景The protein encoded by this gene is the tropomyosin-binding subunit of the troponin complex, which is located on the thin filament of striated muscles and regulates muscle contraction in response to alterations in intracellular calcium ion concentration. Mutations in this gene have been associated with familial hypertrophic cardiomyopathy as well as with dilated cardiomyopathy. Transcripts for this gene undergo alternative splicing that results in many tissue-specific isoforms, however, the full-length nature of some of these variants has not yet been determined. [provided by RefSeq].
抗原信息
免疫原
KLH conjugated synthetic peptide: human Cardiac Troponin T
抗原种属
Human
基因名称
TNNT2
基因ID
蛋白名称
Troponin T, cardiac muscle
Uniprot ID
研究领域
Cardiomyocytes,Troponin,Troponin,Myogenesis
功能
Troponin T is the tropomyosin-binding subunit of troponin, the thin filament regulatory complex which confers calcium-sensitivity to striated muscle actomyosin ATPase activity.
化学信息
分子量Theoretical: 36 kDa. Actual: 36 kDa.
储存&溶解度
储存方式Store at -20°C or -80°C for 12 months. Avoid repeated freeze-thaw cycles.
运输方式Shipping with blue ice.

计算器

  • 稀释 计算器
  • 配液 计算器

关键词

Related Tags: buy Anti-TnTc Polyclonal Antibody | purchase Anti-TnTc Polyclonal Antibody | Anti-TnTc Polyclonal Antibody cost | order Anti-TnTc Polyclonal Antibody | Anti-TnTc Polyclonal Antibody molecular weight