购物车
  • TargetMol
    您的购物车当前为空

Anti-TNF RII Antibody (5O99)

Synonyms: Tumor necrosis factor receptor type II, Tumor necrosis factor receptor superfamily member 1B, Tumor necrosis factor receptor 2, p80 TNF-alpha receptor, p75
货号 TMAC-04065 一键复制产品信息
Rating icon 还可以

Anti-TNF RII Antibody (5O99) 是一种 Rabbit 抗体,靶向 TNF RII。Anti-TNF RII Antibody (5O99) 可用于 FCM,ICC/IF,IHC,IP,WB。

Anti-TNF RII Antibody (5O99)

一键复制产品信息
Rating icon 还可以
货号 TMAC-04065

别名 Tumor necrosis factor receptor type II, Tumor necrosis factor receptor superfamily member 1B, Tumor necrosis factor receptor 2, p80 TNF-alpha receptor, p75

Anti-TNF RII Antibody (5O99) 是一种 Rabbit 抗体,靶向 TNF RII。Anti-TNF RII Antibody (5O99) 可用于 FCM,ICC/IF,IHC,IP,WB。

Anti-TNF RII Antibody (5O99)
规格价格库存数量
50 μL
¥ 1,480
5日内发货
100 μL
¥ 2,485
5日内发货
库存状态实时更新,以官网显示为准,现货产品可直接加购物车下单
大包装 & 定制
加入购物车
TargetMol的所有产品仅用作科学研究或药证申报,不能被用于人体,我们不向个人提供产品和服务。请您遵守承诺用途,不得违反法律法规规定用于任何其他用途。
实验操作小课堂
常见问题解答
查看更多

资源下载:产品操作手册

产品介绍


生物活性
产品描述
Anti-TNF RII Antibody (5O99) is a Rabbit antibody targeting TNF RII. Anti-TNF RII Antibody (5O99) can be used in FCM,ICC/IF,IHC,IP,WB.
别名Tumor necrosis factor receptor type II, Tumor necrosis factor receptor superfamily member 1B, Tumor necrosis factor receptor 2, p80 TNF-alpha receptor, p75
Ig Type
IgG
克隆号
5O99
反应种属
Human,Mouse,Rat
验证活性
1. Western blot analysis of TNF Receptor II on different cells lysates using anti-TNF Receptor II antibody at 1/500 dilution. Positive control: Line 1: MCF-7, Line 2: Jurkat.
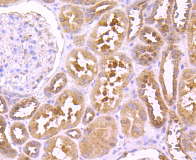
2. Immunohistochemical analysis of paraffin-embedded human kidney tissue using anti-TNF Receptor II antibody. Counter stained with hematoxylin.
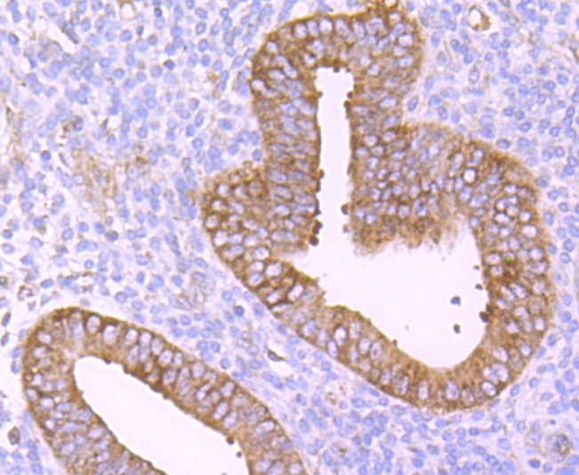
3. Immunohistochemical analysis of paraffin-embedded human uterus tissue using anti-TNF Receptor II antibody. Counter stained with hematoxylin.
4. Immunohistochemical analysis of paraffin-embedded mouse kidney tissue anti-TNF Receptor II antibody. Counter stained with hematoxylin.
5. ICC staining TNF Receptor II in MCF-7 cells (red). The nuclear counter stain is DAPI (blue). Cells were fixed in paraformaldehyde, permeabilised with 0.25% Triton X100/PBS.
6. ICC staining TNF Receptor II in Hela cells (red). The nuclear counter stain is DAPI (blue). Cells were fixed in paraformaldehyde, permeabilised with 0.25% Triton X100/PBS.
7. ICC staining TNF Receptor II in SW480 cells (red). The nuclear counter stain is DAPI (blue). Cells were fixed in paraformaldehyde, permeabilised with 0.25% Triton X100/PBS.
8. Flow cytometric analysis of HL-60 cells with TNF Receptor II antibody at 1/50 dilution (red) compared with an unlabelled control (cells without incubation with primary antibody; black). Alexa Fluor 488-conjugated goat anti rabbit IgG was used as the secondary antibody.
verifiedActivityverifiedActivityverifiedActivityverifiedActivityverifiedActivityverifiedActivityverifiedActivityverifiedActivity
应用FCMICC/IFIHCIPWB
推荐剂量
WB: 1:500-2000; IHC: 1:50-200; ICC/IF: 1:50-200; IP: 1:10-50; FCM: 1:50-100
抗体种类
Monoclonal
宿主来源Rabbit
构建方式Recombinant Antibody
纯化方式ProA affinity purified
性状Liquid
缓冲液1*TBS (pH7.4), 1%BSA, 40%Glycerol. Preservative: 0.05% Sodium Azide.
研究背景Tumor necrosis factor (TNF) is a pleiotropic cytokine whose function is mediated through two distinct cell surface receptors. These receptors, designated TNF-R1 and TNF-R2, are expressed on most cell types. The majority of TNF functions are primarily mediated through TNF-R1, while signaling through TNF-R2 occurs less extensively and is confined to cells of the immune system. Both of these proteins belong to the growing TNF and nerve growth factor (NGF) receptor superfamily, which includes FAS, CD30, CD27 and CD40. The members of this superfamily are type I membrane proteins that share sequence homology confined to the extracellular region. TNF-R1 shares a motif termed the "death domain" with FAS and three structurally unrelated signaling proteins, TRADD, FADD and RIP (1,3-8). This death domain is required for transduction of the apoptotic signal.
偶联与修饰
偶联
Unconjugated
抗原信息
免疫原
Recombinant Protein
Uniprot ID
化学信息
分子量Theoretical: 73 kDa.
储存&溶解度
储存方式Store at -20°C or -80°C for 12 months. Avoid repeated freeze-thaw cycles.
运输方式Shipping with blue ice.

计算器

  • 稀释 计算器
  • 配液 计算器
Related Tags: buy Anti-TNF RII Antibody (5O99) | purchase Anti-TNF RII Antibody (5O99) | Anti-TNF RII Antibody (5O99) cost | order Anti-TNF RII Antibody (5O99) | Anti-TNF RII Antibody (5O99) molecular weight